| 急性缺血性脑卒中动脉取栓术后动态颅脑CT图像上高密度影的鉴别 |
2. 山东省卫生健康委员会医疗管理服务中心,山东 济南 250014;
3. 山东省烟台市烟台山医院神经内二科,山东 烟台 264001
急性缺血性脑卒中具有发病率及致残、致死率高的特点,严重危害人类健康。动脉取栓治疗因时间窗较长、血管再通率高,是目前可行性较高的一种治疗方法。但术后颅脑CT图像易出现高密度影,若误判会造成后续治疗上的错误。本研究回顾性分析129例急性缺血性脑卒中患者动脉取栓术后的颅脑CT图像,并对CT图像上的高密度影进行分型,以指导临床医师制订进一步的治疗方案。
1 资料与方法 1.1 一般资料搜集2017年1月至2020年10月在烟台市烟台山医院行动脉取栓术及动态颅脑CT检查的急性缺血性脑卒中患者129例,其中男80例,女49例;年龄27~84岁,平均年龄52岁。高血压患者需术前将血压维持在160/90 mm Hg(1 mmHg=0.133 kPa)以下。
纳入标准:(1)按照2019版《中国急性缺血性脑卒中诊断指南》确诊为急性缺血性脑卒中。(2)在时间窗内行动脉取栓术。(3)均于动脉取栓术前行颅脑CT或MRI检查;术后即刻及48 h内行颅脑CT检查。
1.2 仪器与方法 1.2.1 颅内动脉造影采用Philips数字减影机行DSA检查。发现闭塞动脉后行超选择性动脉插管取栓,再行治疗侧DSA证实血管再通。使用高压注射器注射对比剂碘佛醇,剂量150~200 mL(碘浓度320 mg/mL)。术中观察生命体征并行美国国立卫生研究院卒中量表(national institute of health stroke scale, NIHSS)评分,记录对比剂用量。
1.2.2 颅脑CT检查采用Philips 64排螺旋CT仪。扫描参数:120 kV, 250 m As,层厚6 mm,层距1 mm,脑组织窗重建。患者取仰卧位,下颌内收,确保听眦线与扫描床垂直,以听眦线为扫描基线,由颅底向上扫至颅顶,采用非螺旋扫描。
1.3 图像分析由2名高年资影像诊断医师分析图像,观察取栓术后即刻和48 h内颅脑CT高密度影的位置、形态,以及有无脑组织肿胀、周围水肿和占位效应,测量高密度影的CT值、体积,并计算其吸收时间,尽量避开钙化及低密度区,测量3次取平均值。根据影像表现及吸收时间将高密度影分为3型[1-5]:Ⅰ型为正常表现,即颅内较大血管和大脑镰、小脑幕、上下矢状窦高密度影;Ⅱ型为对比剂溢出,表现为高密度影局部脑组织无肿胀,周围无水肿,无占位效应,48 h内消失;Ⅲ型为出血,表现为复查过程中高密度影周围出现水肿并引起占位效应,48 h后可部分吸收或变大。意见不一致时,经协商达成统一。
2 结果129例中,Ⅰ型64例,Ⅱ型30例,Ⅲ型35例。
根据高密度影的部位和形态,Ⅱ型又分为A组16例(图 1),表现为梗死区点片状高密度影,其中单侧基底节10例,即刻颅脑CT检查高密度影CT值37~133 HU,体积1.1~16.1 mL;脑干3例,CT值55~70 HU,体积0.2~1.4 mL;双丘脑、脑干1例,CT值59 HU,体积7.5 m L;双小脑半球、左丘脑、脑干1例,CT值60 HU,体积1.0 mL;左丘脑、海马、脑干1例,CT值59 HU,体积2.4 m L。B组9例(图 2),表现为蛛网膜下腔或脑室内高密度影,8例位于蛛网膜下腔,其中7例位于单侧大脑半球局部脑沟、1例位于双侧小脑半球脑沟,双侧对称,CT值40~113 HU,体积不易测量,但量均较少;1例位于单侧侧脑室,CT值140 HU,体积0.5 mL。C组5例(图 3),表现为闭塞血管支配脑叶内脑回状或团片状高密度影,主要累及脑皮质,CT值40~62 HU,体积5~15 mL。
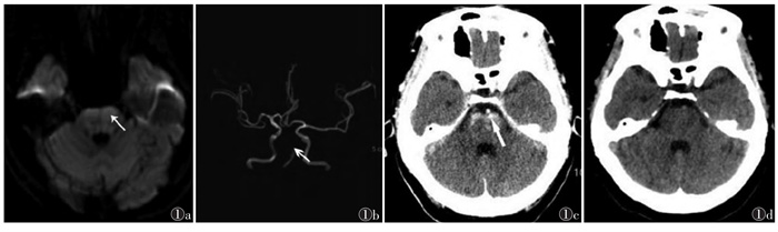
![]() |
| 注:患者,女,56岁,意识不清,四肢无力5 h余入院。图 1a为术前DWI,示脑干片状高信号(箭头);图 1b为术前MRA,示基底动脉部分闭塞(箭头);图 1c为脑动脉取栓术后即刻CT,示脑干片状高密度影(箭头),边缘模糊,CT值约55 HU,周围脑组织未见肿胀,邻近脑池未见变窄;图 1d为术后第2天复查CT,示高密度影消失;此例为脑干对比剂溢出 图 1 Ⅱ型A组急性缺血性脑卒中MRI及CT图像 |
