中国中西医结合影像学杂志   2019, Vol. 17 Issue (5): 477-479
0
3.0 T MRI 3D-SPACE序列对膝关节半月板损伤的诊断价值[PDF全文]
凌岳 , 叶小玲 , 阮兵 , 邓新源 , 罗志程 , 梁菊香 , 沈城威
广东省高州市人民医院核磁共振科,广东 高州 525200
摘要目的: 探讨3.0 T MRI三维快速自旋回波序列(3D-SPACE)对膝关节半月板损伤的诊断价值。方法: 收集经关节镜确诊的膝关节半月板损伤60例为研究对象,均行3.0 T MRI 3D-SPACE序列与2D-SPACE序列扫描。对2种检查方法诊断半月板损伤准确率及半月板和各种组织的对比噪声比进行比较。结果: 3D-SPACE序列图像半月板与韧带的对比噪声比明显高于2D-SPACE序列(P < 0.05)。3D-SPACE序列诊断半月板斜行撕裂的准确率明显高于2D-SPACE序列(P < 0.05)。结论: 3.0 T MRI3D-SPACE序列应用于膝关节半月板损伤的诊断中可有效提高半月板损伤的诊断准确性,具有一定的临床诊断价值。
关键词膝关节    半月板, 胫骨    磁共振成像    
Diagnostic value of 3.0 T MRI 3D-SPACE sequence on knee joint meniscus injury
Ling Yue , Ye Xiaoling , Ruan Bing , Deng Xinyuan , Luo Zhicheng , Liang Juxiang , Shen Chengwei
Department of MRI, People's Hospital of Gaozhou, Gaozhou, 525200, China
Abstract: Objective: To investigate the value of 3.0 T MRI three-dimensional fast spin echo (3D-SPACE) sequence in the diagnosis of knee joint meniscus injury. Methods: A total of 60 patients with knee meniscus injury were admitted and underwent 3.0 T MRI 3D-SPACE sequence and 3.0 T MRI 2D-SPACE sequence scan. Measurement and analysis of the accuracy of the diagnosis of meniscus injury and the noise ratio of meniscus and various tissues in the two scan methods were recorded. Results: The noise ratio of the meniscus to the ligament obtained of 3D-SPACE sequence was significantly higher than that of 2D-SPACE sequence (P < 0.05). The accuracy of 3D-SPACE sequence in the diagnosis of meniscus oblique tear was significantly higher than that of the 2D-SPACE sequence (P < 0.05). Conclusion: The 3.0 T MRI 3D-SPACE sequence can effectively improve the diagnostic accuracy of meniscus injury in the diagnosis of knee meniscus injury, and has certain clinical diagnostic value.
Key words: Knee joint    Menisci, tibial    Magnetic resonance imaging    

膝关节是人体最重要的承重关节之一,易发生各种急性或慢性损伤,其中半月板损伤最常见,严重影响患者的行动能力及生活质量[1],早期诊断、治疗有利于关节功能的恢复。近年来,MRI因具有较高的软组织分辨力与空间分辨力,被广泛应用于膝关节损伤的诊断中,特别适用于部分特殊类型的半月板损伤[2]。研究[3]显示,质子密度成像对半月板信号变化具有较高的敏感性,能充分显示半月板损伤退变和囊肿。然而,既往临床上所采用的二维快速自旋回波序列(2D-SPACE)存在一定的局限性[4]:①层厚较厚,易导致部分容积效应;②3个平面分别成像时间较长;③非各向同性。而三维快速自旋回波序列(3D-SPACE)可有效减少容积效应,提高SNR,且相对扫描时间较短、分辨力较高,对膝关节半月板诊断有较高临床意义,解决了临床较棘手的斜行撕裂损伤的诊断问题,而相关报道国内外少见。鉴于此,本文通过分析3.0 T MRI 3D-SPACE序列对膝关节半月板损伤的诊断价值,旨在为膝关节半月板损伤提供有效的诊断方式,从而为临床治疗方案的制订提供指导,现报道如下。

1 资料与方法 1.1 一般资料

选取2016年4月至2018年4月我院收治的膝关节半月板损伤60例为研究对象。纳入标准[5]:①经关节镜确诊为膝关节半月板损伤;②入院前未接受任何相关治疗;③既往无膝关节手术史;④临床病历资料完整。排除标准:①未同时行3.0 T MRI 3D-SPACE序列与2D-SPACE序列检查者;②合并精神系统疾病或交流沟通障碍者;③伴肝、肾等脏器功能严重障碍者;④伴感染、血液系统疾病或恶性肿瘤疾病者;⑤依从性较差者;⑥中途退出研究者。60例中,男38例,女22例;年龄19~65岁,平均(38.52±10.42)岁;半月板损伤类型:斜行撕裂21例,水平撕裂10例,纵行撕裂9例,复合撕裂18例,放射状撕裂2例。患者均签署检查知情同意书。本研究已经我院伦理委员会批准。

