| Castleman病的CT表现及病理分析 |
2. 河南省胸科医院影像科,河南 郑州 450003
Castleman病(Castleman disease,CD)又称巨淋巴结增生症,是一种少见且原因不明的慢性淋巴组织增生性疾病,1956年由Castleman等[1]首先报道。现收集2009年3月至2018年9月河南省省立医院经病理证实的10例不同部位CD,对其CT表现及病理特点进行对照分析,并复习相关文献,总结其CT特征,以提高该病的诊断准确率。
1 资料与方法 1.1 一般资料10例中,男6例,女4例;年龄20~60岁,中位年龄37岁。2例颈部包块(1例伴声嘶),1例右侧腹股沟包块,1例因双下肢水肿临床诊断肾炎,1例反复呕血、黑便,1例咳嗽、咳痰;4例经常规体检发现。
1.2 仪器与方法10例均行CT检查,6例行增强扫描。采用Toshiba 64层螺旋CT扫描仪及Philips Br-illiance 16层螺旋CT扫描仪,患者取仰卧位,扫描范围根据扫描部位要求确定。扫描参数:120 kV,100~200 mA,层厚5 mm,重建层厚1 mm,重建层距1 mm。增强扫描经肘静脉团注对比剂碘海醇(300 mgI/mL),流率3.0 mL/s,剂量1.5 mL/kg体质量。颈部及胸部行双期增强扫描(动脉期25~30 s、静脉期40~45 s),腹部、盆腔增强行3期或2期扫描(动脉期20~30 s,静脉期50~60 s及延迟期120~180 s)。
1.3 影像及病理分析由2名影像科高年资诊断医师分别采用双盲法观察病灶位置、形态、大小、密度、强化方式及强化程度(轻度强化10~20 HU、中度强化21~40 HU、明显强化41~60 HU和显著强化>61 HU);并与病理对照分析,意见不一致时通过协商达成一致。CD临床分为局限型及多中心型;病理分为透明血管型、浆细胞型及混合型[1-2]。
2 结果 2.1 CT表现10例中,局限型CD 8例,男5例,女3例,病理均为透明血管型,均为单发,其中1例术中见周围增大淋巴结3枚,病理上淋巴结反应性增生2枚,透明血管型1枚。10例中,位于颈部颈动脉鞘旁(Ⅱ区)2例、腹膜后肾脏前上方1例、前上纵隔(与主动脉宽基地相连)2例、后下纵区1例(9区)、右肺门旁1例、右侧盆腔入口腰大肌旁1例。CT平扫呈圆形、类圆形或椭圆形软组织肿块(图 1,2),7例密度均匀(图 1),1例密度不均、内见多发低密度区(图 2),2例伴斑点状、条状钙化,6例边界清晰,1例前上纵隔病灶与主动脉弓宽基地相连、分界欠清,1例右侧盆腔病灶与腰大肌分界欠清。病灶最大径3.3~8.5 cm(平均6.1 cm),2例颈动脉鞘旁及1例肺门旁病灶最大径均 < 5.0 cm,余5例最大径均>5.0 cm,且发生在腹盆腔者相对较大。增强扫描6例中,5例明显强化(图 2b,2c),1例中度强化(图 1b,1c)。4例均匀强化(图 1b,1c);2例不均匀强化(图 2b,2c),静脉期及延迟期病灶内部低密度灶显示明显。4例病灶周围见强化血管影(图 1b)。6例动脉期中度或明显强化、静脉期持续强化呈速升持续上升型或动脉期明显强化、静期强化略下降呈速升缓降型。
![]() |
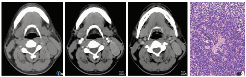
| 图 1 男,27岁,左侧颈部局限型透明血管型Castleman病(CD) 图1a CT平扫,示左侧颈动脉鞘旁(Ⅱ区)椭圆形肿块,边界清,CT值52 HU 图1b 动脉期呈均匀中度强化,CT值87 HU,边缘见血管影 图1c 静脉期呈持续均匀中度强化,CT值86 HU 图1d 病理示中心血管玻璃样变性,周围淋巴细胞呈同心圆状排列,并见小血管长入生发中心(HE×200) |
![]() |
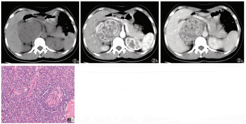
| 图 2 女,25岁,右侧腹膜后局限型透明血管型CD 图2a CT平扫,示右侧腹膜后类圆形肿块,部分边界欠清,密度不均,见斑片状低密度灶,推压周围结构 图2b 动脉期呈不均匀明显强化 图2c 静脉期呈不均匀明显强化,强化程度较动脉期略减低 图2d 病理示中心血管玻璃样变性,周围淋巴细胞呈同心圆状排列,并见大量毛细血管增生(HE×200) |
