| 低、高频超声产前诊断胎盘植入的价值及漏诊原因分析 |
2. 北京市怀柔区妇幼保健院功能科,北京 101400;
3. 北京市怀柔区妇幼保健院妇产科,北京 101400
胎盘植入是胎盘异常附着于子宫肌层,或侵蚀到子宫肌壁,甚至达子宫的浆膜层[1-2]。有些患者产时才能作出诊断,分娩时胎盘不能剥离,可造成大出血,出现严重并发症,甚至死亡,早期准确诊断并采取积极措施可改善预后。现回顾性分析临床疑诊胎盘植入50例孕妇的超声检查资料,探讨不同频率超声对胎盘植入的诊断价值。
1 资料与方法 1.1 一般资料选择2014年8月至2018年8月在北京佑安医院和怀柔区妇幼保健院超声科进行产前检查、临床疑诊胎盘植入孕妇50例,对胎儿及附属物声像图进行回顾性分析。孕妇年龄20~42岁,22例年龄>35岁。孕周28~40周,其中16例为初产妇,34例为经产妇,有剖宫产手术史28例,2例有2次剖宫产史,11例剖宫产史并流产史,5例有流产史,1例有引产史,3例为孕晚期阴道出血急诊入院,行床旁超声检查。
1.2 仪器与方法采用GE Logiq 7、Philips CX50、Toshiba Aplio 500超声诊断仪,探头频率:低频3.5 MHz、高频5~12 MHz。孕妇取平卧或侧卧位,详细检查胎儿各系统及其附属结构。膀胱适度充盈,多角度扫查,观察胎盘及其周围子宫肌层结构等,胎盘异常合并胎盘植入者应密切观察随访直至胎儿出生。可疑胎盘植入孕妇,先使用低频超声检查,后换用高频超声重点观察胎盘位置、厚度、内部回声、胎盘后间隙,以及子宫肌层的连续性、厚度等[3]。可疑胎盘植入的胎盘组织或与子宫壁粘连组织送病理学检查,子宫切除患者胎盘及子宫同时送病理检查。比较超声检查结果与手术及病理结果[4]。
1.3 诊断标准 1.3.1 胎盘植入诊断标准[2, 5]根据术中或分娩时所见或分娩后病理发现子宫肌层内绒毛结构诊断为胎盘植入。
1.3.2 胎盘植入的产前超声诊断标准[2-4, 6]① 胎盘明显增厚,部分合并前置胎盘,胎盘后间隙变薄或消失;②胎盘内有多个大小不等、形态不规则的液性无回声区,即“胎盘陷窝”;③胎盘与其附着部位子宫肌层界限不清、肌层消失或明显变薄(< 2 mm);④胎盘附着处出现子宫局部向外凸起,子宫与膀胱壁的强回声线变薄、不规则或中断;⑤彩色多普勒超声见胎盘陷窝内血流丰富,呈旋涡状,胎盘周围血管分布明显增多、增粗、不规则,子宫旁血管血流充盈。
1.3.3 胎盘植入的临床诊断标准[2, 4]剖宫产或经阴道分娩后胎盘不能自娩,徒手剥离胎盘时困难,强行剥离后仍有残留,剥离面粗糙、出血,临床诊断为胎盘植入。
1.4 统计学分析应用SPSS 13.0统计软件,诊断准确率比较行χ2检验。以P < 0.05为差异有统计学意义。
2 结果50例经手术或病理证实36例为胎盘植入。低频超声检查35例阳性,其中3例经手术或病理证实为非胎盘植入而误诊,漏诊3例。低、高频超声联合检查示38例阳性,其中2例经手术或病理证实为非胎盘植入误诊,漏诊2例(表 1)。
| 表 1 低、高频超声诊断胎盘植入与病理结果对照 |
![]() |
低、高频超声诊断胎盘植入的准确率、敏感度、特异度等均高于单纯低频超声检查,误诊率及漏诊率低于单一检测,差异均有统计学意义(均P < 0.05,表 2)。
| 表 2 低、高频超声诊断胎盘植入结果比较 |
![]() |
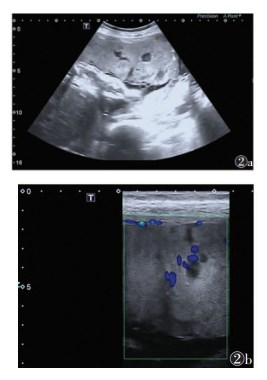