1.2 仪器与方法

采用GE 3.0 T超导MRI成像仪,膝关节专用线圈;患者取仰卧位,自然伸直膝盖。扫描序列与参数:3D-SPACE序列,TR/TE 1 300.0 ms/38.0 ms,层厚0.6 mm,无间隔,体素0.6 mm×0.6 mm×0.6 mm,FOV 160 mm×160 mm,NEX 1次,扫描时间366 s;2D-SPACE序列,TR/TE 3 280.0 ms/41.0 ms,层厚3.0 mm,层距0.6 mm,体素0.5 mm×0.4 mm×3.0 mm,FOV 160 mm×160 mm,NEX 1次,扫描时间588 s。

1.3 图像分析

由2名MRI诊断副主任医师通过双盲法对原始图像质量进行主观评分,意见不统一时由第3位正高级职称的高年资医师确定。主观评分标准如下[6]:①存在大量运动伪影,且相应结构无法显示记为1分;②存在较多运动伪影,且相应结构显示不清晰记为2分;③存在少量运动伪影,但不影响相应结构显示记为3分;④无明显伪影,且各结构显示均清晰记为4分。

1.4 观察指标

选择矢状位同一层面,在相同位置分别测量半月板、软骨、韧带、关节液及背景噪声,选择面积均为0.05 m2,计算半月板与软骨、韧带、关节液的对比噪声比。比较2种序列的图像质量主观评分、半月板损伤诊断准确率,以及半月板和各种组织的对比噪声比。

1.5 统计学方法

采用SPSS 20.0软件进行数据分析,行χ2检验、t检验,计数资料以例(%)表示,计量资料以x±s表示。以P < 0.05为差异有统计学意义。

2 结果 2.1

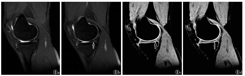
膝关节半月板损伤的典型图,见图 1

图 1 男,24岁  图 1a1b   2D-SPACE图,示半月板后角条状稍高信号,达下关节面(箭头)  图 1c1d   3D-SPACE图,示半月板后角条状高信号,达下关节面,较  图 1a1b  直观清晰(箭头)

2.2 2种序列图像的半月板和各种组织的对比噪声比情况比较

3D-SPACE序列图像半月板与韧带的对比噪声比明显高于2D-SPACE序列(P < 0.05)(表 1)。

表 1 2种序列图像的半月板和各种组织的对比噪声比比较(x±s

2.3 2种序列对半月板损伤诊断准确率对比

3D-SPACE序列诊断半月板斜行撕裂的准确率明显高于2D-SPACE序列(P < 0.05)(表 2)。

表 2 2种序列对半月板损伤诊断准确率对比

3 讨论

半月板损伤是膝关节最常见的损伤之一,多见于青壮年。患者临床症状包括局限性疼痛、关节肿胀、半月板或膝关节存在明显压痛等,极大影响患者的生活质量。针对不同类型的半月板损伤,临床治疗方式存在一定差异,如纵行撕裂及斜行撕裂均可进行修补治疗,而水平撕裂、复合撕裂及放射状撕裂均需对半月板进行部分切除[7-8]。因此,对半月板损伤类型进行准确诊断,有利于手术方案的制订,从而改善患者预后。近年来,MRI被广泛应用于临床诊疗中[9-10],对类似膝关节等软组织损伤具有较高的诊断价值。目前,临床上主要采用MRI 2D-SPACE对膝关节损伤进行诊断,然而由于其存在层厚较厚、空间分辨力较低、检查时间较长等缺点,在膝关节半月板损伤诊断中存在一定的局限性[11-12]。而3D-SPACE是近年来出现的一种新型扫描序列,其可快速对患者进行扫描,同时对患处三维成像,有效提高空间分辨力,目前已被广泛应用于临床多种疾病的诊断中[13-14]

本研究发现,3.0 T MRI 3D-SPACE序列所获取的半月板损伤图像较2D-SPACE序列质量更好,主要原因可能与扫描时间较短有关。因此,3.0 T MRI 3D-SPACE序列扫描半月板损伤时,应在尽量保证图像质量的基础上缩短扫描时间。此外,3D-SPACE序列诊断半月板斜行撕裂的准确率为85.71%,明显高于2D-SPACE序列的57.14%,提示3.0 T MRI 3D-SPACE序列诊断半月板损伤的准确率较高,特别适用于半月板斜行撕裂患者。分析原因为:3.0 T MRI 3D-SPACE序列采用了0.6 mm层厚、无间隔的各向同性扫描,有效提高了空间分辨力,有利于细小结构及病变的显示,且MPR能在同一层面完整地显示韧带长轴[15-18]。另外,3.0 T MRI 3D-SPACE序列与2D-SPACE序列图像的半月板与韧带的对比噪声比存在明显差异,提示3.0 T MRI 3D-SPACE序列在半月板损伤诊断中具有一定的潜在价值。然而,本研究尚因样本量不足,可能导致研究结果发生一定程度的偏倚,因此,在今后研究中应增大样本量,以获取更为准确、可靠的数据。

