| 阑尾黏液囊肿的MSCT诊断 |
![]() |
阑尾黏液囊肿(appendiceal mucocele,AM)可由各种非肿瘤性囊肿和肿瘤引起。AM临床上常发生破裂或腹腔种植转移,形成严重的腹膜假黏液瘤。术前MSCT检查对鉴别良恶性黏液囊肿具有重要意义,可提示改变手术方法以避免囊肿破裂、腹膜假黏液瘤的形成。现分析AM的MSCT表现,旨在为术前诊断提供帮助。
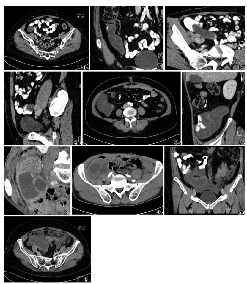
1 AM的病理及临床特点AM是指各种原因所引起的阑尾腔阻塞,使阑尾黏膜分泌的黏液不能及时排出,造成黏液不断在阑尾腔内蓄积,导致阑尾囊状扩张,形成囊性肿块。AM在临床上相对少见,占阑尾切除原因的0.1%~0.4%[1],患者年龄通常 > 50岁。AM根据病理结果可分为4种类型:①非肿瘤性囊肿,包括单纯性囊肿(图 1)和黏膜增生;②黏液囊腺瘤(图 2);③低级别阑尾黏液性肿瘤(low grade appendiceal mucinous neoplasm,LAMN)(图 3,4);④黏液囊腺癌(图 5)。
![]() |
| 图 1 女,阑尾单纯性黏液囊肿 图 1a CT平扫示右下腹囊性肿块 图 1b 增强扫描MPR示阑尾区长条状囊性肿块,伴弧形钙化,囊壁均匀,光滑一致,未见明显强化 图 2 女,阑尾黏液囊腺瘤 图 2a CT平扫示右下腹长条形囊性肿块伴弧形钙化 图 2b 增强扫描MPR示右下腹阑尾区囊性肿块,囊壁均匀,光滑一致,呈轻度强化 图 3 女,52岁,阑尾低级别黏液性肿瘤 图 3a CT图像示右下腹管状囊性肿块伴壁结节和腹膜假黏液瘤 图 3b 增强扫描矢状位示阑尾区囊性肿块伴壁结节,腹腔积液,囊壁粗糙、明显强化 图 4 男,阑尾低级别黏液性肿瘤 图 4a CT平扫示右下腹囊性肿块伴点状钙化和分隔 图 4b 增强扫描囊肿内可见分隔,囊壁厚薄不均匀、粗糙、明显强化 图 5 女,阑尾黏液囊腺癌 图 5a CT平扫示右下腹长椭圆形囊性肿块伴点状钙化,腹膜增厚呈结节状或饼状 图 5b 增强扫描示阑尾区囊性肿块伴壁结节,囊壁厚薄不均匀、粗糙、较明显强化,伴腹腔积液 |
阑尾黏液性肿瘤的命名曾有多种,如低度恶性潜能的黏液性肿瘤[2]、交界性肿瘤[3]、LAMN[3]。①阑尾黏液腺瘤为良性肿瘤,病灶一般局限在阑尾内。②LAMN作为交界性肿瘤,缺乏对阑尾壁的侵袭,早期仅局限在阑尾,但有的已扩散到腹膜,被称为是属难以分类、交界性或难以明确生物学行为的肿瘤类别。可突破阑尾浆膜形成低度恶性的腹膜假黏液瘤,一般较少累及腹腔内的脏器。③黏液性囊腺癌为恶性肿瘤,则易穿破阑尾浆膜形成腹膜假黏液瘤种植于腹腔之上,有少数可直接穿孔形成窦道,再经窦道侵犯至其他脏器。阑尾黏液性肿瘤的演变,一般是从黏膜增生到瘤变再过渡为LAMN,最后癌变[4]。因此,对阑尾黏液性肿瘤早发现、早诊断、早治疗,从而预防术前及术中囊肿破裂、腹腔脏器及腹膜种植是提高患者生存率的关键。
2 AM的MSCT表现AM可分为多种类型,临床和影像学表现差别很大。约25%的AM无症状,多在外科手术或影像检查时偶然发现[5]。AM的MSCT多表现为右下腹髂窝长椭圆形的囊性肿块,囊壁可见壁结节(提示实性成分),腔内或囊壁可见颗粒状或弧形钙化,病灶周围可有渗出,脂肪间隙密度增加,如有种植转移,在腹膜、肠系膜等部位可见结节状突起,腹腔内脏器如肝脏、脾脏等边缘可呈扇贝样改变[4]。
2.1 良性黏液囊肿① 右下腹髂窝内囊性肿块,囊壁均匀、菲薄,无实性结节;②囊肿边缘规整;③囊壁可见弧形或条状钙化灶;④囊腔内液体密度均匀;⑤囊肿边界清楚;⑥少数囊肿周围可有少许渗出;⑦增强扫描囊壁呈均匀、轻度不明显强化。
