| 剪切波弹性成像对甲状腺良恶性结节的诊断价值 |
2. 江苏省口腔医院第四门诊部, 江苏 南京 210000
甲状腺结节是一种常见的内分泌失调疾病,在缺碘人群中更常见[1-2]。使用超声检查甲状腺时,35%~50%可检出甲状腺结节,其中恶性甲状腺结节仅占4%~6%[3]。超声可评估甲状腺结节大小、组成、钙化程度、边缘、形状和内部血管情况,但常规超声在区分甲状腺结节良恶性方面准确性欠佳[4]。超声弹性成像可提高甲状腺癌检测的敏感度,其原理是硬性组织的可压缩性低于柔软组织[5],与正常组织相比,恶性病变组织通常韧性更低。近年来,实时应变弹性成像已成为一种新型超声方法,可客观地确定组织的硬度,要求操作者用探头进行外部触诊并进行压迫,探测压力下的组织变形情况,但其可重复性差,对操作者的依赖度高[6],临床应用受到一定限制。与实时应变弹性成像相比,剪切波弹性成像(shear wave elastography,SWE)更加客观,且具有良好的可靠性和可重复性[7]。在操作中,ROI的弹性以kPa表示,速度以m/s表示。剪切波在生物组织中的传播速度为1~10 m/s[8],组织硬度增加导致组织的弹性降低,从而产生更大的剪切波速度(shear wave velocity,SWV)。SWE在鉴别乳腺良恶性结节方面具有很好的诊断价值[9-10],但尚未见文献报道SWE用于鉴别甲状腺良恶性结节的潜在价值。
1 资料与方法 1.1 一般资料选择2017年6月至2019年6月上海市第一人民医院收治的104例甲状腺结节患者,其中男68例,女36例;年龄19~67岁,平均(52.98±9.19)岁;共检出126个结节,直径1.10~3.41 cm,平均(1.94±0.28)cm。104例均行常规超声、CDFI、SWE和针吸穿刺细胞学(fine needle aspiration cytology,FNAC)病理检查。患者均已签署书面知情同意书,且本研究经上海市第一人民医院伦理委员会批准。
纳入标准:①甲状腺至少有1个实体病变;②年龄≥18岁。排除标准:①年龄<18岁;②颈部行外科手术或放疗;③甲状腺结节最大径<5 mm;④接受本研究前已行FNAC等侵入性手术(可能引起超声和多普勒弹性改变);⑤主要为囊性病变(囊性成分 > 75%);⑥未签署书面知情同意书;⑦合并恶性肿瘤;⑧失访患者。
超声检查结束后由同一位超声科医师行FNAC检查,诊断结果按照Bethesda级别分类,同时手术切取病灶组织实施病理学检查,FNAC与病理学检查结果作为诊断参考标准。
在至少6个月的时间里,对照超声检查情况观察具有良性FNAC结果的患者,以确认结节的良恶性。使用结构化问卷收集信息,包括人口统计数据、既往放射线或手术史、结节的灰度特征和弹性描记图结果及病理结果。
1.2 仪器与方法采用Siemens Acuson X300超声诊断仪,频率7~9 MHz。患者取仰卧位,颈部略微伸出,涂上凝胶,轻压探头,行实时SWE和常规超声检查,检查均由同一位经验丰富的超声科医师操作。评价结节的大小、位置、回声、边缘、钙化程度(微钙化或高度钙化)、成分、形状和CDFI图像。其中微钙化定义为甲状腺结节内部存在微小(<2 mm)的回声焦点无阴影。通过2次截面扫描(横断面和矢状)测量结节的3个维度(深度、宽度和长度)。CDFI评估甲状腺血流模式等级:Ⅰ级,无可检测的血流;Ⅱ级,可见外周血流;Ⅲ级,可见稀有血流;Ⅳ级,可见明显血流;Ⅴ级,可见丰富血流。
常规超声检查后行SWE,在轻压下行弹性成像,探头保持静止5 s。红色为硬组织成分,蓝色为软组织成分,基于颜色类型对结节进行弹性评分[11]:Ⅰ级病变,具有与正常甲状腺组织相似的弹性(均匀蓝色);Ⅱ级病变,主要为柔软组织,包含少部分硬度增加的区域(主要为蓝色,结节边缘存在一些红色区域);Ⅲ级病变,结节边缘和结节中心硬度增加(主要为蓝色,结节中心存在部分红色区域);Ⅳ级病变,整个结节硬度明显增加(主要为不均匀的红色,存在部分蓝色区域);Ⅴ级病变,组织完全硬化(均匀红色)。Ⅳ级和Ⅴ级病变为恶性结节。
根据给定的颜色图,在结节内设置ROI,尽量避免钙化,通过内置软件实时计算出最硬的部分。每个病变至少评估3次,平均值记录为平均SWV(SWVmean),将“X.XX m/s”的测量结果替换为0或9 m/s,其中0 m/s对应囊性组织,9 m/s对应实性组织。
