| 复杂性肛瘘的中医证型与临床资料及MRI特征的相关性研究 |
复杂性肛瘘作为肛瘘的少见病种,治疗难度较大,一直是国内外肛肠研究领域的热点及难点。手术是复杂性肛瘘的主要治疗方法,其中,中医肛肠外科利用中西医结合手术治疗该病有独特优势,能够有效降低术后肛门失禁及复发。目前,关于复杂性肛瘘中医证型与MRI特征之间的临床相关性研究未见报道。本研究收集复杂性肛瘘中湿热下注证和正虚邪恋证的临床及MRI资料,分析这2个证型在性别、年龄、病程、体质量指数(body mass index,BMI)、脓肿史、T2WI瘘管信号强度等方面差异是否有统计学意义,以期发现复杂性肛瘘中医证型与MRI征象的相关性,为该病中医证型的客观化研究和辨证施治提供依据。
1 资料与方法 1.1 一般资料收集2017—2019年我院收治的复杂性肛瘘58例,其中男47例,女11例;年龄15~70岁,平均40.12(32,46)岁;病程7个月至10年。
纳入标准:①符合《肛瘘临床诊治指南》[1]中的肛瘘诊断标准;②符合《中医临床诊疗指南释义·肛肠疾病分册》[2]中复杂性肛瘘及高位复杂性肛瘘的诊断标准,即有2个及以上内口或外口,有2条以上瘘管或支管、盲管的肛瘘,复杂性肛瘘中主管通过肛门外括约肌深部以上。排除标准:①骨盆或直肠肛周手术史;②肠道结核及炎症性肠病;③伴直肠疾病引起的肛瘘;④伴心血管疾病、神经性或精神类疾病、慢性腹泻等,处于怀孕及哺乳期;⑤无法配合检查;⑥未经手术治疗及失访患者。
1.2 仪器与方法采用Philips Achieva 3.0 T超导MRI扫描仪与多通道腹部相控阵表面线圈。患者取仰卧位,头先进,耻骨联合上缘位于表面线圈及扫描的中心位点。扫描范围从髂前上棘至股骨近端。在定位像基础上先通过躯体正中线行T2WI矢状位高分辨力扫描,以判断肛管结构的位置,后对肛管行斜轴位SE T1WI、TSE T2WI及PDWI,最后行斜冠状位PDWI。扫描参数:TSE T2WI TR/TE 3 500 ms/60 ms,翻转角90°,回波链长度8,采集次数3;SE T1WI TR/TE 500 ms/18 ms,翻转角110°,回波链长度98,采集次数4;PDWI TR/TE 3 500 ms/50 ms,翻转角100°,回波链长度7,采集次数3;层厚3 mm,无间隔,矩阵256×256,视野250 mm×250 mm。为得到统一标准的肛管解剖结构及相关结构位置关系,行斜轴位和斜冠状位扫描时,扫描方位应垂直及平行于肛管的长轴,故与标准解剖轴位及冠状位有所区别,整体扫描时间约25 min。
扫描前无需肠道准备,图像传入PACS,测量主管盲端至开口的上下长度及主管深度,并记录内口位置,PDWI横轴位测量主管长度及深度,内口位置以截石位3点至9点连线区分前后。于T2WI轴位选取主瘘管区及支管区中的ROI(约3 mm2)测量信号强度。
1.3 中医辨证诊断及分型标准对患者行中医“望、闻、问、切”四诊查体,并通过问卷了解其年龄、性别、身高、体质量、既往史(包括有无吸烟史、脓肿史、手术史、糖尿病史)等一般资料,计算BMI,BMI=体质量(kg)/身高(m2)。中医诊断标准参见《中医病症诊断疗效标准》[3],中医证型分型标准参照《中医临床诊疗指南释义·肛肠疾病分册》[2]:①湿热下注证,肛周有溃口,流脓,脓质稠厚,肛门局部红肿热痛,按之可感索状物通向肛内。舌色红,苔黄腻,脉滑。大便不爽,小便短赤。②正虚邪恋证,肛周稀薄脓水,肛门隐痛,肛周溃口时愈时溃,周围皮肤色泽暗淡,舌色淡,苔黄薄,脉濡。
1.4 统计学分析采用SPSS 21.0软件进行数据分析,数据管理采用Office Excel软件。计量资料统计描述服从正态分布、近似正态分布的数据,采用x±s表示,不符合正态分布的用M(P25,P75)表示。符合正态分布、方差齐的2组间数据比较使用独立样本t检验,不符合正态分布、方差不齐的2组数据比较使用独立样本的非参数检验(Mann-Whitney U)。数据中“构成比”或“率”的比较行χ2检验。以P<0.05为差异有统计学意义。
2 结果 2.1 证型分布58例中,湿热下注证47例(81.0%),正虚邪恋证11例(19.0%)。
2.2 高、低位复杂性肛瘘的中医证型比较(表 1)| 表 1 高、低位复杂性肛瘘的中医证型比较 |
