| 老年流行性乙型脑炎的临床及影像特点分析 |
流行性乙型脑炎(乙脑)是危重脑炎之一,多见于儿童,随着疫苗的推广普及,儿童乙脑发病率近年来明显减少,而新发病例多为中老年人[1]。目前对老年乙脑临床、影像表现报道甚少见。老年性乙脑多伴基础疾病,首诊易混淆,易造成延误诊断及治疗,早期诊断是降低致残、致死率的关键。现回顾性分析19例老年性乙脑患者的临床及影像学特点,以提高对该病的认识。
1 资料与方法 1.1 一般资料收集2010—2019年我院确诊的19例乙脑患者,男8例,女11例;年龄61~86岁,中位年龄68岁。患者均经酶联免疫吸附实验(enzyme linked immunosorbent assay,ELISA)检测脑脊液或血清IgM乙脑抗体阳性。18例在出现神经系统症状12 h至5 d内行颅脑MRI检查,1例在3 d内行颅脑CT检查。临床症状:发热19例(100.0%)、意识障碍13例(68.4%)、抽搐6例(31.6%)、四肢瘫痪12例(63.2%)、偏侧肢体瘫痪5例(26.3%)、单肢体瘫痪2例(10.5%)、肌张力障碍13例(68.4%)、肺部感染14例(73.7%)。既往史:高血压17例(2~40年)、脑卒中17例、糖尿病5例和冠状动脉粥样硬化性心脏病(冠心病)2例。
1.2 仪器与方法 1.2.1 MRI检查采用GE Signa Twinspeed 1.5 T和Siemens Magnetom Skyra 3.0 T超导MRI扫描仪,头部标配线圈,行常规颅脑T1WI、T2WI、FLAIR及DWI扫描。扫描序列和参数分别为:T1WI TR 1 850 ms、TE 20.1 ms,TR 200 ms、TE 2.5 ms;T2WI TR 4 350 ms、TE 115 ms,TR 4 000 ms、TE 99.0 ms;T2 FLAIR/Dark-Fluid TR 6 000 ms、TE 115 ms,TR 7 500 ms、TE 99.0 ms;层厚5~7 mm,层距1.0 mm,视野22 cm× 23 cm。DWI采用单次激发SE-EPI,在x、y、z 3个方向上施加扩散梯度,b值取0和1 000 s/mm2,GE和Siemens的参数分别为:TR 6 000 ms、TE 105 ms,TR 4 400 ms、TE 83 ms。原始图像用GE及Siemens自带工作站软件处理。
1.2.2 CT检查14例采用64层GE Lightspeed VCT行胸部检查,1例行头部检查,层厚、层距均为0.625 mm,重建层厚、层距均为7 mm。
1.3 图像分析由2位高年资神经放射医师共同阅片分析,如有分歧协商解决。
2 结果19例中,MRI阳性表现17例,阴性1例,CT阳性表现1例。
17例MRI阳性表现患者中,12例累及丘脑(单/双侧),7例累及中脑黑质或脑桥(单/双侧),5例累及海马(双侧),2例累及基底节(双侧),1例累及侧脑室体旁(单侧),1例累及岛叶(单侧),1例大脑半球广泛水肿。3例累及1个部位,6例累及2个部位,5例累及3个部位,3例累及3个部位以上。急性期乙脑病灶T1WI多呈低或稍低信号、少数呈等信号,T2WI多呈稍高信号、少数呈高信号,信号不均匀,边缘模糊。13例DWI呈等或稍高信号、ADC图呈稍高或高信号,提示血管源性水肿(图 1a,1b);2例DWI呈高信号、ADC图呈低信号,提示细胞毒性水肿(图 2a,2b);2例DWI呈高信号、ADC图呈高低混杂信号,提示细胞毒性水肿和血管源性水肿共存。17例中另外显示陈旧性脑梗死、软化灶及腔隙性梗死,多位于基底节、侧脑室旁、大脑半球、丘脑和脑干,T1WI呈低信号,T2WI呈高信号,T2 FLAIR呈低或高信号,其中3例另显示脑出血残腔(图 1c,1d);15例伴双侧侧脑室前后角旁老年性脱髓鞘病变(图 2c,2d),T1WI呈低信号,T2WI呈高信号,DWI呈等信号。
![]() |
