| MRI平扫及动态增强扫描对肾透明细胞癌的诊断价值 |
肾透明细胞癌(renal clear cell carcinoma,RCCC)占肾癌的65%~80%[1],在肾脏恶性肿瘤中最常见。但若对其影像表现认识不足,仍易发生误诊。收集我院2011年6月至2016年1月经手术及穿刺病理证实的31例(33个病灶)RCCC,对其MRI表现进行回顾性分析,旨在进一步提高对该病的认识。
1 资料与方法 1.1 一般资料31例中,男16例,女15例;年龄33~77岁,中位年龄62岁。就诊原因:血尿4例,腰痛10例,因发现肺内转移灶而寻找原发灶者2例,无明显泌尿系统症状者15例。
1.2 仪器与方法应用Siemens Espree 1.5 T MRI扫描仪及腹部体线圈行腹部MRI平扫及多期动态增强扫描。扫描范围包括膈顶至双肾下极,检查前禁食、禁水6 h。腹部平扫行横轴位T1WI同、反相位(同相位TR 117 ms,TE 4.76 ms,反相位TR 117 ms,TE 2.4 ms),层厚7 mm,层距3 mm;T2WI(TR 3 800 ms,TE 108 ms),层厚6 mm,层距7 mm;DWI(TR 4 400 ms,TE 90 ms),层厚7 mm,层距3 mm扫描。增强扫描对比剂采用Gd-DTPA,经肘静脉注射,流率2.0 mL/s,剂量0.4 mmol/kg体质量,总剂量≤30 mL。增强扫描分为肾皮质早期、肾皮质晚期、肾实质期和排泄期,扫描开始时间分别为注射对比剂后20、50、100、160 s,其中排泄期扫冠状位。增强扫描层厚3 mm,层距3 mm,均采用脂肪抑制技术。按病灶相对于周围肾组织的信号分为高、等、低信号,并测量病灶大小。
1.3 图像分析由2名高年资影像诊断医师独立完成图像分析,从病灶大小、浸润范围、强化特点及信号特征等方面进行回顾分析及确认,并与病理结果进行对照。意见不一致时,通过商议达成一致。
2 结果 2.1 肿瘤数目、分布、形态及大小31例共33个病灶,其中单侧发病29例,双侧发病2例。病灶位于左肾15个,右肾18个。肿瘤呈圆形、类圆形及不规则形。病灶大小2.2 cm×2.0 cm×2.0 cm~15 cm×13 cm×9 cm。
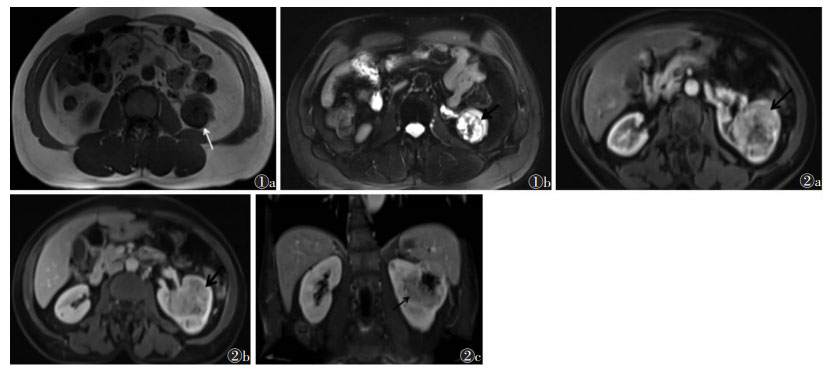
2.2 MRI平扫表现平扫5个病灶呈较均匀的高、等或低信号,28个为高低混杂信号。12个病灶内可见出血信号,6例发生囊变。6个(18.2%)含脂肪信号,T1WI正相位高或稍高信号,T1WI反相位及抑脂T1WI信号降低,在T2WI上呈高或稍高信号4个,等及混杂信号各1个;26个(78.8%)在T1WI、T2WI上于肿瘤边缘可见假包膜,呈环形、半环形低信号带(图 1)。DWI除2个病灶呈低信号外,其余均呈均匀或不均匀高信号。
![]() |
| 图 1 男,51岁,左侧肾下极透明细胞癌(RCCC) 图 1a,1b 分别为T1WI、T2WI图像,病灶T1WI呈等低信号(白箭),T2WI呈不均匀高信号,肿瘤假包膜呈半环形、环形低信号带(黑箭) 图 2 男,78岁,左侧RCCC 图 2a MRI动态增强扫描皮质早期,肿瘤明显强化呈高信号(黑箭) 图 2b 皮质晚期肿瘤内强化信号降低(黑箭) 图 2c 实质期肿瘤内强化信号更低,呈典型的快进快出表现(黑箭) |
2.3 MRI动态增强扫描表现
