| 胸部孤立性纤维瘤的CT表现 |
2. 江苏省苏北人民医院影像科,江苏 扬州 225000
孤立性纤维瘤(solitary fibrous tumor,SFT)是一种梭形软组织肿瘤,主要由成熟的成纤维细胞和纤维细胞构成,表达CD34树突状间叶细胞,临床较罕见,好发于脏层胸膜,也可发生于纵隔、肺、肝、肾、眼眶、腮腺、腹腔、前列腺等各个部位,大部分为良性[1]。回顾性分析江苏省苏北人民医院2011年7月至2015年10月收治的10例SFT的CT表现特征,以提高对该病的认识及术前诊断准确率。
1 资料与方法 1.1 一般资料10例中,男7例,女3例;年龄35~80岁,平均56岁。胸闷不适2例,2例咳嗽及胸痛15 d,2例左胸部不适1个月,1例胸痛1个月,3例体检发现胸部肿块。手术病理确诊7例,余3例均行CT引导下穿刺病理活检确诊。
1.2 仪器与方法7例行CT平扫,10例均行增强扫描。采用GE Lightspeed 64层螺旋CT机,扫描参数:120 kV,115 mA,扫描时间0.75 s/r,层厚5 mm,螺距1.375,ROI局部行1.25 mm薄层重组。扫描范围自胸廓入口水平至膈肌顶部,一次屏气扫描全胸。自肘前静脉用双筒高压注射器注射碘海醇(300 mgI/mL)90 mL,流率2.5 mL/s。患者取仰卧位,吸气末屏气,自胸廓入口至肺底连续扫描。
1.3 图像分析由2位高年资胸部放射诊断医师阅片,采用肺窗(窗位-500 HU,窗宽1 200 HU)、纵隔窗(窗位50 HU,窗宽400 HU)观察病变部位、形态、大小、密度、边缘、强化表现,病变周围继发改变、纵隔大血管等情况并记录,意见不一致时通过讨论达成一致。
2 结果 2.1 肿瘤部位及大小10例均为原发灶,9例单发,1例多发。1例多发病灶位于左侧胸膜、胸壁。9例单发病灶中,1例位于纵隔内主动脉弓旁,2例位于胸腔内(肺内),6例位于胸膜下,4例位于右侧,均位于右肺胸膜或胸壁处;5例位于左侧,其中1例位于左肺近胸膜处,1例位于左肺胸腔内,3例位于左肺胸膜或胸壁处。肿块长径1.0~15.6 cm,平均(7.4±5.4)cm。肿块边缘均光整,无毛刺,2例有分叶。
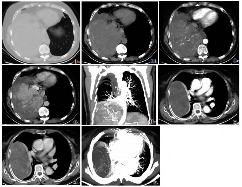
2.2 CT表现10例中7例行CT平扫,2例密度不均;2例伴低密度区,边缘CT值42~71 HU,平均(56.5±20.5)HU,中央CT值21~30 HU,平均(25.5±6.36)HU;其余3例呈软组织密度肿块,CT值35~61 HU,平均(42.0±10.5)HU。10例行CT增强扫描,4例较大病灶(直径>10 cm)不均匀强化,其内可见血管影,呈“肿瘤包绕血管征”,即肿块内有穿行的血管影(图 1),其中2例伴低密度区及边缘强化区(图 2),低密度区轻度强化,动脉期CT值11~40 HU,平均(22.3±15.5)HU,静脉期CT值7~48 HU,平均(25.3±20.8)HU;边缘明显强化,CT值103 HU。其余6例较小病灶(直径 < 5 cm)表现为均匀强化,动脉期CT值38~70 HU,平均(54.5±14.6)HU,静脉期CT值63~80 HU,平均(68.0±8.12)HU。3例伴胸腔积液(图 1)。
![]() |
| 图 1 女,55岁,因间断胸闷、胸痛半年,伴咳嗽15 d入院 图 1a,1b CT平扫肺窗及纵隔窗示右侧胸腔一巨大实性占位性病变,与胸膜呈宽基底相连,边界较清,伴右侧胸腔积液 图 1c,1d 分别为增强扫描动脉期及静脉期示肿块内部不均匀强化,其内见血管影 图 1e MIP冠状位示肿块邻近纵隔及胸椎,体积巨大,呈“肿瘤包绕血管征”,压迫邻近肺组织造成局部肺不张 图 2 男,61岁,因咳嗽伴左侧胸痛1周入院 图 2a,2b 分别为增强扫描动脉期及静脉期示病灶横跨右肺上叶及中叶,边界清晰,肿块内部强化欠均匀,边缘明显强化,其内伴少许小片状低密度影,未见明显强化 图 2c MIP轴位可见较大肿块内见穿行血管影,呈典型“肿瘤包绕血管征” |
3 讨论