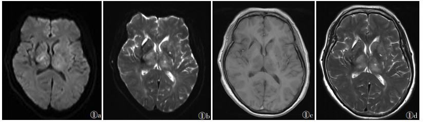
| 图 1 女,62岁,流行性乙型脑炎(乙脑)发病第2天,伴双侧基底节陈旧性脑卒中病灶 图 1a,1b DWI示双侧丘脑呈不均匀稍高信号,ADC图呈高信号(提示以血管源性水肿为主) 图 1c,1d 轴位T1WI示双侧丘脑对称性稍低信号,T2WI呈不均匀稍高信号,边界欠清;右侧基底节多发裂隙状T1WI低信号,T2WI高、低混杂信号(提示脑出血残腔);另于左侧基底节亦可见多个斑点状T1WI低信号、T2WI高信号,边界清(提示陈旧性梗死灶) |
![]() |
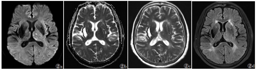
| 图 2 女,63岁,乙脑发病第1天,伴右侧基底节脑出血残腔及双侧侧脑室前后角旁老年性脱髓鞘改变 图 2a,2b DWI示左侧丘脑见多发小斑点状高信号,ADC图病灶呈低、等信号(提示以细胞毒性水肿为主) 图 2c,2d 轴位T2WI及T2 FLAIR序列上左侧丘脑病变未见显示;右侧基底节可见椭圆形T2WI高信号病灶、周边呈低信号环绕,T2 FLAIR病灶呈极低信号(提示陈旧性脑出血),T2WI及T2 FLAIR示双侧侧脑室前后角旁小片状高信号(提示老年性脱髓鞘改变) |
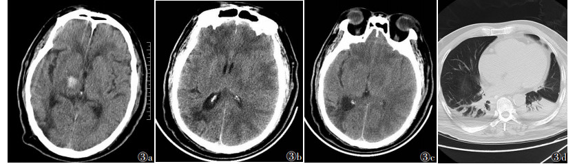
1例头部CT示双侧大脑半球灰白质广泛低密度影伴右侧丘脑亚急性晚期脑出血(图 3a~3c)。14例胸部CT肺窗示双肺下叶胸膜下条片状高密度实变影,双侧胸腔可见少量积液(图 3d)。
![]() |
| 图 3 男,75岁,右侧丘脑出血吸收期,突然发热、昏迷 图 3a 1个月前CT示右侧丘脑血肿,右侧枕叶皮质及白质小片状低密度影(提示陈旧性梗死灶) 图 3b CT示双侧大脑半球皮质及白质广泛低密度影,脑沟变浅消失,原右侧丘脑血肿演变呈等密度影 图 3c 左侧丘脑稍低密度影,左侧外侧裂池变窄 图 3d CT肺窗示双肺下叶感染伴胸腔积液 |
3 讨论 3.1 概述
乙脑好发生于东南亚地区,多为散发病例报道。人群对乙脑病毒普遍易感,感染后多数呈阴性,少部分临床发病。75%的乙脑临床病例发生在<15岁的儿童[2]。随着全球老龄化趋势的加剧,特别是中国老年人口日益增多,乙脑发病年龄也发生变化,文献[3]报道山西省运城市成人及老年人乙脑发病率高于儿童。河南省洛阳市 > 15岁乙脑占总数的57.63%,成人及老年人发病率也高于儿童,提示乙脑的发生不但有季节性、地域性,还有人群差异的特点[4]。目前对儿童或成人乙脑文献报道较多,而关于老年人感染乙脑文献甚少见。老年感染者多因急性起病住院,同时合并其他慢性疾病。本组19例,大多伴高血压、脑血管病及呼吸系统感染。不同疾病间可相互影响、互为结果。研究[5]表明,高血压、脑血管病和脑外伤等可降低血-脑脊液屏障功能,使乙脑病毒更易侵入中枢神经系统,同时乙脑所致意识障碍、昏迷又可引起呼吸道分泌物不易排出,引起双下肺感染和肺不张。
3.2 临床特点儿童乙脑临床表现多较典型,如高热、意识障碍(嗜睡或昏迷)、抽搐,提示为神经系统来源病变。老年乙脑发病前绝大多数既往有脑梗死、脑出血后遗症病史,临床上高热、意识障碍表现与儿童相同,但抽搐患者明显较儿童少[6]。个别高龄患者免疫力下降,首诊以低热、肢体障碍为主诉。老年人群引起意识障碍原因较多,如脑卒中、低血糖脑病、中暑等会增加临床鉴别难度而延误诊疗时间。本组2例发病后在外院行头颅及胸部CT检查,提示颅脑多发梗死及双下肺感染,临床未能正确解释发热原因,以肺部感染治疗而延误确诊时间,因此,有必要提高临床医师对老年乙脑的认识。
