| 实时三维超声表面成像及透明成像技术在诊断胎儿唇腭裂中的应用 |
唇腭裂畸形属于颜面部小器官畸形,患病率高,居胎儿畸形的第4位,新生儿发病率为1.5‰~2.0‰[1]。唇腭裂可单独发生,也可为多发畸形的表现之一,其类型与胎儿结局、附加结构畸形及染色体异常均明显相关。腭裂常导致呼吸道感染、营养不良[2]、中耳问题等,严重者可致语言发育障碍,对患儿的心理影响很大。我国每年约25 000名唇腭裂新生儿降生,是病残儿医学鉴定的主要疾病,胎儿畸形的产前诊断是提高出生人口质量的重要环节[1]。2012年中国医师协会超声医师分会制定的《产前超声检查指南》[3],唇部已列入产前检查的评估范围。众多学者[4-6]也已报道超声可检测唇腭裂,但其检出存在一定难度。而腭裂的有无对是否终止妊娠及评价胎儿预后、手术难度及序列治疗至关重要。因此,腭裂的产前诊断尤为重要。
1 资料与方法 1.1 一般资料选择2014年12月至2017年10月在我院行产前超声检查且经产后或引产证实为唇腭裂胎儿25例,胎龄20~32周,孕妇年龄22~44岁。
1.2 仪器与方法使用GE E8型彩色多普勒超声诊断仪,配备RAB4-8-D容积探头,频率4~8 MHz;经腹部二维探头C1-5-D,频率1~5 MHz;具备2D、3D、实时3D功能。①首先对胎儿行常规二维检查,在获得双顶径平面后旋转90°行冠状面扫查,再旋转90°行鼻唇部横断面扫查,在显示鼻孔及上下唇后,再旋转90°行矢状面扫查,以显示鼻骨为标志。②发现唇裂患儿后,启动三维表面模式确定胎儿唇裂,然后启动三维透明成像模式,选择3D staticrender modeskeleton,从矢状面(首选)或斜矢状面采集颜面部三维容积数据,避免探头移动和胎动,最大可能采集唇腭部容积数据。显示胎儿正中矢状面,以额、鼻骨及软组织和唇为标志,尽量让孕妇屏气,减少运动影响,胎儿呼吸可忽略不计,保持探头静止不动,数秒后即采集成功。将容积数据存储在机器的硬盘上以备后处理分析。
1.3 图像后处理三维超声表面成像可实时成像,随时移动探头,观察胎儿运动。调节取样框大小,使面部位于中心位置,调节X、Y、Z轴,得到胎儿清晰的面部图像。在表面成像模式下,通过调节A、B、C平面,实现矢状、冠状及横断面在同一屏观察。透明成像模式首先在A平面上,旋转Z轴90°,竖立矢状切面,调节取样框大小及位置,使取样框包括唇腭部,中心点位于牙槽嵴上;B平面上,通过旋转X、Y轴得到冠状或近冠状切面,以眼眶为标志;C平面上移动中心点,可观察唇腭部的轴向信息,即牙槽骨、硬腭,重建出腭部信息,渲染模式可呈现重建腭部图像,可调节灰度、亮度和透明度阈值级别,以优化胎儿骨骼和软组织之间图像对比度和分辨力(图 1)。斜矢状面时,先在A平面上调节近似矢状面,余调节同上。正交扫描平面显示为标准化的面部视图。平面重建出腭部横断面图,有黄色的参考点位于C形牙槽嵴上,相应的参考点也出现在冠状面和矢状面上。如硬腭显示不清晰,可在Y轴上旋转一定角度,一般≤45°。
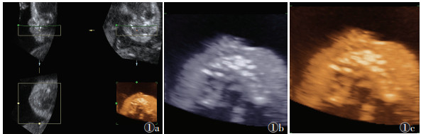
![]() |
| 图 1 31岁,26周胎儿正常腭部三维重建图像 图 1a 重建出的腭部三维图像,左上图为竖直矢状面,右上图为冠状面,左下图为轴面,右下图为腭部重建后所显示的渲染图像 图 1b,1c 为图 1a右下图放大的图像,可调节颜色及亮度增加对比度 |
1.4 统计学处理
应用SPSS 13.0软件统计分析,结果采用χ2检验,以P < 0.05为差异有统计学意义。