36例胎盘植入中,20例胎盘附着于子宫前壁合并前置胎盘(图 1)。低频超声漏诊3例中,2例胎盘位于子宫后壁并无前置,超声探查胎盘效果不佳,经验不足而漏诊;1例前壁胎盘,无前置,超声图像不典型而漏诊,此孕妇有人工流产史,联合高频超声检查后发现子宫后间隙部分消失子宫肌层变薄,诊断为部分植入。低频超声诊断假阳性3例均为前置胎盘,其中1例联合高频超声检查后确诊为前置胎盘无植入(图 2)。
![]() |
| 图 1 32岁,孕37周,前置胎盘图 1a,1b CDFI及能量多普勒示靠近植入区域的胎盘及其周边组织血流丰富 |
![]() |
| 图 2 38岁,孕36周,前置胎盘 图 2a 低频超声可见胎盘增厚,内部多发大小不等“胎盘陷窝”,胎盘陷窝部分呈云雾状;胎盘后间隙无法探及,胎盘后方子宫壁肌层低回声带似变薄或消失,可疑胎盘植入 图 2b 高频超声示胎盘后间隙存在、胎盘与子宫肌层之间界限清晰、局部肌层无明显变薄,CDFI示胎盘内部及胎盘后方无紊乱血流 |
3 讨论
胎盘植入是产科的严重并发症,随着剖宫产率的上升、瘢痕子宫的增加,植入性胎盘的发生率随之上升[7]。剖宫产术后子宫切口部位缺乏肌层修复,仅有近似肌层的瘢痕组织。合并前置胎盘时,胎盘附着处内膜薄弱,蜕膜层血供不足、发育不良,胎盘绒毛易侵入肌层,胎盘植入发生率增加[8]。根据胎盘绒毛与子宫肌层的关系,胎盘植入分为3种类型:①胎盘粘连,绒毛直接附着在子宫肌层;②胎盘植入,绒毛侵入部分子宫肌层;③穿透性胎盘植入,绒毛穿透子宫肌层达子宫浆膜层,并可侵犯邻近器官[2, 9]。胎盘植入在正常人群发生率为0.004%,在高危因素人群发生率为3.3%,既往剖宫产史及前置胎盘为胎盘植入最常见的高危因素[1],胎盘植入与孕妇年龄、产次、人工流产、子宫穿孔史及妊娠合并高血压疾病等均有关[2, 8],超声医师应重视,提高诊断准确性。
超声漏诊的原因:孕妇体型肥胖、羊水过少、肠道气体较多;后壁胎盘因胎儿和耻骨联合遮挡不易显示;对胎盘后间隙观察不够,以及不同超声医师的主观判断存在差异而胎盘后间隙部分或全部消失或紊乱不清是胎盘植入特点之一[7];仪器的分辨力也是需考虑的因素。应特别注意多次刮宫、子宫内膜受损者,胎盘植入有时胎盘回声无虫蚀样改变,也无明显“胎盘陷窝”。诊断时首先应注重临床病史及临床症状,孕期出血者尤其应提高警惕。剖宫产再孕者,注意观察子宫下段剖宫产切口处有无胎盘附着,剖宫产术增加子宫内膜受损和子宫内膜炎的机会,以及剖宫产术后子宫下段瘢痕阻碍妊娠中晚期峡部延伸形成子宫下段、胎盘相应向上“迁移”的过程,导致中晚期妊娠胎盘不易向上“迁移”而逐渐进展为胎盘附着异常[7]。本组漏诊2例为后壁胎盘,超声检查时可让孕妇侧身以便观察。利用彩色多普勒及能量多普勒在胎盘后方观察,有助于胎盘植入的诊断[8-9]。本组低频检查漏诊的1例前壁胎盘,产前胎盘植入中胎盘处肌层变薄发生率不高,正常宫体与膀胱壁交界处是平滑的高回声线,发生胎盘植入时高回声线向外凸起变薄、不规则或中断,联合高频超声检查局部小面积植入可避免漏诊[3]。
2例假阳性均有剖宫产史、前置胎盘,术中见膀胱与子宫前壁粘连,膀胱表面静脉曲张明显,胎盘附着面积较大,子宫下段表面血管曲张。这些曲张的血管可能是造成误诊的原因。胎盘植入应与单纯性前置胎盘鉴别,前置胎盘后方子宫肌层低回声带及胎盘厚度属正常范围,彩色多普勒超声示肌层内弓状动脉无异常变化。正常胎盘母体血池也表现为一个或数个低回声腔隙,有时与植入性胎盘内的“胎盘陷窝”不易鉴别,母体血池相对不如“胎盘陷窝”多。