![]() |
高位复杂性肛瘘共32例,低位复杂性肛瘘共26例,经χ2检验,2组中医证型差异无统计学意义(χ2=4.270,P > 0.05),但高位复杂性肛瘘中湿热下注证比例(90.6%)仍高于低位组(69.2%)。
2.3 复杂性肛瘘2种中医证型的一般资料比较(表 2)| 表 2 复杂性肛瘘2种中医证型的一般资料比较 |
![]() |
2组年龄、手术史、吸烟史比较,差异均无统计学意义(均P > 0.05)。2组男性占比、病程、肛周脓肿史、BMI比较,差异均有统计学意义(均P<0.05),湿热下注证中男性占比高、BMI更大、病程更短、有肛周脓肿史者更多。
2.4 复杂性肛瘘2种中医证型的MRI征象比较(表 3)| 表 3 复杂性肛瘘2种中医证型的MRI征象比较 |
![]() |
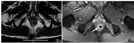
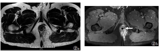
湿热下注证的主瘘管T2WI信号强度明显高于正虚邪恋证(P<0.01,图 1,2)。2组主管的内口位置、深度、长径及支管T2WI信号强度比较,差异均无统计学意义(均P > 0.05)。
![]() |
| 图 1 男,26岁,复杂性肛瘘,湿热下注证 图1a T2WI上肛瘘位置测量信号强度为89.4 图1b 箭头为PDWI上瘘管位置 |
![]() |
| 图 2 男,34岁,复杂性肛瘘。正虚邪恋证 图2a T2WI上肛瘘位置测量信号强度为21.4 图2b 箭头为PDWI上瘘管位置 |
3 讨论
复杂性肛瘘的治疗以手术为主,中医药治疗在术前准备、术后临床护理中均起到重要作用,因此该病的中医辨证分型及辨证治疗均有重要的临床意义。MRI作为复杂性肛瘘的常规检查方法,对于术前明确诊断、手术方案制订及术后随访均有重要作用。利用MRI对中医证型进行相关性研究,可为中医辨证分型提供客观依据。
3.1 中医学对肛管直肠瘘的认识 3.1.1 肛管直肠瘘的中医溯源中医较早认识肛瘘疾病,《山海经》最早提出“瘘”的说法,“食之不痈,可以为瘘”,包括了所有产生瘘管的疾病,不局限于肛瘘。
3.1.2 古代中医诊断肛瘘的方法古代医家受条件所限,将自然中的物品简单加工,形成局部探查工具,药线、猪鬃及三丫草等为早期的探查工具,明、清时期肛瘘的中医手术治疗技术发展迅速,不少医家使用专门工具,如治管银针及过肛针等工具探查病情。
3.2 不同中医证型肛瘘的治疗方法 3.2.1 中医内治法内治法主要为口服中药方剂,用于复杂性肛瘘术后、病情较重或患者身体条件不适合手术者,可减轻患者全身或局部炎症,提高机体抵抗能力。湿热下注证治疗原则是清热利湿,推荐方剂为萆薢渗湿汤,萆薢为主药,其味苦,性平,利水,分清化浊[4],《本草纲目》曰:“治白浊,茎中痛,痔瘘坏疮”。正虚邪恋证治疗原则是扶正祛邪,推荐方剂为托里消毒饮[5],君药黄芪,性甘,味微温,可脱疮生肌,主治气血不足、疮毒内陷、脓成不溃或久溃不敛,尤其难溃难腐者,可用之补气生血,脱脓毒外出。
3.2.2 中医外治法中药熏(洗)法和中药外敷法现已常用于肛肠外科术后的临床护理和康复治疗中,对于减少并发症及促进恢复有显著疗效。其主要机制为消肿止痛、止血生肌。熏(洗)法分烟熏法和汤药坐浴熏洗2种,主要用于术前、术后缓解症状,促进术后恢复,减轻患者痛苦,缩短伤口愈合时间等,其消肿止痛及清热解毒的效果对于患处下坠、湿痒、红肿疼痛的肛瘘患者尤其适用。常用的方剂有硝矾洗剂、苦参汤、五倍子汤等。外敷法,疗效同熏(洗)法,因敷于患处,作用时间较持久。
3.3 复杂性肛瘘2种中医证型的特征及MRI征象比较复杂性肛瘘相对少见,由于我院中西医结合治疗复杂性肛瘘优势明显,故能收集有效统计所需例数。