多中心型CD 2例,男女各1例。1例透明血管型发生在双侧腋窝、腹膜后及双侧腹股沟多部位淋巴结,合并双侧胸腔、心包及腹腔内积液,增强扫描示增大淋巴结呈均匀轻中度强化;1例浆细胞型发生在双侧肺门及纵隔淋巴结,合并双肺散在分布边界模糊的斑片状阴影及多发小结节,增大淋巴结均呈多发、类圆形、边缘清楚的软组织结节,直径1~2 cm。
2.2 病理结果10例中,透明血管型9例,病理示增生的淋巴组织内散在分布大小不一的淋巴滤泡,滤泡生发中心小,滤泡内血管增生明显伴玻璃样变,滤泡中心淋巴细胞呈同心圆状排列,滤泡间区内见大量毛细血管增生,并见数量不等的浆细胞、嗜酸性粒细胞、组织细胞浸润(图 1d,2d)。浆细胞型1例,病理示滤泡生发中心正常或增大,滤泡间无明显毛细血管增生,有大量浆细胞浸润。
3 讨论 3.1 临床特征CD可能与慢性抗原刺激、慢性炎性反应、病毒感染、免疫缺陷或药物等引起的反应性淋巴组织异常增生有关;可发生在任何部位的淋巴结,以纵隔多见,其次为颈部、腹部(包括腹膜后及盆腔)、腋部;病理上分为透明血管型、浆细胞型和混合型;临床上分为局限型或单中心型CD和弥漫型或多中心型CD 2种类型,两者在生物学和病理学方面完全不同[1-3]。临床上局限型最常见(占90%以上),90%为透明血管型,多见于30~40岁女性,以无症状单发肿块为主要表现,也可因体检或其他疾病检查时被发现,切除预后良好;多中心型少见,约占10%,多为浆细胞型,中位年龄约50岁,患者年龄较局限型大,常为多部位淋巴结肿大,并伴发热、乏力、体质量减轻、肝大脾大及实验室检查异常,或POEMS综合征,同时也可累及肺部,治疗以放化疗和免疫抑制为主,预后不良,易复发或发展成恶性淋巴瘤、浆细胞瘤或卡波西肉瘤等[1-12]。
3.2 CT表现CD的CT表现与临床及病理分型密切相关,结合文献总结其CT表现如下。
3.2.1 局限型CD局限性CD常表现为孤立的软组织肿块,呈圆形、类圆形,边缘多光整,边界多清,可伴周围同一淋巴链区域淋巴结增大;肿块大小不一,最大径一般>3.0 cm,发生于腹、盆腔者肿瘤体积常较大,最大径多>5.0 cm,可压迫邻近结构使之移位[6-10]。病灶密度多均匀,极少伴出血及坏死,但可出现低密度区及钙化,尤其体积较大者可见灶状或条状低密度区,病理上与淋巴滤泡透明样变、较多平行走行的纤维组织或胶样囊变有关,并非缺血坏死。文献[10]报道31%的CD病灶可发生钙化,分支状、斑点状钙化是CD钙化的特征性表现,其病理基础为中央区增生的小血管主干及其分支管壁玻璃样变性或退变致钙质沉着。增强扫描多呈均匀明显强化,少数因变性、囊变或坏死而呈不均匀强化,动脉期少部分病灶强化与主动脉强化高峰时间一致,其高强化的特点与病理上透明血管型病变组织内有较多的供养血管、大量毛细血管异常增生和扩张有关。动脉期肿块边缘部可见丰富的强化血管影,亦为其特征性表现。本组行CT增强扫描6例中4例(66.7%,4/6)出现粗大供血血管。
3.2.2 多中心型CD弥漫型CD常累及多部位多组淋巴结,CT表现为多部位多发的淋巴结增大,直径常小于局限型,密度均匀,边界清楚,无融合趋势,部分边缘模糊浸润周围脂肪组织[11]。强化程度一般较透明血管型低,多呈轻中度强化,并有延时强化的特点,与病理上浆细胞型增生的血管较少有关,也有文献[10-12]报道可呈明显强化,病理示组织内小血管增多。累及肺实质时CT主要表现为磨玻璃样病灶、边缘模糊并呈小叶中心性分布的小结节、支气管血管束增厚、小叶间隔增厚及薄壁肺气囊,病理学表现为淋巴细胞性间质性肺炎,主要为大量淋巴细胞和浆细胞在肺实质内浸润[13]。
3.3 鉴别诊断 3.3.1 局限型CD主要与以下疾病鉴别:①淋巴结结核,结核性淋巴结肿大,边界多不清楚,中心常见干酪样坏死,多呈环形强化;临床多有结核中毒症状。②神经鞘瘤,多沿神经走行分布,边缘清楚,常伴坏死囊变,位于脊柱旁可呈典型哑铃状,亦可有明显强化,但强化程度多低于CD。③副神经节瘤,包括颈动脉体瘤及异位嗜铬细胞瘤,两者血供丰富,增强扫描明显强化,多见囊变坏死;颈动脉体瘤,多位于颈动脉分叉处,造成颈内外动脉分离移位,而异位嗜铬细胞瘤常伴阵发性高血压及实验室检查异常。④良性胸腺瘤,多为边界清晰的前纵隔肿块,可呈分叶状,多偏向一侧生长,增强扫描呈中等或明显强化,可出现钙化、坏死及囊变,临床可伴重症肌无力表现。⑤腹部富血供肉瘤,较大时可发生坏死,多侵犯邻近结构,较小时与CD鉴别困难。
3.3.2 多中心型CD主要与以下疾病鉴别:①淋巴结转移,患者年龄常较大,有原发肿瘤,多发肿大淋巴结多伴坏死及融合,增强扫描呈中度或环形强化,侵犯或包绕邻近结构。②淋巴瘤,多发肿大淋巴结,密度多均匀,多融合成肿块,多呈均匀轻中度强化,强化程度不如多中心型CD。③结节病,仅累及胸部的多中心型CD与结节病鉴别困难,但多中心型CD常有全身症状,而结节病相对罕见。