综上所述,3.0 T MRI 3D-SPACE序列可有效提高半月板损伤的诊断准确性,具有一定的临床应用价值,然而,其检查时间较长,且自动要求更高,存在一定的局限性。

参考文献
[1]
孙晓新, 周伟, 左淑萍, 等. 成人完全型外侧盘状半月板损伤的形态学特征及MRI评价[J]. 中国运动医学杂志, 2016, 35(9): 799-803.
[2]
欧阳红斌, 李朝晖, 赖永娥, 等. 膝关节半月板损伤磁共振成像诊断与关节镜检查对比研究[J]. 现代医用影像学, 2017, 26(2): 298-299.
[3]
张倩, 谢一男, 于洋, 等. 浅析3.0 T磁共振成像在膝关节损伤诊断中的应用价值[J]. 影像研究与医学应用, 2017, 1(13): 97-98. DOI:10.3969/j.issn.2096-3807.2017.13.061
[4]
杨艳, 敖国昆, 刘杰爱, 等. 3.0 T磁共振不同序列诊断膝关节滑膜炎的对照研究[J]. 中国医学装备, 2017, 14(10): 54-57. DOI:10.3969/J.ISSN.1672-8270.2017.10.016
[5]
于秀英, 韩广, 何勇, 等. MRI水脂分离序列成像对膝关节半月板损伤的诊断价值[J]. 中国中西医结合影像学杂志, 2016, 14(5): 530-533. DOI:10.3969/j.issn.1672-0512.2016.05.011
[6]
文涛, 马童, 薛华明, 等. 单髁置换术联合关节镜治疗内侧间室骨关节炎合并外侧半月板损伤[J]. 中华骨与关节外科杂志, 2016, 9(6): 464-467.
[7]
廖八根, 夏玉芳, 陈速, 等. 广东省男子自由式摔跤运动员膝关节损伤纵向跟踪调查分析[J]. 中国运动医学杂志, 2015, 34(12): 1152-1154.
[8]
陈新国, 王兴华, 刘丽, 等. MRI和多层螺旋CT诊断膝关节损伤临床价值分析[J]. 医学影像学杂志, 2017, 27(12): 2388-2391.
[9]
徐大启, 陈华斌, 赵浩, 等. 关节镜下清理并半月板切除治疗合并膝骨关节炎的半月板损伤[J]. 中国内镜杂志, 2017, 23(5): 93-96.
[10]
张立新, 张艳辉, 宋彬, 等. 核磁共振技术对膝关节损伤诊断的临床价值研究[J]. 影像研究与医学应用, 2018, 2(1): 53-54. DOI:10.3969/j.issn.2096-3807.2018.01.029
[11]
谷守欣, 李克, 张国福, 等. 3D-SPACE序列在深部浸润型子宫内膜异位症的价值分析[J]. 中国医学计算机成像杂志, 2017, 23(4): 347-351. DOI:10.3969/j.issn.1006-5741.2017.04.013
[12]
顾程, 李秀明, 孟祥鹿, 等. 磁共振三维可变翻转角快速自旋回波序列扫描技术在复杂性肛瘘诊断中的应用[J]. 山东医药, 2017, 57(10): 60-62. DOI:10.3969/j.issn.1002-266X.2017.10.020
[13]
孙岩, 吴雪, 谢萍, 等. 磁共振3D-SPACE、3D-TrueFISP、2D-FSE-PD序列膝关节软骨成像的比较研究[J]. 实用放射学杂志, 2015, 32(1): 131-135. DOI:10.3969/j.issn.1002-1671.2015.01.035
[14]
钱曾, 梁奕, 林浩, 等. 3D CUBE T2WI序列在膝关节前交叉韧带显示中的应用价值[J]. 中国临床研究, 2013, 26(12): 1373-1374.
[15]
赵晓梅, 黄耀渠, 伍琼慧, 等. 2D与3D MR快速自旋回波序列对膝关节交叉韧带及半月板损伤的诊断价值比较[J]. 放射学实践, 2017, 32(1): 73-78.
[16]
梁智锋, 蓝燚锋, 黄钰坚, 等. 3D-FS-SPGR序列在膝关节软骨损伤诊断中的应用价值[J]. 现代医用影像学, 2017, 26(4): 1014-1016.
[17]
樊子健, 吴丽萍, 任有忠, 等. 3.0 T磁共振T2-Mapping、3D-FSE-Cube与常规序列对膝关节软骨损伤分级对比分析[J]. 磁共振成像, 2017, 8(9): 675-680.
[18]
陈浩, 孙岩, 秦卫, 等. 3D-SPACE、3D-True FISP序列测量膝关节软骨缺损面积的比较研究[J]. 中国中西医结合影像学杂志, 2016, 14(3): 284-286. DOI:10.3969/j.issn.1672-0512.2016.03.016