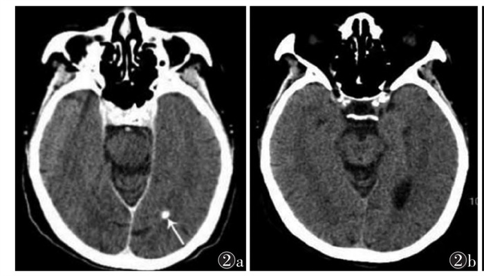
![]() |
| 注:患者,女,74岁,突发意识不清、言语不能伴右侧肢体活动不能5 h。图 2a为术后即刻颅脑CT,示左侧侧脑室后角内斑片状高密度影(箭头),可见液液平面,CT值约140 HU;图 2b为术后第2天复查CT,示高密度影消失 图 2 Ⅱ型B组急性缺血性脑卒中CT图像 |
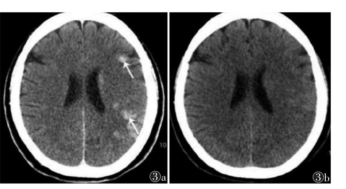
![]() |
| 注:患者,女,62岁,突然言语不能伴右侧肢体活动不能3 h余脑回状对比剂溢出。图 3a为术后即刻颅脑CT,示左侧额顶叶片状高密度影(箭头),CT值约66 HU,周围脑组织无肿胀,邻近脑沟未见变窄;图 3b为术后当天复查CT,示高密度影消失;此例为脑室内对比剂溢出 图 3 Ⅱ型C组急性缺血性脑卒中CT图像 |
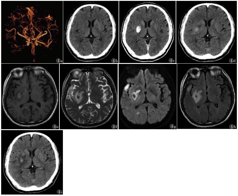
Ⅲ型高密度影CT值41~116 HU, 48 h后复查,复查过程中高密度影周围均有不同程度水肿并引起占位效应;14例(40.00%)高密度影进行性增大,21例(60.00%)范围缩小,密度减低(图 4)。
![]() |
| 注:患者,男,64岁,突发言语含糊不清伴左侧肢体活动不能4 h余。图 4a为术前头颈动脉及椎动脉CTA,示右侧大脑中动脉水平段局部闭塞;图 4b为术前颅脑CT,未见明显异常;图 4c为术后即刻CT,示右侧基底节片状高密度影,CT值约83 HU,周围无明显水肿,局部脑组织略肿胀,邻近脑沟变窄;图 4d为术后第2天复查CT,示高密度影密度减低,体积缩小,周围见片状低密度区,轻度占位效应;图 4e~4h分别为术后第4天MRI轴位T1WI、T2WI、DWI、FLAIR图像,示右侧基底节病灶呈T1WI高、低信号,T2WI、DWI及FLAIR呈低、高混杂信号,周围见片状T1WI低信号,T2WI、FLAIR高信号,DWI低信号,轻度占位效应,符合右侧基底节梗死并出血、周围水肿的MRI表现,另右侧颞叶见片状T1WI低信号,T2WI、DWI、FLAIR高信号,符合梗死灶MRI表现;图 4i为术后第6天复查CT,示高密度影密度较上次略增高,周围低密度区增大,轻度占位效应 图 4 Ⅲ型急性缺血性脑卒中MRI及CT图像 |
3 讨论 3.1 脑动脉取栓术后即刻颅脑CT图像高密度影的发生机制
Ⅰ型,符合正常脑血管分布,是对比剂用量大而廓清相对缓慢所致。Ⅱ型,脑组织缺血早期,血-脑脊液屏障轻度破坏,当仅内皮细胞连接断裂时,血管壁对分子量较小物质(如对比剂)的通透性增加。取栓后栓塞动脉再通,对比剂可通过通透性增加的血管壁进入血管外间隙并聚集[6-7],即出现A组的表现。B组发生机制可能是:(1)进入血管外间隙并聚集的对比剂又可通过不完善的血-脑脊液屏障自由扩散进入脑脊液中;(2)对比剂由脉络丛进入脑脊液。C组发生机制可能是:(1)缺血导致局部小血管代偿性扩张,自动调节功能麻痹,对比剂廓清能力减低。(2)梗死区血管再通或新生毛细血管形成、侧支循环建立,对比剂经破坏的血-脑脊液屏障进入血管外间隙,又因皮质较白质区血供丰富,故出现皮质脑回状强化[8];突向梗死区的肉芽组织表现为团片状强化。Ⅲ型,缺血时间长且未建立有效侧支循环时,内皮细胞外基质降解,血管壁严重破坏,基底细胞受损,红细胞可通过血-脑脊液屏障;或梗死区处于低灌注状态,小动脉反射性扩张及形成异常血管网,血管再通后毛细血管床灌注压急剧增加,微血管调节功能减弱,血-脑脊液屏障破坏、基底层受损,导致颅内出血[9]。故发生颅内出血时一定合并对比剂溢出。另外,术中导丝等对血管壁的损伤也可能导致颅内出血。
