| Joubert综合征的MRI和CT表现 |
Joubert综合征是一种较罕见的小脑脑干的先天发育畸形,通常被认为是常染色体隐性遗传疾病。目前国内有关报道较少。回顾性分析我院2014年8月至2017年12月收治的4例Joubert综合征MRI、CT表现,并复习文献,以提高对该病的认识。
1 资料与方法 1.1 一般资料4例中,男2例,女2例;年龄3个月~2岁9个月,平均1.3岁。其中发育迟缓4例,肌张力减退4例,共济失调2例,双眼运动异常2例(双眼斜视1例,水平转动1例),双足六趾畸形1例。
1.2 仪器与方法 1.2.1MRI采用奥泰1.5 T AT000001超导型MRI仪,采用梯度回波及FSE序列,行常规轴位、矢状位扫描,轴位T1WI TR/TE 265 ms/5.4 ms,轴位T2WI TR/TE 4 900 ms/95 ms,轴位T2 FLAIR TR/TE 8 000 ms/90 ms,矢状位T1WI TR/TE 261 ms/5.2 ms;采集矩阵T1WI 1 024×1 024,T2WI 256×256,FOV 230 mm×230 mm,层厚5 mm,层距1 mm。
1.2.2CT采用Siemens Somatom Emotion 16 CT机,扫描参数:110 kV,230 mAs,螺距0.55,分别以5 mm及1.5 mm层厚重建。4例扫描前30 min给予10%水合氯醛镇静。
1.3 诊断标准[1]① 小脑蚓部缺如或发育不良;②发育迟缓;③婴儿期肌张力减退;④婴儿期异常呼吸、眼球运动异常。以上至少具备一项。
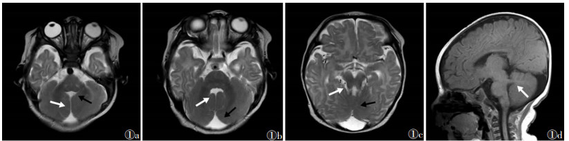
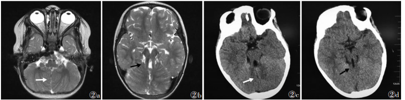
2 结果4例的MRI及CT特征:①小脑半球“中线裂”,小脑蚓部完全或部分缺损致两侧小脑半球紧密靠近而不相连,脑脊液进入其中并与前方第四脑室相连(图 1a,1b,2a),其中2例小脑蚓部完全缺损,2例小脑下蚓部缺损;②“臼齿征”,中脑脚间池凹陷增深,中脑峡部(中脑与桥脑连接部)变细,形成“臼齿”的“牙冠”,小脑上脚增厚、延长,并水平走行(图 1d),与第四脑室顶部形成“臼齿”的“牙根”(图 1c,2b~2d);③“蝙蝠翼状”、“三角形”第四脑室,中脑和桥脑连接部第四脑室呈“蝙蝠翼状”改变(图 1b),第四脑室中部呈“三角形”改变(图 1a)。1例合并枕大池扩大(图 1b)及幕上后纵裂永存镰状窦,1例脑白质髓鞘化发育落后于同龄,1例额颞部蛛网膜下腔增宽。
![]() |
| 图 1 男,90 d,以发育迟缓,四肢肌张力偏低,双眼运动障碍3个月就诊 图 1a 轴位T2WI示两侧小脑半球之间“中线裂”(白箭)、“三角形”第四脑室(黑箭) 图 1b 轴位T2WI示“蝙蝠翼状”第四脑室(白箭),枕大池扩大(黑箭) 图 1c 轴位T2WI示中脑水平“臼齿征”(白箭),小脑上蚓部可见(黑箭) 图 1d 矢状位T1WI示小脑上脚增粗,水平走行(白箭) |
![]() |
| 图 2 女,2岁,发育落后,精神发育迟滞,肌张力偏低 图 2a,2b 轴位T2WI示“中线裂”(白箭)及“臼齿征”(黑箭),小脑蚓部全部缺损 图 2c,2d CT轴位平扫示“中线裂”(白箭)及“臼齿征”(黑箭) |
3 讨论
Joubert综合征是一种较罕见的神经发育障碍疾病,由Joubert等[1]于1969年首次报道5例而得名;1977年Boltshauser等[2]报道3例相似病例,又称Joubert-Boltshauser综合征。Joubert综合征是一种多基因常染色体隐性遗传病(OFD1基因突变导致表现为X连锁隐性遗传方式),男性多见,在欧美国家的发病率约1:10万[3]。随着基因测序技术的发展,目前报道的Joubert综合征的致病基因有28个,另外还有50%左右的Joubert综合征未能明确其致病基因及位点[4]。国内目前仅有CC2D2A、C5orf42、OFD1等少数致病基因的发现报道[5-7]。Joubert综合征是一类典型的纤毛疾病,其致病基因所编码的蛋白质大都分布在纤毛或其基体上,纤毛广泛参与机体的发育和多种细胞功能,其结构和功能异常可导致多器官多系统疾病[8]。
Joubert综合征典型病理改变为小脑蚓部缺如或发育不良而形成异常的“中线裂”,同时可合并齿状核、桥脑基底部及延髓的神经核团发育不良,椎体交叉几乎完全缺如,部分存在小脑上脚交叉及桥脑中央束的缺如。
本病临床表现多样,仅有少数共同的症状,主要包括肌张力降低、共济失调、认知功能障碍、发育迟缓,以及新生儿发作性呼吸过度和(或)呼吸暂停及眼球震颤、斜视等运动障碍;其中肌张力降低、共济失调是Joubert综合征最重要的表现,呼吸运动失调、眼运动异常在新生儿期多见,儿童期主要表现为发育迟缓[9];部分患者伴视网膜缺损或发育不良、多囊肾、先天性肝纤维化、多指(趾)畸形等病变。
