中国中西医结合影像学杂志   2020, Vol. 18 Issue (2): 189-191
0
儿童甲型流感病毒感染相关可逆性胼胝体压部病变综合征的MRI表现[PDF全文]
薛婷 , 刘鸿圣 , 何晓芳 , 陆苑婷 , 文豪 , 艾斌
广东省广州市妇女儿童医疗中心放射科,广东 广州 510000
摘要目的: 探讨儿童甲型流感病毒感染相关的可逆性胼胝体压部病变综合征(RESLES)的临床及MRI特点。方法: 回顾性分析经临床及MRI证实的4例儿童甲型流感病毒感染相关的RESLES资料,并复习相关文献。结果: 4例均表现为发热、咳嗽等流感症状,并伴抽搐、惊厥。头颅MRI示:圆形或椭圆形胼胝体压部病灶,T1WI呈稍低信号,T2WI、T2-FLAIR呈高信号,ADC呈低信号,增强扫描均无强化。其中1例同时伴胼胝体膝部受累,且信号改变与压部一致。治疗后复查患儿症状及病灶均消失,且无后遗症。结论: 儿童甲型流感病毒感染相关RESLES的脑MRI表现具有一定特异性,结合相关症状,有助于早期诊断,并提示良好预后。
关键词可逆性胼胝体压部病变综合征    儿童    流感病毒A型    磁共振成像    
MRI features of reversible splenial lesion syndrome (RESLES) associated with influenza A virus infection in children
Xue Ting , Liu Hongsheng , He Xiaofang , Lu Yuanting , Wen Hao , Ai Bin
Department of Radiology, Guangzhou Women and Children's Medical Center, Guangzhou 510010, China
Abstract: Objective: To explore the clinical and MRI features of reversible splenial lesion syndrome (RESLES) associated with influenza A virus infection in children. Methods: A retrospective analysis of RESLES data related to influenza A virus infection in 4 children confirmed by clinical and MRI was performed, and the related literature were reviewed. Results: The clinical manifestations of 4 children showed flu symptoms such as fever and cough, accompanied by convulsions and convulsions. The common features of the head MRI were circular or elliptical corpus callosum lesions, T1WI with low or slightly lower signal, T2WI and T2WI FLAIR with high signal, ADC with low signal change, and enhanced scan without enhancement. One of the cases was accompanied by genu of corpus callosum involvement, and the signal changes were consistent with the splenium of corpus callosum. After treatment, the symptoms and lesions of the children disappeared and there was no sequelae. Conclusions: Children with influenza A virus related reversible splenial lesion syndrome have certain specificity in brain MRI. Combined with influenza related symptoms, it is helpful for early diagnosis and helps to indicate the good prognosis of children.
Key words: Reversible splenial lesion syndrome    Child    Influenza A virus    Magnetic resonance imaging    

甲型流感病毒是冬季儿童流感最常见的病原体之一[1-2], 其导致的脑病多见于热性惊厥、儿童坏死性脑病、瑞氏综合征、急性播散性脑脊髓炎等[3], 而引起可逆性胼胝体压部病变综合征(reversible splenial lesion syndrome, RESLES)的报道少见[4-5]。现回顾性分析2014年6月至2019年6月我院经病原学检测为甲型流感病毒引起并经临床、影像确诊的4例RESLES患儿的相关资料, 结合文献, 分析儿童甲型流感相关性RESLES的临床及MRI特点。

1 资料与方法 1.1 一般资料

4例中, 男2例, 女2例; 年龄7个月~9岁, 平均(5.0±4.5)岁。4例均伴发热、咳嗽等前驱上呼吸道感染症状, 以及抽搐、惊厥等神经系统症状, 其中1例出现短暂的谵妄状态。脑脊液检查均正常。2例脑电图示脑电波异常。纳入标准:①有前驱感染症状并伴相对轻微的中枢神经系统症状; ②鼻咽部拭子或气管抽取物的病毒核酸实时荧光定量聚合酶链反应检测为甲型流感病毒感染; ③头颅MRI示胼胝体孤立性异常信号, DWI呈高信号, 且治疗后病灶消失; ④排除其他病原体感染、遗传代谢性脑病、癫痫或脑瘫等神经系统基础疾病等。

1.2 仪器与方法

采用Philips Acheiva 1.5 T双梯度MRI扫描仪及标准头颅线圈。患儿经镇静入睡后取仰卧位, 行常规平扫, 包括横轴位(T1WI、T2WI、T2-FLAIR、DWI、ADC), 矢状位(T1WI); 增强扫描序列为T1WI(横轴位、矢状位、冠状位)。扫描参数:T1WI TR 600 ms, TE 15 ms; T2WI TR 3 720 ms, TE 100 ms; T2-FLAIR TR 11 000 ms, TE 140 ms, TI 2 800 ms; DWI的b值为800 s/mm2; 层厚5 mm, 层距1 mm, 矩阵200×256, 增强扫描对比剂使用Gd-DTPA, 剂量0.2 mL/kg体质量。

