| 膝关节树枝状脂肪瘤与色素沉着绒毛结节滑膜炎的MRI表现 |
膝关节树枝状脂肪瘤与色素沉着绒毛结节滑膜炎是由多种因素导致的滑膜慢性反应性增生疾病, 均属于肿瘤样病变, 而非真正的肿瘤[1-2]。膝关节树枝状脂肪瘤是一种少见的关节内病变, 国内外文献[3-4]报道例数不多。回顾性分析2010年2月至2018年5月我院经手术病理证实的15例膝关节树枝状脂肪瘤与色素沉着绒毛结节滑膜炎的临床及MRI资料, 以提高对这2种疾病的诊断和鉴别诊断能力。
1 资料与方法 1.1 一般资料本组15例。树枝状脂肪瘤5例, 男3例, 女2例; 年龄15~55岁, 平均40.5岁; 左膝关节3例, 右膝关节2例。色素沉着绒毛结节滑膜炎10例, 男7例, 女3例; 年龄11~76岁, 平均52.3岁; 左膝关节7例, 右膝关节3例。树枝状脂肪瘤主要临床表现为无痛性关节肿胀, 无活动受限, 血沉及血C-反应蛋白(CRP)未见明显升高。10例色素沉着绒毛结节滑膜炎均出现不同程度的关节肿痛, 6例轻度活动受限, 血沉及血CRP均不同程度升高。
1.2 仪器与方法15例均行MRI检查, 其中4例色素沉着绒毛结节滑膜炎同时行MRI增强扫描。采用GE Signa HDxt 3.0 T MRI扫描仪, 膝关节线圈。膝关节扫描序列及参数:矢状位T1WI-FSE TR 400~500 ms, TE 8~10 ms; 矢状位和冠状位FS-PDWI TR 2 100~2 500 ms, TE 30~80 ms; 横轴位FS-T2WI 2 100~2 500 ms, TE 70~80 ms; 层厚4 mm, FOV 180 mm×180 mm。增强扫描经肘静脉注射Gd-DTPA, 浓度0.5 mmol/mL, 剂量0.1 mmol/kg体质量, 行横轴位、矢状位和冠状位脂肪饱和T1WI(FS-T1WI)扫描, TR 400~500 ms, TE 8~10 ms。
1.3 图像分析所有图像均由2名具有高级职称的骨肌系统影像科医师共同分析, 记录滑膜病变部位、病变形态及MRI信号、伴随征象(如关节面软骨及关节面下骨质改变、韧带及肌腱是否受累、关节外肌肉组织是否侵犯、关节腔积液等), 意见分歧时经协商取得统一意见。
2 结果 2.1 滑膜病变部位将关节滑膜腔划分为髌上囊、内侧间室、外侧间室、髌下囊及后室5个区域。5例树枝状脂肪瘤共累及16个区域, 5例均累及髌上囊, 且以髌上囊最为显著; 其他累及部位包括髌下囊4例, 内侧间室及外侧间室各3例, 后室1例。10例色素沉着绒毛结节滑膜炎共累及40个区域, 10例均累及髌上囊和髌下囊, 内侧间室及外侧间室受累各7例, 后室受累6例。
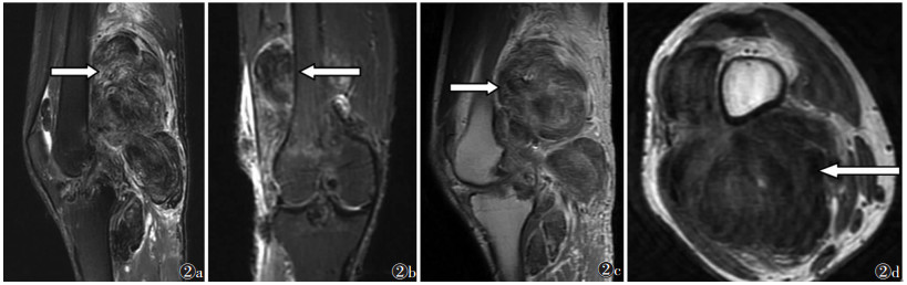
2.2 滑膜病变形态及MRI信号5例树枝状脂肪瘤患者滑膜肥厚、呈树枝或海草样弥漫性增生, T1WI呈等信号、FS-T2WI等或稍高信号, 增生肥厚滑膜内见多发类圆形或类椭圆形、与皮下脂肪层一致的T1WI呈高信号、FS-T2WI低信号(图 1)。10例色素沉着绒毛结节滑膜炎滑膜肥厚呈绒毛或结节样弥漫增生, T1WI呈等或低信号、T2WI呈低信号, 增强扫描明显不均匀强化; 增生滑膜内可见T1WI及FS-T2WI均呈低信号的含铁血黄素结节, 增强扫描在强化滑膜衬托下呈低信号(图 2a~2c)。
![]() |
| 图 1 男, 31岁, 树枝状脂肪瘤 图1a~1d 分别为矢状位FS-T2WI、矢状位T1WI、冠状位压脂T2WI及横断位FS-T2WI图像, 滑膜肥厚呈树枝或海草样弥漫性增生, T1WI呈等信号、FS-T2WI等或稍高信号, 增生肥厚滑膜内见多发类圆形或类椭圆形与皮下脂肪层一致的T1WI高信号、FS-T2WI低信号 |
![]() |
| 图 2 男, 31岁, 色素沉着绒毛结节滑膜炎 图2a~2d 分别为矢状位FS-T2WI、冠状位FS-T2WI、增强矢状位T1WI及横断位T1WI图像, 增生滑膜内出现绒毛、结节状T1WI等或低信号, T2WI呈低信号含铁血黄素沉着, 增强扫描含铁血黄素结节在强化滑膜衬托下呈低信号, 病变跨关节滑膜囊内外生长, 同时伴关节面软骨、软骨下骨浸润及骨髓水肿 |
