| 儿童颈胸部横纹肌肉瘤的CT表现及病理分析 |
2. 上海市浦东新区人民医院放射影像科,上海 201200
横纹肌肉瘤(rhabdomyosarcoma,RMS)是一种从间充质向横纹肌方向分化的恶性肿瘤,占儿童恶性肿瘤的4.5%[1-2]。RMS好发于头颈部、泌尿生殖系统及四肢软组织,生长迅速,局部浸润,转移早且广泛,恶性程度高[3]。笔者对7例颈胸部RMS患儿的病理类型和CT图像特征进行回顾性分析,旨在进一步提高对该病的认识。
1 资料与方法 1.1 一般资料选择上海市浦东新区中医医院及浦东新区人民医院2016年1月至2018年12月经手术病理证实的7例颈胸部RMS患儿,其中男4例,女3例,男女比例1.33:1;年龄11个月~13岁,平均(5.1±2.3)岁。临床表现为患侧颈部肿胀、胸壁或腋下包块,伴或不伴疼痛,反复低热等。
1.2 仪器与方法采用联影16层MSCT机,患儿取仰卧位,头先进,不能配合的幼儿采用10%水合氯醛灌肠镇静,剂量0.5 mL/kg体质量。扫描参数:120 kV,80~100 mA,层厚5 mm,层距5 mm,螺距1,扫描范围为下颌角至膈肌下方,肿块位置增加3 mm薄层扫描,扫描范围尽量扩大以保证病变完整显示。增强扫描对比剂采用欧乃派克团注,剂量1.5~2 mL/kg体质量,流率1.5~3 mL/s,注射后20~30、50~60及90~120 s分别行动脉期、静脉期及延迟期扫描。
1.3 图像分析由2名10年以上诊断经验的医师采用盲法阅片,分别观察肿块的发生部位、大小、形态及CT图像特点,观察是否有周围脏器、骨质浸润、远处转移,以及胸腔积液等。意见不一致时经协商达成统一意见。
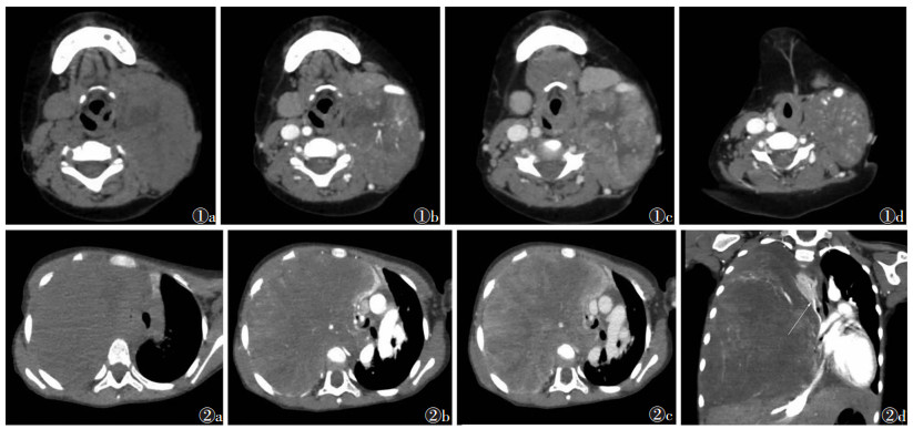
2 结果7例均为单发,位于右颈部3例,左颈部2例(图 1),右胸腔(图 2)及左胸壁各1例;肿块大小3.2 cm×4.5 cm×6.7 cm~10.0 cm×12.4 cm×16.8 cm;3例呈团块状,2例呈卵圆形,2例形态不规则;6例边界清晰,1例边界模糊。CT平扫4例密度较均匀,稍低于同层面肌肉密度(图 2a),2例呈不均匀等低密度,内部伴条片状或不规则液化坏死(图 1a),1例伴斑片状出血而呈等高密度,7例均未见脂肪成分及钙化。增强扫描动脉期肿块实性部分不均匀强化(图 1b,2b,2d),其中3例可见增粗迂曲血管穿行,静脉期肿块呈持续片絮状、团片状及斑马纹状强化(图 1c,2c),延迟期强化减弱。1例伴下颌骨轻微溶骨性破坏,1例侵犯喉咽,1例伴腋窝淋巴结转移(图 1d)。
![]() |
| 图 1 男,9岁,横纹肌肉瘤(RMS) 图 1a 平扫左颈部见卵圆形等低密度肿块,内部伴条片状液化坏死,边界清晰 图 1b 动脉期不均匀强化,内部可见粗大血管 图 1c 静脉期呈持续团块状强化,左侧喉咽受侵增厚 图 1d 动脉期肿块前方伴肿大淋巴结影,强化不均匀,边界不光滑 图 2 男,4岁,RMS 图 2a 平扫右胸腔见团块状稍低密度肿块,边界较清晰 图 2b 动脉期不均匀强化,内部伴较粗大血管 图 2c 静脉期呈持续斑马纹状强化 图 2d 动脉期冠状位显示肿块巨大,相邻肺组织受压不张(长箭),纵隔受压左移 |
术后病理证实4例为胚胎性RMS,均为葡萄簇状亚型,发病年龄11个月~5岁;3例为腺泡状RMS,发病年龄6~13岁。肿块大体呈烂鱼肉状,质地不均,光镜下肿瘤细胞呈圆形、多边形或梭形,排列疏密不均。胞质红染或红色胞,核仁明显,核分裂多见。免疫组化Myogenin(+)6例,MyoD1(+)6例,Des(+)2例,SMA(+)1例,CD56(+)1例,CD99(+)1例。