3.3 MRI及DWI表现MRI是目前乙脑首选检查方法,既可提示诊断,又可评估和判断预后。乙脑好发于深部灰质,以丘脑、中脑黑质、海马居多,个别患者可表现为大脑半球白质、皮质广泛水肿。文献[1, 7-9]报道累及丘脑及中脑黑质时病情最严重。乙脑急性期以血管源性水肿为主。宋海乔等[9]对比了急性期乙脑成人与儿童的DWI表现,儿童乙脑病灶以细胞毒性水肿居多,成人以血管源性水肿居多,本组老年乙脑尤为突出,绝大多数为血管源性水肿。DWI对细胞毒性水肿病灶较常规序列敏感,能发现常规序列不能显示的病灶,在显示病灶范围及分布方面也更有优势[10]。但当急性期乙脑病灶在血管源性水肿阶段,除个别病灶受T2透过效应影响,DWI仍呈高信号外,更多病例受T2廓清效应影响,DWI呈等信号,不能发现病灶,这种现象是ADC图高信号与T2WI高信号之间的一种平衡因素。目前廓清效应确切机制虽尚不明确[11],但提示急性期乙脑病灶受廓清效应影响会不显示病灶,需借助ADC图和常规序列,以避免漏诊。急性期DWI表现与乙脑病灶诊断敏感性及脑水肿类型密切相关。
3.4 老年乙脑与共存脑血管病老年乙脑病灶与共存陈旧性脑梗死灶在丘脑、基底节、脑干多有重叠,如乙脑病灶在以细胞毒性水肿为主阶段,DWI呈高信号,ADC图呈低信号,需与急性期梗死鉴别。急性期梗死灶常按血管分布,多以单侧为主,一般不伴发热。乙脑病灶以血管源性水肿为主者,易与陈旧性梗死灶混淆,DWI因T2廓清效应影响多呈等信号,不易发现病灶;T2WI和T2 FALIR一般呈不均匀稍高信号,边界较模糊[12];而既往梗死灶DWI因病程时间或胶质增生亦可呈等或低信号,T2WI呈高信号、T2 FLAIR呈高或低信号,信号较均匀、边界清,两者主要靠MRI常规序列区分。典型老年乙脑好发部位为双侧丘脑、中脑黑质、海马,结合临床诊断不难,但个别不典型病例也可仅单独累及丘脑、桥脑、基底节,若病灶较小,阅片时与既往脑内多发脑梗死灶混淆,可造成漏诊或误诊。老年乙脑患者发病与自身基础病相关,本组绝大多数患者有高血压和陈旧性脑卒中,其中1例发生丘脑血肿者,在1个月后感染乙脑;3例陈旧性脑出血患者,在6个月至2年内感染乙脑,以上表明乙脑与血-脑脊液屏障破坏相关,提示在乙脑流行区及农村脑卒中患者更要做好乙脑预防。
3.5 鉴别诊断乙脑应与以下疾病鉴别:①单纯疱疹病毒性脑炎,好发于青壮年,病毒感染三叉神经易累及双侧内侧颞叶、额叶底部、岛叶[13],与乙脑好发部位不同。②手足口病脑炎,易累及桥脑、延髓交界后部,具有特殊好发部位,临床上表现为口腔、手足多发疱疹,多为儿童发病[14],与乙脑易鉴别。③其他非特异性病毒性脑炎,多累及脑皮质[15]。乙脑病灶累及双侧丘脑,需与直窦血栓并丘脑静脉梗死鉴别,后者可发现直窦血栓形成。④韦尼克脑病,也可双侧丘脑累及,但多伴中脑、乳头体异常,与乙脑病史及临床表现不同。乙脑病灶累及海马需与副肿瘤边缘性脑炎鉴别,后者常亚急性起病,伴记忆减退、精神行为异常,有原发肿瘤史[16],与乙脑急性起病伴高热病史不同。
总之,在乙脑流行季节,需提高对老年人群感染乙脑的重视程度。老年乙脑的MRI表现具有一定的特征,但应与共存陈旧性梗死灶进行鉴别。
| [1] |
王天红, 谷有全, 周超宁, 等. 成人流行性乙型脑炎患者34例临床特点分析[J]. 中华神经科杂志, 2018, 51(8): 612-617. DOI:10.3760/cma.j.issn.1006-7876.2018.08.010 |
| [2] |
CAMPBELL G L, HILLS S L, FISCHER M, et al. Estimated global incidence of Japanese encephalitis: a systematic review[J]. Bull World Health Organ, 2011, 89(10): 766-774. DOI:10.2471/BLT.10.085233 |
| [3] |
尹遵栋, 梁晓峰, 李艺星, 等. 运城市2006年流行性乙型脑炎疫情调查分析[J]. 中国计划免疫, 2007, 13(3): 270-273. DOI:10.3969/j.issn.1006-916X.2007.03.022 |