2.3 伴随表现
2例树枝状脂肪瘤增厚滑膜侵蚀关节面软骨, 致关节面不光整、稍毛糙, 局部关节面下骨质见斑片状T1WI呈低信号、FS-T2WI高信号软骨下骨损伤表现。7例色素沉着绒毛结节滑膜炎均出现不同程度的关节面软骨及软骨下骨浸润, 关节面毛糙、不光整, 关节面凹陷, 伴结节状、T1WI及FS-T2WI均呈低信号的含铁血黄素结节, 部分结节与滑膜相连, 结节边缘见少许条片状T1WI呈低信号、FS-T2WI高信号骨髓水肿表现(图 2d)。15例均出现不同程度关节囊内积液, 5例色素沉着绒毛结节滑膜炎患者同时伴腘窝积液, 积液范围与增生肥厚滑膜分布一致。
3 讨论 3.1 概述树枝状脂肪瘤是一种少见的关节滑膜病变, 又称滑膜脂肪瘤病。文献[5]报道, 树枝状脂肪瘤虽称脂肪瘤, 但并非真正的肿瘤。病理学上由滑膜下增生的脂肪和堆积的肿胀绒毛突出物构成, 无法与其他滑膜下堆积的脂肪鉴别, 唯一不同是大体标本有叶状的外观且体积大[6]。树枝状脂肪瘤病因及机制并不明确, 目前主要有以下2种学说:滑膜炎症长期慢性刺激[7]及脂肪代谢异常过度堆积[6]。本组以中青年为主, 无明显肥胖体征, 以无痛性关节肿胀为主要症状, 无明显疼痛、活动受限等慢性关节炎症症状, 且血沉及CRP等炎症指标亦无明显升高, 故不支持以上2种病因学说, 更倾向于病因不明的原发树枝状脂肪瘤。
色素沉着绒毛结节滑膜炎是一种不常见的良性关节滑膜增生性炎性疾病, 但其同时具有类似肿瘤特征的易复发特点。病理学主要改变为受累关节滑膜组织过度增生和结节表面的含铁血黄素沉积[8]。本病病因尚未阐明, 目前主要有炎症、肿瘤、关节创伤出血及变态反应等学说, 部分文献[9]报道其具有炎症及肿瘤双重特性。本组色素沉着绒毛结节滑膜炎患者平均年龄为52.3岁, 6例有不同程度疼痛、活动受限等慢性关节炎症状, 血沉及血CRP等指标异常升高, 支持炎症说法。本组5例病变在关节滑膜囊内浸润生长并向外突破腘窝等关节周围组织, 具有一定肿瘤侵蚀性生长特征。因此, 笔者认为其具有炎症及肿瘤双重特性。
3.2 MRI表现树枝状脂肪瘤MRI主要表现为树枝状、海草样增生的滑膜, 可见与皮下脂肪信号一致的成熟脂肪组织信号, 随着疾病进展可出现关节面软骨及软骨下骨损伤、关节滑膜囊积液等改变。本组树枝脂肪瘤MRI均可见增生滑膜内结节状成熟脂肪组织。
色素沉着绒毛结节滑膜炎主要病理变化是滑膜结节内广泛的毛细血管增生、出血导致含铁血黄素沉积, T1WI呈等或低信号, T2WI呈低信号, 这也是其MRI特征性表现[10]。本组均有此表现。另外, 色素沉着绒毛结节滑膜炎还有骨质侵蚀、关节滑膜囊积液等伴随症状。
3.3 鉴别诊断 3.3.1 树枝状脂肪瘤与色素沉着绒毛结节滑膜炎的鉴别诊断两者均为滑膜病变, 前者可见树枝状、海草样增生的滑膜, MRI表现为与皮下脂肪信号一致的成熟脂肪组织信号, 后者MRI上增生滑膜内可见含铁血黄素沉积; T1WI呈等或低信号、T2WI呈低信号这是两者最主要的鉴别诊断点。本组色素沉着绒毛结节滑膜炎出现向外突破腘窝等关节周围表现, 而树枝状脂肪瘤无明显关节周围累及表现, 表明前者有跨关节滑膜囊内外的肿瘤性生长特性, 此为两者鉴别诊断点之一。滑膜增生形态、关节囊积液、骨质侵蚀等在这2种疾病中无明显差异, 故不能作为鉴别诊断点。
3.3.2 与其他滑膜增厚病变的鉴别① 滑膜骨软骨瘤病滑膜增厚一般增厚不明显, 相邻关节面亦无破坏, 关节滑膜腔内外可见“关节鼠”, 在T1WI上见钙化、游离体内见高信号脂肪组织对诊断具有意义。②关节结核骨质疏松明显, 主要累及关节的非承重面, 滑膜内也无含铁血黄素沉着, 可见低信号无强化的干酪样坏死灶。③类风湿关节炎好发于女性, 常伴类风湿因子阳性及手掌指小关节受累, 骨质普遍疏松。④血友病常出现关节内出血刺激滑膜引起炎症反应, 但不伴滑膜结节样增生, 可见含铁血黄素沉着于关节囊滑膜内壁, 结合血液学检查、多脏器受累等临床表现, 可鉴别。