MRI是诊断Joubert综合征首选的影像学检查方法。Joubert综合征的MRI、CT特征性表现有“臼齿征”、“中线裂”及“蝙蝠翼状”、“三角形”第四脑室,三者均由于小脑蚓部发育异常所致。本研究4例MRI扫描均有上述3种表现,其中1例通过CT与MRI图像对照,在显示“中线裂”及小脑蚓部缺损程度方面MRI优于CT(图 2),同时MRI能直接从矢状面观察小脑上脚的形态。“中线裂”是由于小脑蚓部完全或部分缺损造成两侧小脑半球靠近而不相连,脑脊液进入其中并与枕大池及第四脑室相连而成的“裂隙状”影,MRI表现为线状长T1长T2信号,CT表现为线状低密度影。小脑蚓部发育异常可导致第四脑室增大,形态异常,上部“蝙蝠翼状”及中部“三角形”改变。
“臼齿征”是Joubert综合征的主要影像学标志。“臼齿征”是由于锥体束及小脑上脚纤维束十字交叉缺失,致中脑结构变形,峡部变细、脚间池增深,小脑上脚增粗和水平走行,轴位观呈“臼齿”,DTI可显示上述改变[10-11]。Maria等[12]认为“臼齿征”是Joubert综合征确诊征象。朱珍等[13]研究显示,并非所有患者均可见以上3个征象,且以上征象并不仅见于Joubert综合征,但未发现显示“臼齿征”而临床不符合Joubert综合征的患儿。Poretti等[14]研究将“臼齿征”小脑上脚增厚的形态分为平行、V字形、A字形、弧形四型,而顾正章等[15]未发现小脑上脚走行的分型与Joubert综合征的临床表现有明确的相关性。杨朝湘等[16]对“臼齿征”进行定量分析,通过测量冠根比、峡池比及第四脑室顶部左右径和前后径比均≤1,协助诊断产前胎儿Joubert综合征及相关疾病。国际上将具有“臼齿征”的疾病统称为Joubert综合征及相关疾病(Joubert syndrome and related disorder,JSRD),根据累及器官不同分为6个亚型[9-17]:①单纯型Joubert综合征;②合并眼缺陷;③合并肾缺陷;④合并眼肾缺陷;⑤合并肝损伤;⑥合并口面指(趾)缺陷。本组1例合并双足六趾畸形,属JSRD Ⅵ型,余3例未发现合并其他脏器异常,属JSRD Ⅰ型。故Joubert综合征的确诊需综合影像表现与临床症状,两者缺一不可。
Joubert综合征需与中后脑发育异常的病变进行鉴别:①Dandy-Walker综合征,常表现为后颅窝池扩大,天幕上抬,小脑蚓部发育不良或不发育,第四脑室扩大,与扩大的后颅窝池相连,小脑上脚和峡部无异常,无“臼齿征”;②菱脑联合畸形,特征表现为小脑蚓部缺如,两侧小脑半球融合,两小脑半球间无“中线裂”;③Down综合征,无“臼齿征”、“中线裂”,根据临床表现及染色体组型可鉴别;④还需与共济失调起病的多系统萎缩-小脑共济失调型、遗传性脊髓小脑共济失调、橄榄-桥脑-小脑萎缩等鉴别,虽然其具有相似的临床表现,但均无“臼齿征”影像学特征。
总之,Joubert综合征具有典型的影像学表现,“臼齿征”、“中线裂”、“蝙蝠翼状”及“三角形”第四脑室能反映小脑蚓部发育不良的病理变化,结合临床表现,不难确诊。
| [1] |
Joubert M, Eisenring JJ, Robb JP, et al. Familial agenesis of the cerebellar vermis:a syndrome of episodic hyperpnea, abnormal eye movements, ataxia, and retardation[J]. J Child Neurol, 1999, 14: 554-564. DOI:10.1177/088307389901400902 |
| [2] |
Boltshauser E, Isler W. Joubert syndrome:episodic hyperpnea abnormal eye movements, retardation and ataxia, associated with dysplasia of the cerebellar vermis[J]. Neuropadiatrie, 1977, 8: 5766. |
| [3] |
Akizu N, Silhavy JL, Rosti RO, et al. Mutations in CSPP1 lead to classical Joubert Syndrome[J]. Am J Hum Genet, 2014, 94: 80-86. DOI:10.1016/j.ajhg.2013.11.015 |
| [4] |