| [4] |
唐晓燕, 康锴, 李幸乐, 等. 河南省2006-2010年流行性乙型脑炎病例监测[J]. 中华流行病学杂志, 2011, 32(11): 1128-1130. DOI:10.3760/cma.j.issn.0254-6450.2011.11.016 |
| [5] |
李兰娟, 任红. 传染病学[M]. 9版. 北京: 人民卫生出版社, 2018: 102-108.
|
| [6] |
黄丽娜, 连立飞. 成年和儿童日本脑炎患者的临床分析[J]. 中国实用神经疾病杂志, 2008, 11(5): 14-16. |
| [7] |
CHEN H L, CHANG J K, TANG R B. Current recommendations for the Japanese encephalitis vaccine[J]. J Chin Med Assoc, 2015, 78(5): 271-275. DOI:10.1016/j.jcma.2014.12.009 |
| [8] |
SAWLANI V. Diffusion-weighted imaging and apparent diffusion coefficient evaluation of herpes simplex encephalitis and Japanese encephalitis[J]. J Neurol Sci, 2009, 287(1-2): 221-226. DOI:10.1016/j.jns.2009.07.010 |
| [9] |
宋海乔, 高万勤, 强军, 等. 成人与儿童流行性乙型脑炎的MR特点[J]. 中国医学影像技术, 2015, 31(6): 836-839. |
| [10] |
严志汉, 虞志康, 毛传万, 等. 小儿流行性乙型脑炎的MR成像及其扩散成像特征[J]. 中华放射学杂志, 2007, 41(6): 633-636. DOI:10.3760/j.issn:1005-1201.2007.06.017 |
| [11] |
MORITANI T, EKHOLM S, WESTESSON P L. 脑磁共振扩散加权成像[M]. 崔光彬, 杨军乐, 译. 2版. 北京: 人民军医出版社, 2015: 20-29.
|
| [12] |
张丹庆, 王明磊, 赵超云, 等. 成人流行性乙型脑炎头颅磁共振成像的表现特征[J]. 中华传染病杂志, 2019, 37(4): 204-208. DOI:10.3760/cma.j.issn.1000-6680.2019.04.003 |
| [13] |
CHOW F C, GLASER C A, SERIFF H, et al. Use of clinical and neuroimaging characteristics to distinguish temporal lobe herpes simplex encephalitis from its mimics[J]. Clin lnfect Dis, 2015, 60(9): 1377-1383. |
| [14] |
王伟秀, 任庆云, 何丽, 等. 小儿手足口病合并中枢神经系统损害的MRI表现[J]. 中国临床医学影像杂志, 2012, 23(11): 821-825. |
| [15] |
夏爽, 马国林. MRI及MR扩散成像在评价大脑半球皮质弥漫性病变的价值[J]. 中华医学杂志, 2011, 91(13): 880-884. DOI:10.3760/cma.j.issn.0376-2491.2011.13.005 |
| [16] |
李明全, 娄晓宇, 苗宝娟. 副肿瘤性边缘叶脑炎的临床及MRI特征[J]. 放射学实践, 2015, 30(8): 802-805. |
2021, Vol. 19