2 结果

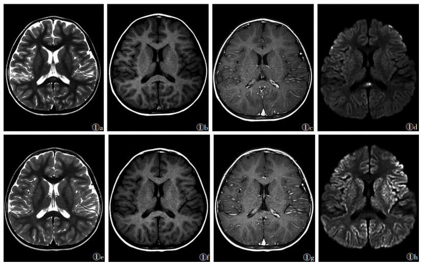
4例均以流感样上呼吸道感染症状首发, MRI均表现为局限于胼胝体压部的圆形或椭圆形边界清晰的孤立性病变, T2WI呈高信号(图 1a), T1WI呈稍低信号(图 1b), T2-FLAIR呈高信号, 增强扫描无强化(图 1c), DWI呈高信号(图 1d), ADC呈低信号, 其中1例除以上影像表现外还累及胼胝体膝部。4例经抗感染、抗病毒和激素等对症治疗后, 临床症状完全缓解, MRI复查脑部异常信号完全消失(图 1e~1h)。住院时间9~25 d, 门诊及电话随访均未出现任何神经系统后遗症。

图 1 女,5岁,因间断发热、呕吐6 d并抽搐入院   图 1a~1d  入院首次MRI检查,提示胼胝体压部椭圆形、边界不清的病灶   图 1a   T2WI呈稍高信号   图 1b   T1WI呈稍低信号   图 1c   T1WI增强扫描病灶无强化   图 1d   DWI呈高信号   图 1e~1h  分别为治疗12 d症状明显好转后复查的T2WI、T1WI、T1WI增强扫描、DWI图像,均示胼胝体压部异常信号基本消失

3 讨论

引起季节性流行性感冒的甲型流感病毒常可导致多种神经系统并发症, 除儿童急性坏死性脑病、瑞氏综合征、急性播散性脑脊髓炎等临床症状重或预后差的疾病外, 还可引起临床症状较轻的RESLES。RESLES又称伴胼胝体压部可逆性病变的轻度脑炎/脑病, 最主要的特点是临床症状轻, 且预后良好。既往研究[6-7]提示RESLES患儿症状多可在1个月内完全消失, MRI上病灶平均20 d消失。本研究4例临床症状均较轻, 除表现为发热、咳嗽等流感样上呼吸道感染症状外, 仅伴抽搐、惊厥等神经系统症状; 经治疗后病灶均在30 d内消失, 且未出现神经系统后遗症。因此, 儿童感染甲型流感病毒后出现RESLES常提示预后良好。

RESLES发病机制目前尚未明确。根据发病部位及影像特点, 多数学者[1, 8]认为其发病机制可能是胼胝体压部产生暂时性局部能量代谢和离子转运异常的作用, 水分子扩散运动受限, 引起一过性的细胞毒性水肿, 使髓鞘层分离和髓鞘间隙水肿, 从而引起损伤。这一观点可从胼胝体压部本身神经纤维密集, 具有水含量较周围组织多、水电解质调节机制尚未完善、对渗透压改变较其他部位敏感易受损的特性中得到解释[9]。另有观点[10]认为RESLES发病与低血钠作用相关, 但本组均未出现血钠降低。

RESLES的MRI表现具有一定特征性, 即胼胝体压部的孤立性病灶, 呈圆形或椭圆形, T1WI呈稍低信号, T2WI及T2-FLAIR呈高信号, ADC呈低信号[11]。早期Takanashi等[12]根据受累部位将其分为2型:1型最常见, 病灶局限于胼胝体压部; 而2型除胼胝体压部病灶外, 还累及胼胝体膝部或对称性累及邻近额顶叶脑白质。随后Okumura等[5, 13]在此基础上进一步将2型细分为伴胼胝体邻近脑白质受累的2型和全胼胝体受累的3型。按照上述分类, 本组3例1型和1例3型。对于伴胼胝体邻近脑白质受累的2型病变尚存在一定争议, 部分学者[14]发现累及胼胝体旁脑白质患者的症状常较重, 且部分患者治疗后病灶并不能完全消失。因此, 笔者推断此型病灶可能是RESLES合并其他疾病的复合型病灶, 不能单纯归为RESLES。