综上所述, MRI具有良好的软组织分辨力, 能直观显示滑膜病变形态及范围、病变信号特征、骨侵蚀程度及关节周围组织受侵犯的范围。增生滑膜内脂肪成分、含铁血黄素的MRI信号差异及是否跨关节滑膜囊内外生长对树枝状脂肪瘤与色素沉着绒毛结节滑膜炎的鉴别诊断具有重要意义。
| [1] |
Bessette PR, Cooley PA, Johnson RP. Gadolinium-enhanced MRI of pigmented villonodular synovitis of the knee[J]. J Comput Assist Tomogr, 1992, 16: 992-995. DOI:10.1097/00004728-199211000-00033 |
| [2] |
刘年元, 陈友兰, 何小鹏, 等. 膝关节树枝状脂肪瘤的MRI诊断[J]. 实用放射学杂志, 2012, 28(12): 1248-1250. |
| [3] |
Kim RS, Kim YT, Choi JM, et al. Lipoma arborescens associ-ated with osseous/chondroid differentiation in subdeltoid bursa[J]. Int J Shoulder Surg, 2013, 7: 116-119. DOI:10.4103/0973-6042.118916 |
| [4] |
任富继, 赵力, 王瑞林, 等. 膝关节滑膜脂肪瘤病的诊断与治疗[J]. 中华骨科杂志, 2009, 29(6): 539-543. DOI:10.3760/cma.j.issn.0253-2352.2009.06.006 |
| [5] |
Park H, Park S, Park C. MRI findings of synovial lipoma ar-bo rescens of the hip:a case report[J]. Korean Soc Radiol, 2010, 63: 561-564. DOI:10.3348/jksr.2010.63.6.561 |
| [6] |
Khodaee M, Roy D, Vanbaak K. An unusual knee mass in a soccer player[J]. Asian J Sports Med, 2014, 5: e23187. |
| [7] |
Chae EY, Chung HW, Shin MJ. Lipoma arborescens of the glenohumeral joint causing bone erosion:MRI features with gado-linium enhancement[J]. Skeletal Radiol, 2009, 38: 815-818. DOI:10.1007/s00256-009-0686-x |
| [8] |
Boualis H, Depert EJ, Leventhal LJ, et al. Pigmented Villo-nodular Synovitis:a disease in evolution[J]. Rheumatol, 2004, 31: 16591662. |
| [9] |
陈志刚, 杨广夫, 郭琪, 等. 关节病影像诊断学[M]. 西安: 陕西科学技术出版社, 1999: 282-286.
|
| [10] |
Garner HW, Ortiguera CJ, Nakhleh RE. Pigmented villonodular synovitis[J]. Radiographics, 2008, 28: 1519-1523. DOI:10.1148/rg.285075190 |
2019, Vol. 17