彩色多普勒超声能清晰显示胎盘及周围子宫壁和子宫颈血流,在产科检查中应用最广泛,但当胎盘位于子宫后壁或宫底时观察受到限制。当缺乏典型临床及超声表现时,超声结合MRI可提高后壁胎盘植入诊断率,特别是需判断胎盘植入深度时,MRI有明显优势,其诊断凶险性前置胎盘的特异度可达100%,说明MRI对组织的分辨力较高,能多平面成像,且成像范围较大,不易受胎盘位置影响,对血流具有较强的敏感性。但MRI检查价格较昂贵、时间较长,且钆剂的安全性尚未完全确定,在一定程度上限制了其广泛应用,近期内不可能作为常规的检查方法。为提高诊断准确性,应将彩色多普勒超声与MRI结合应用[10-12]。能量多普勒超声对胎盘微小血管的敏感性更高,且不受角度限制,对胎盘植入的血流显示更具优势[8]。
总之,超声检查价廉、方便、无创、重复性较好等易被孕妇接受,目前是诊断胎盘植入的主要手段。高频超声检查频率高、图像分辨力高,能够较清晰地显示胎盘后间隙、子宫肌层与胎盘之间的强回声线。如发现局部界限不清、胎盘后间隙部分缺失、局部肌层变薄、在植入附近胎盘实质内出现腔隙状血流,可初步判断为部分性胎盘植入。低、高频超声联合使用可提高胎盘植入的检出率,具有较高的临床价值。
| [1] |
陈倩. 妇产科疾病:超声诊断路径[M]. 北京: 北京大学医学出版社, 2016: 135.
|
| [2] |
中华医学会围产医学分会, 中华医学会妇产科学分会产科学组. 胎盘植入诊治指南(2015)[J]. 中华围产医学杂志, 2015, 18(7): 481-485. DOI:10.3760/cma.j.issn.1007-9408.2015.07.001 |
| [3] |
王红阳, 黄安茜. 高频超声在胎盘植入诊断中的应用价值探讨[J]. 中国临床医学影像杂志, 2016, 27(10): 747-748. |
| [4] |
王连云, 谢爱兰, 陈伟, 等. 产前超声与低场磁共振检查在胎盘植入诊断中的价值[J]. 中国临床医学影像杂志, 2015, 26(7): 505508. |
| [5] |
Comstock CH, Bronsteen RA. The antenatal diagnosis of placenta accreta[J]. BJOG, 2014, 121: 171-181. DOI:10.1111/1471-0528.12557 |
| [6] |
俞钢. 临床胎儿学[M]. 北京: 人民卫生出版社, 2016: 427-432.
|
| [7] |
胡良勇, 靳晓清, 高红, 等. 彩色多普勒超声监测剖宫产后再妊娠胎盘附着异常的价值[J]. 中国中西医结合影像学杂志, 2014, 12(4): 421-423. DOI:10.3969/j.issn.1672-0512.2014.04.033 |
| [8] |
卜凡文, 沈树娜. 经腹彩超诊断胎盘植入的临床研究[J]. 中国临床医师杂志, 2015, 43(9): 26-29. |
| [9] |
腾想, 郭雪, 朱倩茹, 等. 胎盘植入的超声表现分析[J]. 中国中西医结合影像学杂志, 2013, 11(4): 425-426. DOI:10.3969/j.issn.1672-0512.2013.04.033 |
| [10] |
孔丽君, 周莉, 杨丽, 等. 产前超声检查和磁共振成像对胎盘植入诊断的准确性评估[J]. 首都医科大学学报, 2016, 37(2): 238240. |
| [11] |
朱献韶, 韩再德, 余立新, 等. 胎盘植入的MRI表现[J]. 中国中西医结合影像学杂志, 2017, 15(5): 602-604. DOI:10.3969/j.issn.1672-0512.2017.05.031 |
| [12] |
韩鹏慧, 江魁明, 郭庆禄, 等. 超声及MRI在胎盘植入中的诊断价值[J]. 中国临床医学影像杂志, 2016, 27(3): 194-197. |
2019, Vol. 17