2.2 恶性黏液囊肿① 右下腹髂窝内囊实性肿块,多数以囊性为主,囊内容物可为水样密度,也可为软组织密度,密度不均匀;②囊壁厚薄不均,可形成实性结节,囊内可见分隔,分隔可厚薄不均,增强扫描囊壁、壁结节及分隔等实性成分呈较明显的不均匀强化;③囊壁可出现弧形或条状钙化灶;④肿块体积较大,边缘不规整,形态不规整,呈分叶状改变;⑤瘤灶具有侵袭性,可突破浆膜向周围转移,可有腹腔积液;⑥如发生种植转移,则腹膜、肠系膜、腹壁、卵巢等腹腔脏器边缘可见结节状突起,肝脏、脾脏边缘呈扇贝样改变;⑦少数患者可仅表现为囊性肿块,有时囊壁钙化,此时与AM(单纯性)鉴别困难。
当MSCT表现为囊肿壁不规则增厚伴壁结节、囊内液体密度不均匀、囊肿壁境界不清、周围脂肪密度增加,增强扫描壁结节、分隔有强化,且伴腹膜假黏液瘤和腹腔积液等时,则考虑恶性可能。多个MSCT征象综合鉴别,可提高恶性囊肿的诊断准确率。
2.3 交界性黏液囊肿LAMN作为交界性肿瘤,仅依靠MSCT表现有时无法鉴别其与良性黏液囊肿,而LAMN与恶性黏液囊肿的鉴别也较困难。
3 AM的影像学征象与病理相关性 3.1 腹膜假黏液瘤是由于自发性或医源性的阑尾穿孔引起,或由肿瘤向外侵犯转移至腹膜、肠系膜或腹腔脏器,其与恶性肿瘤密切相关[6]。可分为低度恶性和高度恶性,其级别、累及范围均与病变预后明显相关。一些学者[7]认为腹膜假黏液瘤的播散是恶性肿瘤的直接证据,但LAMN为交界性肿瘤,其与囊腺癌一样,都会引起腹膜播散。
3.2 钙化在AM的发生率一般 < 50%,钙化与囊肿的良恶性无直接关系,可能是黏液在阑尾壁积聚的慢性过程,可表现为弧形或点状钙化。
3.3 阑尾周围脂肪浸润是AM非特异性表现,在AM(良性或恶性)或阑尾的炎症性改变中均可发生。
4 AM的鉴别诊断 4.1 阑尾炎性病变又包括阑尾炎、阑尾周围脓肿及结核等。单纯阑尾炎多表现为阑尾直径增粗,阑尾壁增厚,但阑尾的形态存在,黏液较少,直径比AM小,囊腔内液体密度较低,囊内及囊壁无钙化,一般较易鉴别。阑尾周围脓肿一般有明显的临床特点,如高热、白细胞明显升高等症状,MSCT可表现为阑尾壁水肿增厚明显,一般为均匀性增厚,增强扫描阑尾壁明显环形强化,但无壁结节,周围渗出明显,易形成阑尾周围包块,增强扫描呈不均匀性强化,抗感染治疗有效,包块可缩小。其他少见病变,如结核等炎性病变可伴腹水,无分隔及条絮样强化,无腹腔种植转移形成腹膜假黏液瘤。结核可伴淋巴结钙化、肿大及干酪样坏死;阑尾黏液性肿瘤不累及淋巴结,发现淋巴结异常支持结核或其他肿瘤,但结核很少见[8]。
5.2 其他少见阑尾肿瘤如阑尾类癌及淋巴瘤,阑尾类癌的影像资料少见,可表现为阑尾阻塞伴炎症,但常被认为是普通的阑尾炎,只有症状严重行手术切除者才经病理结果证实为类癌。原发性阑尾淋巴瘤MSCT可表现为阑尾体积增大,阑尾壁弥漫性增厚伴壁结节,互相融合,轻度强化,阑尾可增粗延长,阑尾的大致形态一般不会改变,仍呈蠕虫形或蚯蚓状。
5.3 右侧附件来源的囊性肿瘤许多AM与卵巢黏液性肿瘤有密切关系,常伴随发生[9]。肿瘤特别大或破裂时则很难判断肿瘤的来源,此时需仔细观察或行图像后处理判断肿瘤实质性成分,以及与回盲部、子宫、附件的关系。当阑尾伴黏液囊肿,右侧或双侧卵巢均伴囊性肿块,同时伴腹腔积液和腹膜假黏液瘤,应考虑为AM,再根据其具体征象判断良恶性[10]。
| [1] |
Foster JM, Sleightholm RL, Wahlmeier S, et al. Early identificati-on of DPAM in at-risk low-grade appendiceal mucinous neopla-sm patients:a new approach to surveillance for peritoneal metas-tasis[J]. World J Surg Oncol, 2016, 14: 243-250. DOI:10.1186/s12957-016-0996-0 |
| [2] |
Pai RK, Beck AH, Norton JA, et al. Appendiceal mucinous neop-lasms:clinicopathologic study of 116 cases with analysis[J]. Am J Surg Pathol, 2009, 33: 1425-1439. DOI:10.1097/PAS.0b013e3181af6067 |