3.2 脑动脉取栓术后即刻颅脑CT图像高密度影的CT值以往文献对术后即刻颅脑CT图像高密度影CT值的观点不统一。郭爽等[10]将CT值74 HU作为对比剂溢出与出血的最佳鉴别值,认为高于此密度提示对比剂溢出;Yoon等[11]认为,高密度影的CT值> 90 HU为对比剂溢出;Gupta等[12-13]认为高密度影CT值若大于出血的阈值(如120 HU),说明其内含对比剂成分;Spina等[14]把对比剂溢出的CT值定为100~300 HU;赵俊功等[2, 9, 15]认为当最大CT值< 90 HU时可发生对比剂溢出;高艳等[4]则认为溢出对比剂的平均CT值约70 HU,与大脑中动脉密度相似,部分可与出血相似;而Payabvash等[16]认为高密度影的CT值< 50 HU易发生对比剂溢出。本研究中测量的术后即刻颅脑CT图像高密度影CT值与既往报道有差异,可能主要与术后首次颅脑CT检查时间、对比剂用量及注射流率有关,还与缺血时间、闭塞血管再通、对比剂毒性作用、导管使用时间等有关[5, 17-19]。在鉴别对比剂溢出和出血方面需要依据患者的临床症状、动态颅脑CT检查高密度影的位置、形态、有无局部脑组织肿胀、周围水肿、占位效应和高密度影的吸收时间判断。
本研究的局限性:Ⅱ型例数相对较少,使分组有一定的片面性,今后将扩大样本量,完善分组;患者年龄差距较大,颅脑血管的基本条件不完全相同,可能对结果造成一定干扰,后续研究应缩小患者年龄差,减少血管本身的差异对研究造成的影响。
综上所述,急性缺血性脑卒中动脉取栓术后动态颅脑CT图像有一定特征,在无能谱CT设备的条件下,临床医师可通过复查颅脑CT,对高密度影的性质进行判断。
| [1] |
杜斌, 姜卫剑, 金旻, 等. 脑动脉狭窄支架成形术后即刻头颅CT影像分析[J]. 中华放射学杂志, 2005, 39(1): 39-42. |
| [2] |
赵俊功, 李明华, 方淳, 等. 急性脑梗死动脉溶栓后即刻CT图像颅内高密度病灶的鉴别[J]. 介入放射学杂志, 2007, 16(3): 148-151. |
| [3] |
叶子明, 秦超, 刘莹, 等. 亚急性期脑梗死患者全脑血管造影致脑栓塞的危险因素分析[J]. 中华老年心脑血管病杂志, 2014, 16(4): 384-386. |
| [4] |
高艳, 李坤成. 急性脑梗死动脉溶栓术后脑出血与"脑染色"的鉴别诊断[J]. 中华急诊医学杂志, 2005, 14(12): 1019-1023. |
| [5] |
BRISMAN J L, JILANI M, MCKINNEY J S. Contrast enhancement hyperdensity after endovascular coiling of intracranial aneurysms[J]. AJNR, 2008, 29(3): 588-593. DOI:10.3174/ajnr.A0844 |
| [6] |
戴成祥, 荆忱, 李小鹰. 缺血-再灌注后心肌炎症性改变及腺苷受体介导的抗炎作用[J]. 中华老年心脑血管病杂志, 2001, 3(6): 422-424. |
| [7] |
高岚, 张京范, 于德水, 等. 腺苷对离体心脏再灌流后炎性因子TNF-αm RNA、ICAM-mRNA表达的影响[J]. 中华麻醉学杂志, 2001, 21(5): 305-310. |
| [8] |
卢洁, 李坤成, 杜祥颖. CT脑灌注成像在短暂性脑缺血发作的初步研究[J]. 中华放射学杂志, 2002, 36(4): 330-333. |
| [9] |
周龙江, 王苇, 张新江, 等. 颅内介入术后即刻头颅CT高密度影像分析[J]. 放射学实践, 2010, 25(6): 612-615. |
| [10] |
郭爽, 李清, 吴芳, 等. 双能CT在急性缺血性脑卒中血管内治疗术后早期脑出血与碘对比剂外渗鉴别诊断中的应用[J]. 首都医科大学学报, 2018, 39(2): 173-177. |
| [11] |
