| SPECT/CT融合骨显像对诊断肿瘤骨转移疼痛的增益价值 |
2. 河南省洛阳正骨医院 河南省骨科医院影像中心,河南 洛阳 471002
因肿瘤全身性转移的特性[1],目前临床对中晚期恶性肿瘤仍未有很好的治疗方法。骨骼血供丰富,肿瘤细胞易发生转移,最常发生骨转移的肿瘤有前列腺癌、肺癌和乳腺癌等[2]。随着肿瘤细胞的侵袭,最先出现的临床症状为病灶部位局限性顽固性疼痛,且大多数患者可出现不同程度转移部位的局部疼痛,还可继发高钙血症、脊髓压迫及病理性骨折等[3],影响正常活动和生活质量。SPECT/CT兼具功能与解剖成像的优点,是早期诊断肿瘤骨转移的主要影像学方法[4]。本文回顾性分析49例全身多处疼痛肿瘤患者的SPECT/CT融合骨显像资料,探讨SPECT/CT融合骨显像对诊断肿瘤骨转移疼痛的增益价值,报道如下。
1 资料与方法 1.1 一般资料收集2015年9月至2019年8月在洛阳正骨医院(河南省骨科医院)行SPECT/CT融合骨显像的肿瘤患者49例(共91处疼痛病灶),男27例,女22例;年龄37~75岁,平均(56.80±8.94)岁。49例均经手术穿刺病理及随访证实,其中肺癌15例,乳腺癌11例,前列腺癌8例,胃癌7例,肝癌5例,甲状腺癌2例,黏液脂肪瘤1例。
1.2 仪器与方法采用Siemens Symbia True point SPECT/CT仪,低能高分力平行孔准直器。裂变型99Mo-99mTc(钼-锝)发生器由北京原子高科股份有限公司提供。扫描前3~4 h静脉注射99mTc-MDP(江苏省原子医学研究所江原制药厂)740~1 110 MBq,后行SPECT断层采集。扫描范围从头部至脚趾末端。扫描参数:采集能峰140 keV,窗宽20%,放大倍数为1倍,探头旋转轨迹为自动人体轨迹,360°采集,双探头各旋转180°,6°/帧,采集时间20 s/帧。SPECT采集完成后,对患者主诉疼痛部位行同机SPECT/CT骨断层融合显像,扫描参数:110 kV,50 mA,层厚1.5 mm,螺距1,矩阵512×512。采用机器自带同机图像融合软件融合SPECT/CT图像。
1.3 图像分析图像由1位放射科医师和2位核医学医师结合患者临床资料共同分析得出诊断结果。
1.4 诊断标准① SPECT核素骨显像骨转移诊断标准[5]:排除常见病变、手术史和外伤等,全身骨组织出现多部位核素聚集异常,异常部位相对对侧或相邻部位核素摄取不一致,呈现成骨性病变(核素聚集)或溶骨性病变(核素稀疏)。②CT诊断标准[6]:溶骨性病变时,多表现为穿孔虫蚀样骨组织损坏;成骨性病变时,则表现为斑点、片状高密度影且四周轮廓不清,可见新骨形成。同时排除创伤、手术及退行性病变等其他良性疾病。
1.5 统计学方法应用SPSS 21.0软件分析数据,计算分析SPECT/CT对骨转移瘤诊断的敏感度、特异度与准确率。
2 结果49例共91处疼痛部位,发生于颅骨颈椎(图 1)、肋骨、髋关节(图 2)、骶髂关节(图 3)、胸椎(图 4)等处的疼痛较剧烈且为持续性疼痛,夜间更明显,并随时间推移逐渐加重,常规非甾体药物缓解不明显。SPECT/CT融合断层显像示阳性40处,其中真阳性35处,假阳性5处;阴性51处,其中真阴性49处,假阴性2处。SPECT/CT融合断层显像对肿瘤疼痛骨转移瘤诊断的敏感度为94.6%(35/37)、特异度为90.7%(49/54)、准确率为92.3%(84/91)。后经病理及临床随访证实5处假阳性病灶中3处为退行性病变,由于存在隐匿性骨质破坏导致骨代谢增高,核素浓聚;余2处,1处为髓腔炎症所致,1处为原发骨肿瘤。2处假阴性病灶由于病灶体积较小,1处位于胸椎重叠部位,1处示溶骨性改变,最后融合显像显示放射性浓聚不明显而导致漏诊。
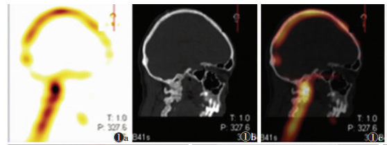
![]() |
| 图 1 男,72岁,前列腺癌骨转移,颈椎持续性疼痛 图 1a SPECT/CT局部融合显像示:颅骨、颅底部、上颈椎可见小片状放射性核素浓聚区 图 1b 颅骨CT平扫示:颅骨板障密度增高,髓腔皮质边界模糊,颅骨密度不均匀,双侧蝶骨、下颌骨、寰椎、枢椎均可见斑片状密度增高影。右侧上颌窦内可见类圆形密度增高影 图 1c SPECT/CT局部融合图像示:颅骨、颅底部可见小片状放射聚集区,上颈部可见高放射性核素聚集 |
![]() |
| 图 2 女,55岁,右侧乳腺癌术后1年6个月,股骨及髂骨2处疼痛 图 2a 骨盆CT平扫示:两侧髂骨、双侧髋臼、右侧股骨头、右侧股骨上段多发溶骨性骨质破坏区,皮质溶解 图 2b SPECT/CT局部融合显像示:两侧髂骨、骶椎、髋臼、右侧股骨头、右侧股骨上端多发散在斑片状放射性核素聚集灶,部分呈“冷区”改变 |
![]() |
| 图 3 男,37岁,黏液脂肪瘤骨转移,骶骨疼痛 图 3a CT平扫示:骶骨可见骨质破坏,L4、L5椎体下关节面均可见M形局限性凹陷,边缘硬化 图 3b SPECT/CT局部融合显像示:骶骨及左侧髂骨病灶均见周围放射性核素不均匀聚集,溶骨性骨质破坏区似可见轻微放射性核素聚集。双侧骶髂关节可见放射性核素浓聚,左侧显著 |