1.3 统计学分析采用SPSS 25.0统计软件进行数据分析,定量资料以x±s表示,定性资料以频率(%)表示,行非参数t检验(Mann-Whitney U检验)。采用Fisher精确检验或χ2检验,比较良性和恶性结节间超声特征的分布,以P<0.05为差异有统计学意义。通过ROC曲线计算SWV的诊断敏感度、特异度、阳性预测值和阴性预测值的最佳临界值。使用Mann-Whitney U检验比较具有微钙化的恶性结节和无钙化的恶性结节的SWVmean特征。采用单变量Logistic回归分析,以最大SWV(SWVmax)、SWVmean为离散变量,并将结果与回声、钙化、边缘、形状、成分、血流模式等级、弹性评分等级等超声特征的关键变量进行比较。
2 结果 2.1 FNAC检测结果126个结节中,102个为良性(81.0%);24个为恶性或可疑恶性(19.0%),其中,5个滤泡性甲状腺癌,7个甲状腺髓样癌和12个甲状腺乳头状癌(图 1~3)。
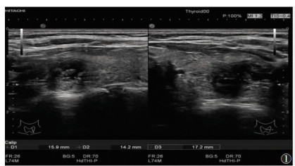
![]() |
| 图 1 女,38岁,传统超声图像可见甲状腺体积增大,左叶可见多发性结节,形态不规则,长径约15.9 mm,峡部可见一结节,形态不规则,边缘不清晰,大小14.2 mm×17.2 mm |
![]() |
| 图 2 男,42岁,CDFI示右侧甲状腺肿大,形态不规则,边缘不清晰,周围可见点状血液信号 |
![]() |
| 图 3 男,47岁,剪切波弹性成像显示硬度,绿色、蓝色参半,少量红色区域;表明为恶性,组织病理学证实为恶性结节 |
2.2 常规超声、CDFI、SWE结果比较(表 1)
| 表 1 常规超声、CDFI和SWE检测结果 |
![]() |
在常规超声、CDFI和SWE特征中,不规则边缘(P=0.001)、低回声(P<0.001)、微钙化(P<0.001)、血流模式Ⅲ级(P=0.019)和Ⅳ级(P=0.001)、弹性评分Ⅳ级(P<0.001)和Ⅴ级(P<0.001),以及SWVmax≥3.59 m/s(P<0.001)和SWVmean(P=0.001)与恶性肿瘤具有显著相关性。恶性结节SWVmax为(4.48±0.69)m/s,SWVmean为(4.33±0.66)m/s,显著高于良性结节的SWVmax[(3.02±0.75)m/s]和SWVmean[(2.87±0.75)m/s](均P<0.001),具有微钙化恶性结节的SWVmean明显大于无钙化恶性结节(4.86 m/s vs. 3.97 m/s,P<0.001)。
2.3 ROC曲线分析SWVmax和SWVmean的AUC分别为0.912[95%置信区间(0.839,0.972),P<0.001]和0.910[95%置信区间(0.861,0.968),P<0.001]。区分良性与恶性结节的最佳临界值SWVmax为3.59 m/s(敏感度91.7%、特异度79.4%),SWVmean为3.45 m/s(敏感度87.5%、特异度77.5%)(表 2,图 4)。
| 表 2 SWV的临界值和组织学分析 |
![]() |
![]() |
| 图 4 最大和平均剪切波速度(SWVmax、SWVmean)的ROC曲线分析 |
2.4 Logistic回归分析
Logistic回归分析显示,以FNAC和病理结果为标准,SWVmax≥3.59 m/s和SWVmean≥3.45 m/s时Nagelkerke R2明显高于常规超声及CDFI任何单个特征的Nagelkerke R2值;SWVmax是恶性结节的最佳预测参数。
3 讨论甲状腺结节的普遍存在使良性和恶性病变之间的鉴别成为临床诊断面临的重要问题。FNAC是目前鉴别恶性和良性甲状腺结节的标准方法,其敏感度和特异度分别为60%~98%和54%~90%[12]。但15%~30%的FNAC样本无法准确归为良性或恶性,此外,FNAC活检组织无法将良性滤泡性肿瘤与恶性滤泡性肿瘤准确区分,且FNAC存在采样误差、对专业知识要求较高[13]。
超声检查是非侵入性的,可揭示许多与结节病理相关的特征[14]。如恶性肿瘤的风险增加与微钙化、边缘不规则或呈球形、显著低回声、组织固化及纵横比 > 1有关;此外,结节内血管本身虽然对鉴别良性结节的恶性无价值,但中央血管紊乱却可明确反映恶性肿瘤特征,而结节周围血管呈圆形、等弹性、海绵状外观、边缘光滑和囊性成分可较好地预测良性结节。本研究显示,使用超声进行诊断时,不规则边缘、低回声、微钙化与恶性结节关系密切。