YOON W, SEO J J, KIM J K, et al. Contrast enhancement and contrast extravasation on computed tomography after intra-arterial thrombolysis in patients with acute ischemic stroke[J]. Stroke, 2004, 35(4): 876-881. |
| [12] |
GUPTA R, PHAN C M, LEIDECKER C, et al. Evaluation of dual-energy CT for differentiating intracerebral hemorrhage from iodinated contrast material staining[J]. Radiology, 2010, 257(1): 205-211. |
| [13] |
PHAN C M, YOO A J, HIRSCH J A, et al. Differentiation of hemorrhage from iodinated contrast in different intracranial compartments using dual-energy head CT[J]. AJNR Am J Neuroradiol, 2012, 33(6): 1088-1094. |
| [14] |
SPINA R, SIMON N, MARKUS R, et al. Contrast-induced encephalopathy following cardiac catheterization[J]. Cathteter Cardiovasc Interv, 2017, 90(2): 257-268. |
| [15] |
MERICLE R A, LOPES D K, FRONCKOWIAK M D, et al. A grading scale to predict outcomes after intra-arterial thrombolysis for stroke complicated by contrast extravasation[J]. Neurosurgery, 2000, 46(6): 1307-1314. |
| [16] |
PAYABVASH S, QURESHI M H, KHAN S M, et al. Differentiating intraparenchymal hemorrhage from contrast extravasation on post-procedural noncontrast CT scan in acute ischemic stroke patients undergoing endovascular treatment[J]. Neuroradiology, 2014, 56(9): 737-744. |
| [17] |
OZTURK A, SAATCI I, PAMUK A G, et al. Focalincreased cortical density in immediate postembolization CT scans of patients with intracranial aneurysms[J]. AJNR Am J Neuroradiol, 2006, 27(9): 1866-1875. |
| [18] |
包婉秋, 彭霞, 张春霞, 等. 非增强CT纹理特征对超急性期脑梗死溶栓后出血转化的预测价值[J]. 中国中西医结合影像学杂志, 2022, 20(2): 122-127. |
| [19] |
BAIK S K, KIM Y S, LEE H J, et al. Immediate CT findings following embolization of cerebral aneurysmsl suggestion of blood-brain barrier or vascular permeability change[J]. Neuroradiology, 2008, 50(3): 259-266. |
2023, Vol. 21