3 讨论 3.1 病理类型及临床特点RMS起源于胚胎期原始间充质,是发病率较高的间叶源性恶性肿瘤。2~6岁和10~18岁为2个发病高峰,男女比例约1.2:1,其中65%<11岁,且年龄越小,预后越差[4]。2002年,WHO软组织和骨肿瘤分类中将RMS分为胚胎性、腺泡状、多形性3个亚型[5]。2013年版WHO新分类中增加了硬化型RMS,并将梭形细胞型RMS从胚胎亚型中分离出来,与硬化型RMS归为一类,称为梭形细胞和(或)硬化型RMS。胚胎性RMS好发于出生后及儿童期,成人罕见,而腺泡状RMS好发于较大儿童及成人。RMS可发生于儿童的任何部位,胚胎性RMS好发于头颈部和泌尿系统,腺泡状RMS好发于大龄儿童的躯干和四肢,多形性RMS以中老年男性深部肌肉多见,梭形细胞和(或)硬化型RMS则好发于腹膜后及睾丸旁[6-8]。本组男女比例1.33:1,病理证实胚胎性4例,年龄11个月~5岁;腺泡状3例,年龄6~13岁,与上述文献报道基本相符。儿童颈胸部RMS早期可无明显临床症状,患儿多因颈部和(或)胸部触及无痛性包块就诊,当肿块合并感染或出血时可表现为持续性钝痛。
3.2 CT特点① 大小及形态:相对于胸腔内肿块,颈胸部皮下肿块一般发现时瘤体较小,与病灶好发于体表而易被发现有关。肿块多呈团块状、卵圆形或不规则状,边缘多较清晰。②密度:CT平扫呈低于肌肉的均匀稍低或不均匀等低密度,伴出血和液化坏死时则为高低混杂密度,形态不规则。肿块内部一般不伴脂肪成分及钙化,本组7例均未见脂肪及钙化成分,与报道[9-10]相符。③强化方式:增强扫描动脉期瘤体实性部分以不均匀强化为主,强化程度高于肌肉但低于周围血管,瘤体内部有时可见增粗迂曲的血管穿行,实性部分光镜下为肿瘤细胞排列较密集部分。本组3例动脉期瘤体内可见增粗血管影,静脉期呈团片状、片絮状或斑马纹状强化,可能为肌源性肿瘤的特征性表现,可提示性诊断,而无强化区域则为黏液样变性、坏死部分。④与周围组织关系:儿童颈部胸RMS常侵犯邻近组织,表现为周围软组织肿胀,脂肪层密度增高。发生于胸腔者表现为周围肺组织受压不张、局部浸润,纵隔向对侧移位等占位效应。但对邻近骨质结构的侵犯却并不常见,骨破坏更多见于瘤体巨大或位置较深时,可对邻近骨质产生包绕和破坏,以局部轻微溶骨性破坏为主,未见瘤骨及骨膜反应。这一特征可与伴明显骨破坏为特征的一些肿瘤相鉴别。⑤转移及合并症:本组仅1例发现腋窝淋巴结转移,表现为淋巴结肿大,边界欠清,增强扫描不均匀强化,但此影像表现缺乏特异性。本组未见肺内转移及胸腔积液,与其他文献报道不符,可能与样本较小有关。
3.3 鉴别诊断影像学诊断上,儿童颈胸部RMS需与淋巴瘤、平滑肌肉瘤、脂肪肉瘤等相鉴别:①淋巴瘤,为乏血供肿瘤,常由多个肿大淋巴结互相融合而成,肿瘤供血血管少且细胞排列致密。因此,淋巴瘤很少发生液化坏死,CT平扫密度均匀,增强扫描呈轻中等较均匀强化。②平滑肌肉瘤,儿童少见,肿块边界多不清晰,更易侵犯周围血管等其他组织。增强扫描呈渐进式强化,延迟期亦强化明显。③神经母细胞瘤,虽是儿童发病率居第3位的恶性肿瘤,但很少原发于颈胸部,多为颈胸部转移[11]。肿瘤形态不规则,瘤体内部多伴斑片状或沙砾样钙化,侵犯骨质时常见特征性针状骨膜反应,可与RMS相鉴别。④脂肪肉瘤,更易侵犯邻近骨骼,骨质破坏程度更显著,肿块内部可见不同比例脂肪成分,鉴别不难。
综上所述,儿童颈胸部RMS的CT表现反映了其病理特点,具有一定特征性,其密度均低于肌肉软组织,可伴出血及液化坏死,脂肪及钙化成分罕见,肿瘤边界多较清晰;增强扫描动脉期不均匀强化,常见血管穿行,静脉期呈不均匀团片状、片絮状及斑马纹状强化,骨质破坏以程度较轻的溶骨性破坏为主。根据以上CT表现,结合发病年龄、部位,有助于对胸部RMS的正确诊断。