本研究收集的复杂性肛瘘患者中湿热下注证占81.0%(47/58),正虚邪恋证相比湿热下注证少,占19.0%(11/58),与国内既往的中医流行病学调查[6]的结论相近;男性在复杂性肛瘘患者中占比较高,尤其在湿热下注患者中。在患者基线调查中可发现,男性患者中体高者居多,这可能与西医病因中的性激素水平高有关。因肛瘘的临床发病主要是青壮年男性,研究者据此调查发现性激素的影响是肛屡发生的原因之一,研究[7]认为肛腺是性激素的靶器官之一,性激素影响其发育和内分泌功能,其水平的升高,可导致肛腺急剧增大、扩张,常导致肛腺内容液排泄不畅、淤积,肛周病菌感染,后引起肛瘘。中医相应解释为“肥甘厚味,足生大疗”,《黄帝内经》中描述“膏者,多气而皮纵缓,故能纵腹垂腴。脂者,其身收小”;古代医家认为“湿热”是肛瘘的最主要病机,中西医解释肛瘘的病机殊途同归。本研究高位复杂性肛瘘中湿热下注证占比更高,为90.6%(29/32),说明湿热下注证肛瘘累及范围更广、部位更高。
T2WI信号强度反映组织中水成分的含量,包括自由水及结合水[8],反映到组织中即为炎性肉芽肿中的水分,肉芽肿中新鲜者血管成分较多,水分含量高,而瘢痕及陈旧肉芽组织中血管减少,信号强度降低,瘘管壁周围炎性组织的成分决定T2WI信号的高低,同时一定程度反映血管含量[9-10]。本研究中复杂性肛瘘中湿热下注证的主瘘管T2WI信号强度明显高于正虚邪恋证。湿热下注证患者的瘘管较高信号强度表明瘘管血流较丰富,反映瘘管较新鲜或为活动性瘘管,正虚邪恋患者瘘管瘢痕成分较多,瘘管病程时间较长,瘘管组织中血管成分较少。支瘘管的T2WI信号强度2种中医证型间差异无统计学意义,考虑原因为支管较细,测量时受周围软组织信号强度的影响较大,同时支管的形成与吸收较主瘘管变化快。
本研究通过复杂性肛瘘的中医证型与患者临床资料及MRI征象的分析,发现湿热下注证中男性、体型肥胖、病程短、有肛周脓肿史者占比较正虚邪恋证高,且湿热下注证T2WI瘘管信号强度较高,表明其瘘管较新鲜。正虚邪恋证中女性患者相对较多,且病程反复时间较长,日渐消瘦者更多,瘘管主要为陈旧瘢痕性瘘管,T2WI瘘管信号较低。
综上所述,复杂性肛瘘患者的中医证型与临床资料及MRI特征有一定相关性。MRI检查在复杂性肛瘘术前评估及术后疗效评价方面都有较高价值,能够为中医辨证分型提供依据。
| [1] |
宋顺心. 美国结直肠外科医师学会肛周脓肿、肛瘘和直肠阴道瘘临床诊治指南[J]. 中华胃肠外科杂志, 2017, 20(12): 1437-1439. DOI:10.3760/cma.j.issn.1671-0274.2017.12.027 |
| [2] |
田振国. 中医临床诊疗指南释义·肛肠疾病分册[M]. 北京: 中国中医药出版社, 2015: 1994.
|
| [3] |
国家中医药管理局. 中医病证诊断疗效标准[M]. 南京: 南京大学出版社, 2019: 55.
|
| [4] |
高秉钧. 疡科心得集(中医临床必读丛书)[M]. 北京: 人民卫生出版社, 2007: 154.
|
| [5] |
陈自明. 《校注妇人良方》注释[M]. 南昌: 江西人民出版社, 1983: 56.
|
| [6] |
刘昭业. 肛瘘病人的流行病学特征分析[D]. 广州: 广州中医药大学, 2011: 563.
|
| [7] |
杨玉刚. 性激素与常见肛肠疾病发病相关因素分析[C]//田振国, 韩宝. 2012医学前沿——中华中医药学会肛肠分会第十四次全国肛肠学术交流大会论文精选. 北京: 中国古籍出版社, 2012: 3.
|
| [8] |
冷晓明, 盖荣荣, 姜胜襻, 等. 3.0 T磁共振LAVA-FLEX动态增强扫描序列对肛瘘诊断价值的研究[J]. 中国CT和MRI杂志, 2015, 13(6): 80-83. |
| [9] |
CASSIDY M R, LEFKOWITZ R A, LONG N, et al. Association of MRI T2 signal intensity with desmoid tumor progression during active observation: retrospective cohort study[J]. Ann Surg, 2020, 271(4): 748-755. DOI:10.1097/SLA.0000000000003073 |
| [10] |
张文龙, 王嵩, 姚晔, 等. MRI在复杂性肛瘘治疗中的应用分析[J]. 中国中西医结合影像学杂志, 2018, 16(5): 39-41. |
2021, Vol. 19