2 结果25例唇腭裂胎儿产后及引产结果:6例单侧单纯唇裂,17例单侧唇裂合并腭裂,2例双侧唇裂合并腭裂。其中1例单侧唇腭裂胎儿为双胎之一,另一胎儿正常;1例双侧唇裂合并腭裂为多发畸形,合并室间隔缺损、小脑蚓部缺失、隐性脊柱裂及单脐动脉。
2.1 二维声像图表现25例胎儿唇裂上唇连续线回声中断,断端回声增强,中断处为无回声暗带(图 2a),张口时更明显。9例为不完全性唇裂,鼻外形结构基本正常;16例完全性唇裂表现为上唇连续线回声中断,间隙宽,裂隙延伸至鼻根部,鼻孔不对称,鼻腔扩大,其中12例患侧鼻翼塌陷,鼻中隔向健侧偏移。正中唇裂时上唇及上腭中部裂口宽大,鼻外形明显异常。7例唇腭裂中除上述唇裂征象外,上颌骨牙槽突回声不连续,正常弧形中断,在横切面上可见“错位征”。5例牙槽突裂口在侧切牙与尖牙之间裂开,冠状切面病变侧硬腭的弧形强回声带及软腭的中等回声软组织带中断,在矢状切面,硬腭与软腭回声断续出现,裂口处达鼻腔。2例双侧完全唇裂伴牙槽突裂或完全腭裂时,在鼻下方可显示一明显向前突出的强回声团块,为颌骨前突,是证实双侧唇腭裂的重要线索,甚至比裂口本身更易发现。羊水过多和胃泡过小也可提示腭裂的存在。
![]() |
| 图 2 28岁,25周胎儿单侧唇腭裂畸形 图 2a 唇裂的二维图像示上唇连续性中断,中断处为无回声暗带 图 2b 三维表面模式重建示唇腭裂(箭头) 图 2c MPR示腭裂,牙槽突可见低回声裂隙(中心点位置) 图 2d 透明模式重建后渲染图像示腭裂裂隙(箭头) |
2.2 三维声像图表现
唇裂时上唇连续性中断,可见豁口,似“兔唇三瓣样”表现(图 2b),16例完全性唇裂,可见豁口延伸至鼻根部,唇部呈“八”字样,鼻子形态失常,可见患侧鼻翼塌陷,鼻中隔向健侧偏移,鼻孔不对称。17例牙槽突裂时多平面图像横切面表现为牙槽突的弧形高回声连续性中断,缺口为低回声(图 2c);渲染图像表现为牙槽突弧形强回声光带局部中断,中断处呈裂隙状低回声区延伸至硬腭(图 2d)。
2.3 二维超声和三维超声对胎儿唇腭裂检出率比较(表 1)| 表 1 二维和三维超声对胎儿唇腭裂的检出率比较 |
![]() |
二维和三维超声对单纯唇裂检出率差异无统计学意义(P > 0.05),对唇裂合并腭裂检出率差异有统计学意义(P < 0.01)。
3 讨论目前,二维超声已能成功诊断唇裂畸形。由于声学阴影和腭部结构的影响,对腭裂的检测较困难,但临床约85%的唇裂合并腭裂[7],因此检测出腭裂尤为重要,三维超声可提高腭裂检出率。
二维超声横断面是显示上牙槽突的最佳切面,但难以显示牙槽突的完整性,有时仅能部分显示,主要是受胎儿体位和扫查角度的影响,且扫查时需频繁移动探头,从多个断面显示,在评价病变位置与周围组织结构的关系上缺乏优势,要求医师有熟练的手法及丰富的经验。二维超声多依靠唇裂的间接征象诊断腭裂畸形:上唇豁口 < 0.8 cm且鼻形态未见异常,多为唇裂;豁口 > 0.8 cm,鼻变形塌陷,张嘴时胎舌伸至上唇缺损部位,甚至可通过裂口进入鼻腔,多合并腭裂。
腭位于牙槽突后内上方,因周围结构遮挡,与嘴唇和牙槽突相比三维重建成功率相对较差。本研究中7例硬腭二维超声显示不清,其中1例孕30周胎盘位于前壁,孕妇体型较胖,图像质量差,无法判断;余6例硬腭处完全为无回声区而无法显示,调节图像时旋转一定角度,但重建图像仍不满意。可能声束方向与硬腭平行,骨性牙槽突使声束完全衰减而无法采集到硬腭部的容积数据。因此,只有当声束方向与硬腭成一定角度或垂直时,才能获得硬腭的容积数据并通过后处理使其显示。斜矢状面可去除部分牙槽骨声像的影响而提高腭部显示率,经下颌矢状面采集的图像,硬腭重建显示率高。