SFT是一种软组织肿瘤,临床少见,约占所有软组织肿瘤的0.6%[2],大多数为良性,临床症状轻微,多起源于脏层胸膜,且向胸膜腔内生长[3]。本组均为良性,与文献[4]报道相符。但黏液样变性、坏死、出血、囊变及肿瘤直径较大(>10 cm)时提示病变可能为恶性[5]。本组2例伴大片低密度区,主要与肿瘤组织内坏死囊变或黏液样变性有关,具有恶性倾向。SFT多发生在6~70岁,无性别差异[6]。本组年龄35~80岁,平均56岁,男7例,女3例。男性患者略多于女性,与文献有所差异。SFT多数早期无临床症状,常在体检时发现,生长缓慢,胸腹腔肿块较大时会产生相应的压迫症状[7],但很少伴低血糖、肺性肥大性骨关节病等症状[8]。本组出现明显临床症状者经CT检查病灶均较大,未发现低血糖等症状,符合文献报道。SFT一般为单发,偶尔多发[9]。本组9例单发,1例多发,与文献报道相符。在组织病理学上,多数学者[8]认为免疫组化Vimentin、CD99、BCL-2、CD34表达阳性对诊断孤立性纤维瘤有较高特异性。
SFT的CT特点:①肿块大多为单发,可有分叶征但无毛刺征,本组最小直径仅1.0 cm,本研究发现,孤立性纤维瘤与肿块大小并无显著相关性。②位于胸膜比肺内多,与文献[10]报道相符。大部分肿瘤呈宽基底与胸膜相连[11]。本组8例肿块与文献报道相符。③增强扫描肿块可同时伴轻度强化低密度区及边缘强化区:本组4例中2例伴低密度区及边缘强化,低密度区轻度强化,边缘明显强化,肿块边缘明显强化可能与肿瘤的纤维组织包膜血供丰富有关[10]。刘春玲等[11]报道良性SFT坏死少见。本组2例发现坏死区,与组织变性坏死有关。6例较小肿块(直径 < 5 cm)表现为均匀强化,表明瘤组织成分较均一,无明显囊变坏死区且血管较少。4例较大病灶(直径>10 cm)呈不均匀强化方式,且呈“肿瘤包绕血管征”[12],其余较小病灶(直径 < 5 cm)呈均匀强化方式。笔者认为病灶大小与其强化方式可能存在一定关系,以往文献[13]也有类似结果,但本组例数较少,有待循证医学进一步证实。④文献[9]报道部分SFT可有钙化,本组未发现。⑤文献[14]报道SFT蒂的出现率较低,且在CT上很难显示,大多是手术病理切除发现。⑥MSCT三维重建有助于观察肿瘤与周围组织的关系,可见巨大肿瘤压迫肺组织导致肺不张[15-16]。⑦本组SFT的CT表现具有良性肿瘤的特点,边界较清,肺癌多表现为大小不一的肿块,可有毛刺征,并伴纵隔及肺门淋巴结肿大,可依此与肺癌相鉴别。
鉴别诊断:①胸膜间皮瘤。SFT与石棉接触无关,而胸膜间皮瘤以老年男性多见,多有石棉接触史[17];CT表现为多发的胸膜结节或胸膜弥漫增厚,强化多不均匀[18]。②胸膜转移瘤。发生于胸膜的SFT需与胸膜转移瘤鉴别。胸膜转移瘤大多有原发肿瘤病灶,侵犯胸壁形成软组织肿块,易侵犯肋骨导致骨质破坏。③胸壁神经源性肿瘤。囊变坏死较SFT多见。④肺原发性平滑肌瘤。多为单发边缘光整的肿块,多无分叶征,增强扫描多表现为不明显强化,少数有假包膜[19]。
本研究例数较少,结果有一定局限性,但笔者认为中老年患者发现肺内或胸膜下单发肿块或结节,未向周围组织侵犯,较大者(直径>10 cm)增强扫描强化不均匀,呈“肿瘤包绕血管征”,同时伴轻度强化的低密度区或边缘强化区,可有分叶征或胸腔积液,需考虑SFT可能,但确诊仍需组织病理学检查。
| [1] |
Tanaka M, Sawai H, Okada Y, et al. Malignant solitary fibrous tumor originating from the peritoneum and review of the literat-ure[J]. Med Sci Monit, 2006, 12: 95-98. |
| [2] |
Ginat DT, Bokhari A, Bhatt S, et al. Imaging features of solitary fibrous tumors[J]. AJR Am J Roentgenol, 2011, 196: 487-495. DOI:10.2214/AJR.10.4948 |
| [3] |
Magdeleinat P, Alifano M, Petino A, et al. Solitary fibrous tumors of the pleura:clinical characteristics, surgical treatment and out-come[J]. Eur J Cardiothorac Surg, 2002, 21: 1087-1093. DOI:10.1016/S1010-7940(02)00099-4 |
| [4] |