Bachmann-Gagescu R, Phelps IG, Dempsey JC, et al. KIAA0586 is mutated in joubert syndrome[J]. Hum Mutat, 2015, 36: 831-835. DOI:10.1002/humu.2015.36.issue-9 |
| [5] |
苏艳华, 谢建生, 尉姗姗, 等. CC2D2A基因变异所致Joubert综合征一家系的临床及分子遗传学分析[J]. 中华儿科杂志, 2015, 53(6): 431-435. DOI:10.3760/cma.j.issn.0578-1310.2015.06.007 |
| [6] |
罗敏娜, 曹宗富, 陈军, 等. 全外显子组测序发现中国Joubert综合征家系C5orf42基因的新突变[J]. 生殖医学杂志, 2017, 26(5): 464-469. |
| [7] |
孟晨, 张开慧, 马静, 等. OFD1基因突变引起的Joubert综合征10型一例临床和基因分析[J]. 中华儿科杂志, 2017, 55(2): 131-134. DOI:10.3760/cma.j.issn.0578-1310.2017.02.017 |
| [8] |
朱健, 韩莹莹, 徐洪. 纤毛疾病Joubert综合征与神经发育[J]. 中国细胞生物学学报, 2016, 38(11): 1412-1419. DOI:10.11844/cjcb.2016.11.0167 |
| [9] |
Romani M, Micalizzi A, Valente EM. Joubert syndrome:Congenital cerebellar ataxia with the molar tooth[J]. Lancet Neurol, 2013, 12: 894-905. DOI:10.1016/S1474-4422(13)70136-4 |
| [10] |
Poretti A, Boltshauser E, Loenneker T, et al. Diffusion tensor im aging in Joubert syndrome[J]. AJNR Am J Neuroradiol, 2007, 28: 1929-1933. DOI:10.3174/ajnr.A0703 |
| [11] |
李滨, 岳云龙, 金延方, 等. Joubert综合征的MRI及DTI表现-附2例报告并文献复习[J]. 临床放射学杂志, 2012, 31(3): 446-448. |
| [12] |
Maria BL, Quisling RG, Rosainz LC, et al. Molar tooth sign in Joubert syndrome:Clinical radiologic, and pathologic significan ce[J]. J Child Neurol, 1999, 14: 368-376. DOI:10.1177/088307389901400605 |
| [13] |
朱珍, 帕迷尔, 朱杰明, 等. Joubert综合征的CT和MRI诊断[J]. 中华放射学杂志, 2005, 39(12): 1256-1259. DOI:10.3760/j.issn:1005-1201.2005.12.005 |
| [14] |
Poretti A, Huisman TA, Scheer I, et al. Joubert Syndrome and Related Disorders:Spectrum of Neuroimaging Finding in 75 Pa tients[J]. Am J Neuroradiol, 2011, 32: 1459-1463. DOI:10.3174/ajnr.A2517 |
| [15] |
顾正章, 邢伟, 金贞, 等. Joubert综合征的影像与临床相关性分析[J]. 中国医学计算机成像杂志, 2014, 20(2): 126-129. |
| [16] |
杨朝湘, 刘倩, 冯长征, 等. 胎儿Joubert综合征及相关疾病MRI表现[J]. 中国医学影像技术, 2018, 34(2): 275-278. |
| [17] |
Brancati F, Dallapiccola B, Valente EM. Joubert syndrome and related disorders[J]. Orphanet J Rare Diseases, 2010, 5: 20. DOI:10.1186/1750-1172-5-20 |
2019, Vol. 17