总之,典型的CD常为局限型,病理多为透明血管型,其CT表现具有特征性,且与病理特点密切相关,常表现为孤立的圆形或类圆形肿块,边界多清晰,密度多均匀,可见分支状、斑点状钙化,多呈均匀明显强化,动态增强扫描多呈持续强化,且肿块边缘多见强化血管影;多中心型CD少见,病理多为浆细胞型,常表现为多部位多发的淋巴结增大,边界清楚,无融合趋势,多呈轻中度强化,也可明显强化,且有延迟强化特点,可伴发热、乏力等全身症状及肺实质浸润表现。CT检查对CD具有较高诊断价值,但不典型的CD有赖于病理确诊。
| [1] |
Madan R, Chen JH, Trotman-Dickenson B, et al. The spectrum of Castleman's disease:mimics, radiologic pathologic correlation and role of imaging in patient management[J]. Eur J Radiol, 2012, 81: 123-131. DOI:10.1016/j.ejrad.2010.06.018 |
| [2] |
李佩玲, 常妙, 刘婷韩, 等. 巨淋巴结增生症的多层螺旋CT表现[J]. 中华放射学杂志, 2013, 47(1): 64-67. DOI:10.3760/cma.j.issn.1005-1201.2013.01.015 |
| [3] |
Sun X, Liu C, Wang R, et al. The value of MDCT in diagnosis of hyaline-vascular Castleman's diseas[J]. Eur J Radiol, 2012, 81: 2436-2439. DOI:10.1016/j.ejrad.2011.05.024 |
| [4] |
包婕, 徐耀, 王希明, 等. CT增强扫描在鉴别Castleman病病理类型中的价值研究[J]. 临床放射学杂志, 2017, 36(3): 374-377. |
| [5] |
王仁贵, 霍萌, 王丹丹, 等. 胸腹部局限性Castleman病CT征象分析[J]. 中华放射学杂志, 2010, 44(11): 1161-1166. DOI:10.3760/cma.j.issn.1005-1201.2010.11.012 |
| [6] |
姜天娇, 杨青, 李伟, 等. 腹部局限性透明血管型Castleman病的MDCT表现[J]. 临床放射学杂志, 2015, 34(5): 739-742. |
| [7] |
李小荣, 钱民, 李向东, 等. 腹部透明血管型Castleman病的CT表现[J]. 实用放射学杂志, 2018, 34(9): 1390-1392. DOI:10.3969/j.issn.1002-1671.2018.09.020 |
| [8] |
伏平友, 袁建华, 武国华. 纵隔局限性透明血管型Castleman病MSCT诊断价值[J]. 医学影像学杂志, 2017, 27(7): 1394-1396. |
| [9] |
聂丹, 郭亮, 吴玉锦. 局灶性Castleman病的CT诊断与鉴别诊断[J]. 医学影像学杂志, 2017, 27(9): 1705-1708. |
| [10] |
姜天娇, 李伟, 丁兆艳, 等. 胸部Castleman病的MSCT表现[J]. 实用放射学杂志, 2018, 34(2): 207-210. DOI:10.3969/j.issn.1002-1671.2018.02.011 |
| [11] |
赵爽, 万影, 黄子星, 等. 多中心型Castleman病的CT表现特征及其病理学基础[J]. 放射学实践, 2018, 33(3): 299-303. |
| [12] |
胡晓明, 姚军, 夏进东. 多中心型Castleman病(浆细胞型)一例[J]. 临床放射学杂志, 2014, 33(12): 1877-1878. |
| [13] |
强军, 陈殿森, 陈岚, 等. 巨大淋巴结增生症肺部CT表现[J]. 中国医学影像技术, 2018, 34(3): 358-361. |
2019, Vol. 17