肿块呈不同程度强化,信号均匀或不均匀。33个病灶在皮质早期(20 s)均明显强化;21个在皮质晚期(50 s)持续强化达到峰值,肾实质期(100 s)病灶内对比剂廓清,信号降低,排泄期(160 s)信号进一步降低;10个在皮质晚期信号降低,肾实质期、排泄期信号更低;2个在皮质晚期呈持续性强化,肾实质期信号达到峰值,排泄期信号降低(图 2)。
2.4 肾外病变31例中,单纯肺转移2例,肾门淋巴结转移伴肾前筋膜转移、后腹膜淋巴结转移伴肺转移,以及脑、肾上腺、骨及纵隔淋巴结转移各1例。
3 讨论 3.1 病理及临床特点肾细胞癌为来源于肾小管上皮细胞的腺癌,其中以RCCC最常见。大部分散发性RCCC为单侧发病,2%~5%可同时或相继发生双侧肾脏或单侧多中心病灶[2]。RCCC大体标本切面多呈实性,因癌细胞含脂质而呈黄色,肿瘤中常见坏死、出血,10%~25%的RCCC癌组织中可有囊变[1]。镜下可见典型的透明细胞,胞浆丰富含胆固醇物质、中性脂肪和磷脂体。
本病多发生于40岁以上,男性多于女性,男女比例(2~3):1,临床以血尿、腰痛和肿块为常见表现,部分患者还可有泌尿系统以外的症状,约20%的患者无症状,在体检时偶然发现[2]。项剑瑜等[3]报道的25例RCCC中10例无症状。本组48.4%(15/31)的患者无明显泌尿系统症状及体征。因此,除需关注无痛性血尿患者有否患肾癌的可能性外,对无临床症状和体征的肾脏占位性病变,同样需要警惕。
3.2 MRI表现RCCC易发生出血、坏死、囊变,MRI平扫示肿瘤信号不均匀。肾癌本身无包膜,当缓慢生长的肿瘤压迫周围肾组织及肿瘤周围纤维组织形成并环绕肿瘤时,T1WI、T2WI表现为围绕肿块的假包膜样低信号环,尤以T2WI明显[4]。赵炳辉等[5]报道38例肾癌中,24例在T2WI上显示完整或不完整的假包膜(63.2%)。本组31例33个病灶中,26个显示假包膜(78.8%),略高于文献报道。关于RCCC MRI出现脂肪信号,文献中很少报道。本组18.2%(6/33)的病灶内可见脂肪信号,在同相位T1WI上呈高或稍高信号,反相位T1WI及抑脂T1WI信号降低,表现较为典型。RCCC含脂质表现可能与肿瘤的组织学特征有关。
MRI动态增强扫描显示RCCC多数血供丰富,对比剂多呈快进快出的强化特点。皮质期肿瘤强化高于、等于或弱于肾皮质,当强化弱于肾皮质而高于肾髓质时,信号对比尤为强烈,约1 min后肿瘤信号达到峰值,实质期肿瘤内信号减低[3-4]。赵炳辉等[5]根据肾癌增强扫描各期相对强化百分比,将肾癌分为富血供和少血供2种类型。富血供肾癌在皮质早期呈明显强化,皮质晚期持续强化,肾实质期强化程度降低。少血供肾癌皮质早期呈轻微强化,皮质晚期较皮质早期强化程度明显,实质期强化程度降低。本组动态增强扫描33个病灶在皮质早期均明显强化;21个病灶在皮质晚期持续强化达到峰值,肾实质期病灶内对比剂廓清,信号降低,排泄期信号更低;10个病灶在皮质晚期、实质期、排泄期信号呈渐进性降低;2个病灶在皮质晚期呈持续性强化,肾实质期信号达到峰值,排泄期信号降低,与文献[5]报道一致。
3.3 鉴别诊断RCCC起病隐匿,临床症状出现晚且无特异性,在实际工作中应与以下病变鉴别。
3.3.1 乏脂肪肾血管平滑肌脂肪瘤(angiomyolipoma,AML)RCCC和AML在肾脏肿瘤中最常见,但治疗及预后截然不同。一般认为,脂肪成分的存在是影像学诊断AML的重要依据[6],但事实上MRI在乏脂肪AML瘤体内见到脂肪信号的不多。张雷等[6]分析了15例乏脂肪AML的MRI表现,6例仅显示少量脂肪信号。而在RCCC患者中也有少数存在脂质成分。本组6个病灶出现脂质信号,其中1例初诊为AML,2年后复查,肿瘤增大,最终证实为RCCC。