本研究二维超声对硬腭显示率极低,仅在胎儿面部面向母体腹侧,胎头后仰,声束与硬腭成一定角度,且面部前方无遮挡物,羊水适中时经颌下三角区才有可能扫查到,因此局限性较大。李胜利等[8]报道经颌下三角可探测到胎儿腭部,宫内胎儿显示率为5%。刘士龙等[9]通过对孕11~14周胎儿观察鼻后三角下方连线的完整性,诊断8例早期腭裂,均为高危胎儿和伴发其他畸形。因早孕期病例太少,鼻后三角的完整性诊断腭裂仍需更多的临床研究证实。何光智等[10]采用二维和三维超声对3 598例胎儿进行系统检查,检出单纯腭裂11例(0.31%),漏诊1例,检出率较高,是因为二维超声使用多切面观察鼻唇冠状切面、上颌横切面、正中矢状切面、经口裂斜冠切面等[11-13]。
三维表面模式成像检测唇裂畸形更形象直观,易被患者及家属接受;透明模式可观察胎儿的骨性结构,如脊柱、胸廓、四肢长骨等[14-18],但对腭部骨性结构的研究较少。本研究使用表面模式观察鼻、嘴唇的形态及完整性,多平面模式及透明成像观察上颌、上牙槽突、硬腭的连续性,并对唇腭裂进行分型比较。何光智等[19]应用三维超声自由解剖成像技术对100例正常胎儿经下颌颜面部正中矢状切面的容积数据进行分析,发现三维超声易获取二维超声难以显示的切面,并减少了对操作者技术和经验的依赖。李霞等[20]利用三维表面成像及容积对比成像对腭部进行观察研究,认为三维超声对诊断胎儿唇腭裂的分型、分度的灵敏度、特异度均有提高,并可减少漏诊率。
本研究应用三维透明成像观察胎儿腭部,对条件适宜的胎儿,只需几秒就可采集到满意的容积数据,并进行后处理。三维成像更易识别上颌骨与下颌骨,而区分上、下颌骨在诊断中非常重要。上颌骨牙槽嵴常受到腭裂的影响,三维成像矢状切面可通过交互方式显示对应的旁边轴向视图的胎儿面部,从而把这种潜在的错误最小化。三维成像可在相互垂直的3个切面中观察裂隙的形态大小、累及范围及与周围组织结构的关系,并在3个切面上相互印证,避免了单纯使用某个单一切面可能造成的误诊或漏诊。重建出的三维图像使唇腭裂形象直观,与解剖图谱相似,还可观察鼻子的形态,能较准确地判断有无唇腭裂、存在部位和累及范围,显示口腔与鼻腔解剖关系的变化。三维成像技术方法简单,可随时从不同角度、不同方向对胎儿唇腭裂部位进行观察分析,重复性好。目前,筛选试验证明三维超声作为筛检工具切实可行。
综上所述,二维超声与三维超声对唇裂的显示率相同,在产前检查时,如发现唇裂,应采用三维超声进一步筛查是否存在腭裂畸形,腭裂遗传风险高,后续治疗较为复杂,正确诊断非常重要,可为是否终止妊娠提供重要依据。三维超声能显示常规二维超声难以显示的腭部结构,显著提高产前胎儿唇腭裂的检出率,尤其在诊断腭裂上比二维超声检查具有更大优势,值得临床推广应用。
| [1] |
李胜利. 胎儿畸形产前超声诊断学[M]. 北京: 人民军医出版社, 2008: 445.
|
| [2] |
陈华, 李秀娥, 杨鹏远, 等. 唇腭裂患儿早期喂养状况的调查研究[J]. 中华护理杂志, 2013, 48(6): 530-533. DOI:10.3761/j.issn.0254-1769.2013.06.016 |
| [3] |
中国医师协会超声医师分会.产前超声检查指南(2012)[J/CD].中华医学超声杂志(电子版), 2012, 9(7): 574-580.