儿童甲型流感病毒感染相关的RESLES应与以下疾病相鉴别:①累及胼胝体的急性播散性脑脊髓炎, 病程较长, 脑实质损害的症状和体征常较重, 头部CT、MRI常表现为多发基底节及脑白质非对称性病灶, 且病灶可有强化[15-16]。②多发性硬化, 多见于成年女性, 但亦可见于大龄女童, 常表现为多发垂直于侧脑室分布的脑白质病灶, 呈多空间、多时相分布, 活动期病灶增强扫描可见强化[16-17]。③胼胝体压部梗死, 儿童脑梗死并不少见, 常继发于感染、先天性心脏病、血管炎等。胼胝体压部局灶性梗死与RESLES病灶早期相似, 但复查脑梗死部位的萎缩、胶质增生可供鉴别。④后循环可逆性脑病综合征, 多继发于肾病综合征、系统性红斑狼疮等, MRI表现为对称性顶枕叶脑白质病变, 因其为血管源性水肿, ADC呈高信号[18], 有助于两者鉴别。

综上所述, 儿童甲型流感病毒感染相关的RESLES是一种起病急、预后好的非特异性脑炎, 多因流感样呼吸道症状起病而发现, 临床表现缺乏特异性, 脑脊液检查可正常或轻度异常, MRI表现具有一定特征性, 随病程发展, 最终可达到临床及影像学上的完全缓解。

参考文献
[1]
方玮, 章殷希, 丁美萍. 可逆性胼胝体压部病变综合征[J]. 中华神经科杂志, 2016, 49(3): 203-258.
[2]
沈东辉, 吴秀娟, 刘亢丁. 可逆性胼胝体压部病变综合征24例病例分析[J]. 中风与神经疾病杂志, 2015, 32(6): 502-547.
[3]
Britton PN, Blyth CC, Macartney K, et al. The spectrum and burden of Influenza-associated neurological disease in children:combined encephalitis and influenza sentinel site surveillance from Australia, 2013-2015[J]. Clin Infect Dis, 2017, 65: 653-660.
[4]
Iwata A, Matsubara K, Nigami H, et al. Reversible splenial lesion associated with novel influenza A (H1N1) viral infection[J]. Pediatr Neurol, 2010, 42: 447-450.
[5]
Okumura A, Tsuji T, Kubota T, et al. Acute encephalopathy with 2009 pandemic flu:comparison with seasonal flu[J]. Brain & Development, 2012, 34: 13-19.
[6]
Takanashi J. Two newly proposed infectious encephalitis/encephalopathy syndromes[J]. Brain Dev, 2009, 31: 521-528.
[7]
胡小辉, 姚长江, 汤前军, 等. 可逆性胼胝体压部病变的临床分析[J]. 华西医学, 2012, 27(2): 223-225.
[8]
张新颖, 孙文秀, 高玉兴, 等. 儿童可逆性胼胝体压部病变综合征临床分析[J]. 临床儿科杂志, 2015, 33(11): 924-925.
[9]
姜洪新, 张洪丽, 张萍, 等. DTI观察胼胝体纤维束与联络纤维、投射纤维的联系研究[J]. 中国中西医结合影像学杂志, 2018, 16(2): 114-117.
[10]
Takanashi J, Tada H, Maeda M, et al. Encephalopathy with a reversible splenial lesion is associated with hyponatremia[J]. Brain Dev, 2009, 31: 217-220.
[11]
赵双全, 梁久平, 殷亮, 等. 胼胝体压部可逆性局灶性病变的MRI表现与随访分析[J]. 中国中西医结合影像学杂志, 2019, 17(3): 284-286.
[12]
Takanashi J, Barkovich AJ, Shiihara T, et al. Widening spectrum of a reversible splenial lesion with transiently reduced diffusi on[J]. AJNR Am J Neuroradiol, 2006, 27: 836-838.
[13]
Starkey J, Kobayashi N, Numaguchi Y, et al. Cytotoxic lesions of the corpus callosum that show restricted diffusion:mechanisms, causes, and manifestations[J]. Radiol, 2017, 37: 562-576.
[14]
陈少龙, 陈卫鹏, 许建生. 胼胝体损伤的临床CT分析(附30例报告)[J]. 中国中西医结合影像学杂志, 2007, 5(1): 19-21.
[15]
康慧聪, 刘晓艳, 胡琦, 等. 急性播散性脑脊髓炎的临床及影像学特征[J]. 中风与神经病杂志, 2007, 24(6): 668-670.
[16]
邢新博, 习伟, 王鑫坤, 等. 磁共振成像表现特征鉴别成人可逆性胼胝体压部病变综合征与胼胝体压部缺血性脑梗死[J]. 中国医学科学院学报, 2018, 40(2): 233-241.
[17]
邹琼, 杨春祥, 陈世全. MRI平扫及增强扫描在多发性硬化诊断中的应用[J]. 中国CT和MRI杂志, 2016, 14(12): 28-30.
[18]
冯纪涛, 贾振宇, 黄德健. 4例围生期后循环可逆性脑病综合征误诊分析[J]. 中国中西医结合影像学杂志, 2016, 14(1): 74-76.