由此表明,仅依据肿瘤内是否含有脂质信号来鉴别RCCC与AML易造成误诊。复习文献并结合相关经验,笔者认为RCCC在T2WI上呈高或等信号,也可因出血坏死呈混杂信号,很少呈低信号。本组6个含脂肪信号在T2WI上呈高或稍高信号4例,等及混杂信号各1例。而乏脂肪AML在T2WI上呈低信号[6],具有一定的影像特征。此外,RCCC大多可见假包膜(本组发生率78.8%),而AML假包膜发生率仅20%[7]。因此,结合T2WI信号、有无假包膜及肿瘤的强化方式,不难对两者进行鉴别。
3.3.2 乳头状肾细胞癌乳头状肾细胞癌可有瘤内灶状出血、坏死和钙化,大多数在T2WI上呈较均匀的低信号。由于其为少血供肿瘤,因此动态增强扫描肿瘤呈轻度渐进性延迟强化,尤其在皮髓交界期多数肿瘤轻度强化,信号低于肾皮质及肾髓质。而RCCC在T2WI上一般呈高、等或混杂信号,动态增强扫描早期即明显强化,信号低于肾皮质而高于肾髓质,具有一定的鉴别诊断价值。
3.3.3 肾嫌色细胞癌肾嫌色细胞癌多数在T2WI上呈较均匀的稍低信号,部分肿瘤可出现“中央瘢痕”。该肿瘤为少血供肿瘤,MRI动态增强扫描多呈轻中度平台型强化,并可呈现特征性的辐轮样强化[8]。RCCC一般为富血供肿瘤,呈明显快进快出的强化特点。
综上所述,MRI能较好地显示RCCC的影像特征,尤其对肿瘤假包膜的显示有着较大优势;动态增强扫描RCCC呈现快进快出的强化特点。MRI还可清楚显示肿瘤是否侵入血管、局部淋巴结有无转移、周围器官是否受累等。因此,MRI平扫及动态增强扫描对RCCC的诊断、鉴别诊断具有重要的临床价值。
| [1] |
刘蓓蒂, 陈小华, 胡振民. 肾透明细胞癌少见影像学表现及相关病理探讨[J]. 临床放射学杂志, 2011, 30(2): 219-222. |
| [2] |
常冬庆, 王勤章, 丁国富, 等. 肾癌116例临床分析[J]. 中华实用诊断与治疗杂志, 2013, 27(7): 702-703. |
| [3] |
项剑瑜, 刘绪明, 许加峻, 等. 肾透明细胞癌的MRI诊断[J]. 医学影像学杂志, 2010, 20(1): 83-86. |
| [4] |
韩希年, 彭令荣, 刘光华, 等. 肾透明细胞癌的CT、MRI诊断[J]. 中国医学影像技术, 2005, 21(5): 776-778. DOI:10.3321/j.issn:1003-3289.2005.05.037 |
| [5] |
赵炳辉, 陈祖望, 周康荣, 等. MRI动态增强在肾癌诊断中的价值及其检查技术探讨[J]. 中国医学影像技术, 2003, 19(11): 1544-1547. DOI:10.3321/j.issn:1003-3289.2003.11.042 |
| [6] |
张雷, 范林音, 丁国军, 等. 肾脏乏脂肪血管平滑肌脂肪瘤与肾癌的MRI鉴别诊断[J]. 放射学实践, 2013, 28(9): 968-971. DOI:10.3969/j.issn.1000-0313.2013.09.017 |
| [7] |
王海屹, 叶慧义, 袁静, 等. 乏脂肪肾脏血管平滑肌脂肪瘤的MR表现[J]. 中华放射学杂志, 2010, 44(12): 1268-1271. DOI:10.3760/cma.j.issn.1005-1201.2010.12.010 |
| [8] |
陶伟, 王一民, 曹建新, 等. 肾嫌色细胞癌的MRI诊断[J]. 中华实用诊断与治疗杂志, 2013, 27(1): 54-56. |
2018, Vol. 16