![]() |
| 图 4 男,75岁,前列腺癌骨转移,肩胛骨及胸骨2处疼痛 图 4a 胸廓及肱骨CT平扫示:左肱骨近端及中下段可见膨胀性骨质破坏,骨质密度增高,胸骨及右肩胛骨、左侧第9后肋可见类似改变;T10椎体可见片状骨质密度增高影 图 4b SPECT/CT融合平扫显示:左肱骨、胸骨及右肩胛骨、左侧第9后肋溶骨破坏区未见明显放射性浓聚,边缘骨质密度增高区可见不同程度放射性改变 |
3 讨论
恶性肿瘤骨转移大多通过血行播散或邻近侵犯发生一系列骨反应。晚期随病情进展,可出现病理性骨折、高钙血症等并发症,严重影响患者的正常活动和/或生活质量[7]。疼痛作为骨转移常见及早期出现的症状,对患者身心均可造成一定影响,有可能加快疾病的进展[8]。
早发现、早诊断、早治疗骨转移瘤造成的顽固性骨痛是临床关注的重点[9]。骨骼病灶顽固性疼痛的发病机制为肿瘤细胞对骨膜的侵袭及骨组织的溶解损伤,其在侵袭过程中释放炎性物质,导致病灶处长期疼痛[10]。SPECT/CT融合骨显像能够提供病变的解剖特点及病灶的功能代谢情况,单次扫描即可获得全身骨骼影像,能及时发现骨转移瘤并诊断病灶性质,为临床医师提供诊疗依据。当SPECT显像提示核素异常,而CT显示大范围骨质破坏时,融合图像能在病灶与正常组织交界处表现为核素异常聚集,从而显示骨组织破坏的实际范围,提供更为准确的手术范围[11]。目前骨转移瘤治疗多采用经皮椎体成形术和经皮椎体后凸成形术[12]。
综上所述,SPECT/CT断层显像能够对病灶进行融合显像分析,对晚期肿瘤骨转移疼痛患者的诊断具有明显的增益价值。
| [1] |
丁月云, 石德道, 朱宗平, 等. SPECT/CT骨断层融合显像对肿瘤骨转移诊断价值的探究[J]. 医学影像学杂志, 2017, 27(3): 527530. |
| [2] |
陈凤, 崔亚利. 骨转移瘤影像学检查研究概述[J]. 医学综述, 2019, 25(1): 140-149. |
| [3] |
双卫兵, 邓欣. 前列腺癌骨转移的治疗[J]. 现代泌尿生殖肿瘤杂志, 2015, 7(6): 373-377. |
| [4] |
HETZEL M, HETZEL J, ARSLANDEMIR C, et al. Reliability of symptoms to determine use of bone scans to identify bone metastases in lung cancer:prospective study[J]. BMJ, 2004, 328(7447): 1051-1052. DOI:10.1136/bmj.328.7447.1051 |
| [5] |
李少林. 核医学[M]. 6版. 北京: 人民卫生出版社, 2004: 124-143.
|
| [6] |
白人驹. 医学影像诊断学[M]. 北京: 人民卫生出版社, 2005: 546.
|
| [7] |
SHIBATA H, KATO S, SEKINE I, et al. Diagnosis and treatment of bone metastasis:comprehensive guideline of the Japanese Society of Medical Oncology, Japanese Orthopedic Association, Japanese Urological Association, and Japanese Society for Radiation Oncology[J]. ESMO Open, 2016, 1(2): e000037. DOI:10.1136/esmoopen-2016-000037 |
| [8] |
廖祺, 江晓霁, 黄一, 等. 前列腺癌骨转移疼痛的延续性护理[J]. 西南国防医药, 2018, 28(8): 795-797. |
| [9] |
张峰, 吴春兴, 查悦明. 单光子发射计算机断层成像/电子计算机断层扫描骨显像在脊柱骨转移瘤诊断中的应用价值[J]. 医疗装备, 2018, 17(31): 28-29. |
| [10] |
廖祺, 黄一, 徐雪. 前列腺癌骨转移的疼痛管理[J]. 医学信息, 2018, 6(31): 59-62. |
| [11] |
刘嘉辰, 林笑丰, 李敬彦, 等. 99mTc-MDP SPECT/CT融合骨显像在恶性肿瘤骨转移诊断和治疗决策中的作用[J]. 实用医学杂志, 2017, 33(8): 1331-1334. |
| [12] |
刘臻, 潘诗农. 经皮骨水泥成形术治疗骨转移瘤研究进展[J]. 中国介入影像与治疗学, 2019, 16(7): 434-438. |
2020, Vol. 18