| [1] |
陈臻, 卢柱华, 刘珍银, 等. 小儿腹部胚胎型横纹肌肉瘤的CT表现与鉴别诊断[J]. 实用放射学杂志, 2018, 34(7): 1080-1082. DOI:10.3969/j.issn.1002-1671.2018.07.025 |
| [2] |
Huh WW, Skapek SX. Childhood rhabdomyosarcoma:new insight on biology and treatment[J]. Curr Oncol Rep, 2010, 12: 402-410. DOI:10.1007/s11912-010-0130-3 |
| [3] |
Harel M, Ferrer FA, Shapiro LH, et al. Future directions in risk stratification and therapy for advanced pediatric genitourinary rhabdomyosarcoma[J]. Urol Oncol, 2016, 34: 103-115. DOI:10.1016/j.urolonc.2015.09.013 |
| [4] |
裴申军, 汪昌柱. 小儿横纹肌肉瘤的CT诊断[J]. 安徽卫生职业技术学院学报, 2015, 14(1): 60-61, 67. |
| [5] |
何乐健, 王琳, 孙宁, 等. 儿童横纹肌肉瘤的临床病理研究[J]. 中华病理学杂志, 2004, 33(3): 225-228. DOI:10.3760/j.issn:0529-5807.2004.03.009 |
| [6] |
乔贵锋. 小儿腹盆腔横纹肌肉瘤的CT表现与病理对比研究[J]. 医学影像学杂志, 2016, 26(9): 1722-1725. |
| [7] |
Dasgupta R, Fuchs J, Rodeberg D. Rhabdomyosarcoma[J]. Semin Pediatr Surg, 2016, 25: 276-283. DOI:10.1053/j.sempedsurg.2016.09.011 |
| [8] |
屈昭慧, 高雪梅, 程敬亮, 等. 儿童横纹肌肉瘤的MRI表现及ADC值的诊断价值[J]. 实用放射学杂志, 2016, 32(11): 1759-1761, 1772. DOI:10.3969/j.issn.1002-1671.2016.11.028 |
| [9] |
Yunoki J, Ohteki H, Naito K, et al. Omental herniation through the esophageal hiatus mimics mediastinal lipomatous tumor[J]. Jpn J Thorac Cardiovasc Surg, 2004, 52: 580-582. DOI:10.1007/s11748-004-0028-9 |
| [10] |
邓立维, 吴慧莹, 徐文彪, 等. 儿童胸壁横纹肌肉瘤的CT诊断[J]. 中国医学影像学杂志, 2015, 23(12): 934-937, 942. DOI:10.3969/j.issn.1005-5185.2015.12.015 |
| [11] |
韩忠龙, 于彤, 高军, 等. 儿童头颈部横纹肌肉瘤的CT及MR影像学特点[J]. 武警医学, 2017, 28(2): 171-174. DOI:10.3969/j.issn.1004-3594.2017.02.016 |
2019, Vol. 17