CDFI可用于评估甲状腺结节血管,并将具有中心结节内血管的结节视为可疑结节,以往研究[15]根据结节附近或结节内血管密度将CDFI血流模式分为5级,本研究显示,Ⅲ和Ⅳ级与结节恶性程度高度相关,其敏感度分别为29.2%、54.2%,特异度分别为79.4%、92.1%。SWE是一种新型技术,它提供的定量功能弹性可用于区分不同类型的组织[16-18]。SWE已被广泛用于乳腺良恶性肿块的鉴别,以及肝纤维化分期的研究[19-21],然而,很少有SWE鉴别甲状腺良恶性结节准确性的报道。本研究应用SWE对104例126个甲状腺结节进行分析,结果发现弹性评分Ⅳ、Ⅴ级与结节恶性程度显著相关,恶性结节的SWVmean和SWVmax显著高于良性结节;SWVmean鉴别良恶性结节临界值的敏感度、特异度、阳性预测值和阴性预测值分别为87.5%、77.5%、47.7%和97.8%;SWVmax临界值为3.59 m/s,敏感度、特异度、阳性预测值和阴性预测值分别为91.7%、79.4%、51.2%和99.2%。进一步的Logistic回归分析显示,当SWVmax≥3.59 m/s时,其Nagelkerke R2为43.6%,而SWVmean≥3.45 m/s时,Nagelkerke R2为38.5%,明显高于常规超声与CDFI任何单个特征的Nagelkerke R2值;SWVmax被认为是恶性结节的最佳预测参数。
本研究表明,常规超声诊断中恶性肿瘤指征与结节恶性程度存在一定相关性,但无法确保高的敏感度和特异度。SWE可有效区分良性和恶性甲状腺结节,其中SWVmax对于甲状腺良恶性结节具有最优的预测价值。本研究也存在一定的局限性,如样本量较小,无法进行多变量分析,并评估可能的混杂因素,包括钙化、肿瘤深度、周围组织的弹性等。
| [1] |
郝娜. 甲状腺癌的超声诊断及价值评价[J]. 中国医药指南, 2020, 18(22): 124-125. |
| [2] |
RAIMUNDO H C, FERNADO L I, WANGNER I D, et al. Diagnostic accuracy evaluation of two-dimensional shear wave elastography in the differentiation between benign and malignant thyroid nodules[J]. J Ultrasound Med, 2020, 39(9): 178-186. |
| [3] |
冯俊荣, 梁子建. 甲状腺超声和甲状腺功能对老年人甲状腺结节的诊断价值[J]. 影像研究与医学应用, 2020, 4(17): 195-196. |
| [4] |
YE H, HUANG J, CHEN X, et al. An intelligent platform for ultrasound diagnosis of thyroid nodules[J]. Scientific Reports, 2020, 10(1): 213-218. DOI:10.1038/s41598-019-57353-3 |
| [5] |
刘立梅, 杨胜波. 实时超声弹性成像技术结合血清促甲状腺激素在甲状腺微小乳头状癌诊断中的价值[J]. 解剖学杂志, 2020, 43(2): 130-134. DOI:10.3969/j.issn.1001-1633.2020.02.010 |
| [6] |
郭凤玲. 实时超声弹性成像对良恶性甲状腺结节的鉴别[J]. 中国中西医结合影像学杂志, 2015, 13(3): 285-286. DOI:10.3969/j.issn.1672-0512.2015.03.017 |
| [7] |
ANIL C, SARAPO P S, KRISTOFFEL R D, et al. Reliability of acoustic radiation force impulse shear wave elastography in the evaluation of liver stiffness in morbidly obese patients[J]. J Clin Ultrasound, 2020, 48(7): 78-86. |
| [8] |