|
| [4] |
马芬, 田荣华, 李燕, 等. 唇腭裂胎儿产前超声检查诊断分析[J]. 临床超声医学杂志, 2014, 16(9): 631-633. |
| [5] |
陈秀兰, 李胜利. 胎儿唇腭裂产前超声筛查与诊断新进展[J]. 中华医学超声杂志, 2013, 3(5): 45-46. |
| [6] |
郭秋香, 李博, 孟智彬. 单纯腭裂的超声诊断方法[J]. 中外医疗, 2015, 34(31): 178-179. DOI:10.3969/j.issn.1674-0742.2015.31.081 |
| [7] |
李霞, 张兰珍, 路妍妍, 等. 二维超声联合三维成像在胎儿唇腭裂的应用分析[J]. 中国超声医学杂志, 2018, 34(3): 253-256. DOI:10.3969/j.issn.1002-0101.2018.03.022 |
| [8] |
李胜利, 陈琮瑛, 刘菊玲, 等. 胎儿颜面部超声解剖成像研究[J]. 临床超声医学杂志, 2003, 5(6): 321-326. DOI:10.3969/j.issn.1008-6978.2003.06.001 |
| [9] |
刘士龙, 熊奕, 刘涛, 等. 11~14孕周胎儿腭裂的声像图表现[J]. 中国超声医学杂志, 2016, 32(7): 665-667. DOI:10.3969/j.issn.1002-0101.2016.07.031 |
| [10] |
何光智, 张辉, 杨建恩, 等.胎儿单纯腭裂的产前超声诊断[J/CD].中华医学超声杂志(电子版), 2014, 11(7): 35-40. http://www.cnki.com.cn/Article/CJFDTotal-ZHCD201407009.htm
|
| [11] |
黄巧燕, 蔡石兰. 超声诊断胎儿唇腭裂畸形16例分析[J]. 中国中西医结合影像学杂志, 2010, 8(4): 334-336. DOI:10.3969/j.issn.1672-0512.2010.04.016 |
| [12] |
滕想, 贾春红, 李素霞, 等. 超声对胎儿唇腭裂畸形的诊断价值[J]. 中国中西医结合影像学杂志, 2006, 4(2): 115-117. DOI:10.3969/j.issn.1672-0512.2006.02.011 |
| [13] |
刘国红. 胎儿唇腭裂超声筛查及漏误诊分析[J]. 实用医学影像杂志, 2015, 16(6): 510-512. |
| [14] |
徐辉雄, 张青萍. 三维超声透明成像技术的临床应用探讨[J]. 中国超声医学杂志, 1999, 15(6): 411-416. DOI:10.3969/j.issn.1002-0101.1999.06.004 |
| [15] |
靳元.实时三维超声表面及透明成像模式诊断胎儿畸形的应用价值[C]//中国超声医学工程学会成立30周年暨第十二届全国超声医学学术大会论文汇编.北京: 中国超声医学工程学会, 2014: 2.
|
| [16] |
刘爱兰. 四维超声在中孕期胎儿唇腭裂诊断中的应用[J]. 中国临床研究, 2015, 2(1): 100-101. |
| [17] |
刘爱丽, 殷伟洪, 陈红. 三维超声表面成像对胎儿唇腭裂畸形的诊断[J]. 中国中西医结合影像学杂志, 2007, 5(3): 224-225. DOI:10.3969/j.issn.1672-0512.2007.03.025 |
| [18] |
赵燕, 余素涵. 二维及三维超声在胎儿唇腭裂产前诊断中的应用[J]. 影像研究与医学应用, 2017, 1(11): 84-85. DOI:10.3969/j.issn.2096-3807.2017.11.054 |
| [19] |
何光智, 张辉, 杨建恩, 等.三维超声自由解剖成像新技术在胎儿腭显示中的应用[J/CD].中华医学超声杂志(电子版), 2013, 10(10): 31-36. http://med.wanfangdata.com.cn/Paper/Detail/PeriodicalPaper_zhyxcszz201310010
|
| [20] |
李霞, 张兰珍, 路妍妍, 等. 二维超声联合三维成像在胎儿唇腭裂的应用分析[J]. 中国超声医学杂志, 2018, 34(3): 253-256. DOI:10.3969/j.issn.1002-0101.2018.03.022 |
2019, Vol. 17