Cardinale L, Ardissone F, Garetto I, et al. Imaging of benign sol-itary fibrous tumor of the pleura:a pictorial essay[J]. Rare Tum-ors, 2010, 2: e1. DOI:10.4081/rt.2010.e1 |
| [5] |
Song SW, Jung JI, Lee KY, et al. Malignant solitary fibrous tumor of the pleura:computed tomography pathological correlation and comparison with computed tomography of benign solitary fibrous tumor of the pleura[J]. Jpn J Radiol, 2010, 28: 602-608. DOI:10.1007/s11604-010-0484-3 |
| [6] |
Robinson LA. Solitary fibrus tumor of the pleura[J]. Cancer Co-ntrol, 2006, 13: 264-269. DOI:10.1177/107327480601300403 |
| [7] |
王汉杰, 夏淦林, 丁勇生, 等. 孤立性纤维性肿瘤的CT诊断与鉴别诊断[J]. 中国医学计算机成像杂志, 2013, 19(6): 504-508. |
| [8] |
郑畸丽, 杨有优, 王思云, 等. 胸膜孤立性纤维瘤多层螺旋CT诊断[J]. 实用放射学杂志, 2009, 25(2): 184-186. |
| [9] |
闫卫强, 白建军, 井勇, 等. 胸部孤立性纤维瘤影像诊断及其病理基础[J]. 实用放射学杂志, 2012, 28(4): 527-529. |
| [10] |
孙宗琼, 岳建国, 谈旭东, 等. 肺孤立性纤维瘤CT征象及病理对照分析[J]. 中华放射学杂志, 2012, 46(5): 464-465. |
| [11] |
刘春玲, 张水兴, 张金娥, 等. 探讨CT对良恶性胸膜孤立性纤维性肿瘤鉴别的诊断价值[J]. 中华放射学杂志, 2012, 46(9): 789-792. |
| [12] |
李新春, 钱元新, 曾庆思, 等. 胸膜孤立性纤维瘤的影像学表现及误诊原因分析[J]. 中国医学影像技术, 2009, 25(2): 254-256. |
| [13] |
周晖, 刘进康, 熊曾, 等. 胸部孤立性纤维瘤的CT诊断[J]. 实用放射学杂志, 2008, 24(3): 316-319. |
| [14] |
Rosado-de-Christenson ML, Abbott GF, Mc Adams HP, et al. From the archives of the afip:Localized fibrous tumor of the pleura[J]. Radiographics, 2003, 23: 759-783. DOI:10.1148/rg.233025165 |
| [15] |
姚洪祥, 张金山, 自友贤, 等. 胸膜孤立性纤维瘤的CT表现[J]. 中国医学影像学杂志, 2006, 14(6): 406-409. |
| [16] |
Usami N, Iwano S, Yokoi K. Solitary fibrous tumor of the pleu-ra:evaluation of the origin with 3D CT angiography[J]. J Tho-rac Oncol, 2007, 2: 1124-1125. DOI:10.1097/JTO.0b013e31815ba277 |
| [17] |
孟宇宏, 张建中. 肺、胸膜、胸腺及心脏肿瘤病理学和遗传学[M]. 北京: 人民卫生出版社, 2006, 162-165.
|
| [18] |
朱伟华, 单康飞, 黄朝晖, 等. 胸腹部孤立性纤维瘤的CT诊断及鉴别[J]. 医学影像学杂志, 2014, 24(6): 942-945. |
| [19] |
孙宗琼, 陈林, 贺锋, 等. 肺原发性平滑肌瘤CT征象及病理对照分析[J]. 中华放射学杂志, 2013, 47(9): 805-807. |
2018, Vol. 16