李忠举, 张植兰, 辛敏慧, 等. 实时剪切波弹性成像对甲状腺结节超声诊断的价值研究[J]. 中国实验诊断学, 2020, 24(8): 1275-1277. DOI:10.3969/j.issn.1007-4287.2020.08.014 |
| [9] |
李程, 梁键锋, 曾福强, 等. 剪切波弹性成像对乳腺导管内乳头状肿瘤的鉴别诊断价值[J]. 中国中西医结合影像学杂志, 2020, 18(2): 157-159, 171. DOI:10.3969/j.issn.1672-0512.2020.02.015 |
| [10] |
林武辉, 何立红, 黎见, 等. 实时剪切波弹性成像鉴别乳腺肿瘤良恶性的初步探讨[J]. 中国中西医结合影像学杂志, 2016, 14(3): 263-265. DOI:10.3969/j.issn.1672-0512.2016.03.009 |
| [11] |
唐丽娜, 刘娜香, 陈琬萍, 等. TI-RADS联合剪切波弹性成像对甲状腺结节良恶性的鉴别诊断价值[J]. 肿瘤, 2020, 40(8): 557-563. DOI:10.3760/cma.j.cn115355-20191203-00545 |
| [12] |
劳艳明, 马洪, 张广俊, 等. 超声引导下细针穿刺细胞学检查鉴别甲状腺结节良恶性的临床价值[J]. 中国中西医结合影像学杂志, 2019, 17(1): 59-61. |
| [13] |
ALELE D, DAHN B, CAMANOR S, et al. Novel use of fine needle aspiration (FNAC) biopsy to diagnose cervical cancer in a low-resource setting: a case series Morovia, Liberia[J]. Clinical Case Reports, 2020, 8(8): 337-342. |
| [14] |
董振宇, 刘镭, 刘力, 等. 超声图像偏倚式干涉技术的建立及其对甲状腺占位性病变的鉴别诊断价值[J]. 中国中西医结合影像学杂志, 2020, 18(3): 309-312. |
| [15] |
刘锐洪, 何瑞琦, 陈英银, 等. ACR TI-RADS与ATA指南分级评估甲状腺结节的对比研究[J]. 中国中西医结合影像学杂志, 2019, 17(4): 380-383. |
| [16] |
SHADI O, DANIELE F, DUNANE E W, et al. Evaluating the preconditions of two remote sensing SWE retrieval algorithms over the US[J]. Remote Sensing, 2020, 12(16): 231-239. |
| [17] |
ZHANG W B, LI J J, CHEN X Y, et al. SWE combined with ACR TI-RADS categories for malignancy risk stratification of thyroid nodules with indeterminate FNAC cytology[J]. Clin Hemorheol Microcirc, 2020, 76(3): 381-390. |
| [18] |
陈正雷, 梁长华, 张煜华. 超声剪切波弹性成像对甲状腺TI-RADS 4类结节良恶性的鉴别诊断价值[J]. 中国中西医结合影像学杂志, 2019, 17(5): 500-502. |
| [19] |
邬亮, 姚树新, 何东方. 超声弹性成像、萤火虫成像及CDFI在乳腺癌诊断中的应用[J]. 中国中西医结合影像学杂志, 2017, 15(4): 483-485. |
| [20] |
薛姗姗, 赵巧玲, 阮骊韬, 等. 实时剪切波弹性成像技术在乳腺肿块诊断中的临床应用价值[J]. 中国临床医学影像杂志, 2019, 30(11): 778-782. |
| [21] |
金军, 汤小俐, 香辉, 等. DWI和超声瞬时弹性成像在肝纤维化诊断中的价值[J]. 中国中西医结合影像学杂志, 2016, 14(5): 517-519. |
2021, Vol. 19