| [3] |
Misdraji J. Appendiceal mucinous neoplasms:controversial issu-es[J]. Arch Pathol Lab Med, 2010, 134: 864-870. |
| [4] |
韩太林, 赵慧萍, 曾蒙苏, 等. 阑尾黏液性肿瘤的CT和MRI诊断及良恶性鉴别[J]. 放射学实践, 2014, 29(7): 808-813. |
| [5] |
Wang H, Chen YQ, Wei R, et al. Appendiceal mucocele:a diag-nostic dilemma in differentiating malignant from benign lesions with CT[J]. AJR Am J Roentgenol, 2013, 201: 590-595. DOI:10.2214/AJR.12.9260 |
| [6] |
Wei-Ming L, Chih-Hui L, Kuo LM, et al. Intussusception secon-dary to a giant appendiceal mucocele:preoperative diagnosis by multi-slice computed tomography[J]. Abdom Imaging, 2010, 35: 428-430. DOI:10.1007/s00261-009-9542-7 |
| [7] |
Misdraji J. Mucinous epithelial neoplasms of the appendix and pseudomyxoma peritonei[J]. Mod Pathol, 2015, 28: 67-79. DOI:10.1038/modpathol.2014.129 |
| [8] |
Gillion JF, Franco D, Chapuis O, et al. Appendiceal mucoceles, pseudomyxoma peritonei, and appendiceal mucinous neoplasms. Update on the contribution of imaging to choice of the surgical approach[J]. J Chir (Paris), 2009, 146: 150-166. DOI:10.1016/j.jchir.2009.05.020 |
| [9] |
Young RH, Gilks CB, Scully RE. Mucinous tumors of the appen-dix associated with mucinous tumors of the ovary and pseudom-yxoma peritonei. A clinicopathological analysis of 22 cases sup-porting an origin in the appendix[J]. Am J Surg Pathol, 1991, 15: 415-429. DOI:10.1097/00000478-199105000-00001 |
| [10] |
Zissin R, Gayer G, Fishman A, et al. Synchronous mucinous tu-mors of the ovary and the appendix associated with pseudomy-xoma peritonei:CT findings[J]. Abdom Imaging, 2000, 25: 311-316. DOI:10.1007/s002610000038 |
2018, Vol. 16

