| 儿童急性阑尾炎的MSCT表现 |
急性阑尾炎是儿童常见的外科急腹症之一,临床症状不典型,需与儿童内科急腹症,如急慢性胃肠炎、淋巴结炎、便秘等鉴别[1]。由于儿童表达能力较差,无法准确提供病史,查体时配合较差,临床常难以短时间内确诊该病,易延误治疗,增加并发症发生率,严重时甚至导致患儿死亡。MSCT扫描速度快,图像密度及空间分辨力高,结合强大的后处理技术可完整显示阑尾形态、走行及邻近组织结构。本研究探讨儿童急性阑尾炎的CT表现及诊断价值,以为临床诊断提供循证学证据。
1 资料与方法 1.1 一般资料收集我院2014年1月至2018年1月经手术病理证实的急性阑尾炎患儿44例;男26例,女18例;年龄3~14岁,平均9.9岁。病程2 h~7 d。其中腹痛38例,发热21例,恶心16例,呕吐28例,上呼吸道感染病史4例。
1.2 仪器与方法扫描时患儿须屏气,不能配合的患儿,尽量自然熟睡或给予1 mL/kg体质量的5%水合氯醛镇静后再扫描。所有患儿均未行肠道准备。采用Siemens Sensation 64层螺旋CT及联影16层螺旋CT,扫描参数:120 kV,120 mAs,层厚3 mm,矩阵512×512,扫描范围自膈面至盆部。44例均行CT平扫,1例加行CT增强扫描。增强扫描经肘静脉团注碘海醇或优维显,流率2 mL/s,延迟时间45 s。
1.3 图像分析获得原始数据后,将薄层重建图像(层厚1 mm)传送至工作站,行MPR,获得冠状面、矢状面图像,从各个角度观察阑尾及其邻近结构、腹部脏器。
2 结果 2.1 术中所见及病理分型44例术中所见阑尾外径0.8~2.0 cm,长度3~8 cm。其中急性单纯性阑尾炎9例,伴粪石7例;急性化脓性阑尾炎19例,伴粪石12例,穿孔4例;急性坏疽性阑尾炎16例,伴粪石14例,穿孔14例。
2.2 MSCT表现MSCT均可显示阑尾位置、走行、形态,44例中MSCT示阑尾盆位11例,回盲后位12例,盲肠外侧位9例,盲肠下位8例,回盲前位4例。
① 9例急性单纯性阑尾炎,MSCT示阑尾管腔均增宽,外径6~9 mm,管腔内多伴少许积液,管壁增厚不明显,管壁边缘及周围脂肪间隙密度模糊,表现为细网线状略高密度影;7例粪石均可显示(图 1),MSCT表现为直径为25 mm的点状或小类圆形高密度影,多位于阑尾根部;伴盆腔积液2例,回盲部周围淋巴结肿大1例。②19例急性化脓性阑尾炎,MSCT示阑尾管腔均增宽,外径8~14 mm;12例伴高密度粪石,当圆形高密度粪石嵌顿在阑尾根部,远端管腔因阻塞常增宽明显;阑尾管壁肿胀,厚度>3 mm,边缘模糊不清,管腔内多伴积液及气泡,6例管腔周围伴脓肿形成,CT表现为高于水样密度影,可伴气泡;4例阑尾脓肿伴穿孔MSCT示2例阑尾局部管壁连续性中断(图 2);5例肠淤张,表现为腹盆部小肠呈不同程度扩张,肠管拥挤,管腔内积气积液;伴盆腔积液14例,肠系膜周围淋巴结肿大2例。③16例急性坏疽性阑尾炎,MSCT示阑尾管腔不同程度扩张,外径7~18 mm,管壁明显增厚(图 3);4例局部管壁连续性中断,管腔周围可伴脓肿及气泡;14例管腔内伴圆形高密度粪石,管腔内积气、积液;9例管壁周围脂肪密度可见条状、片状增高,邻近回肠末端及盲肠管壁增厚;6例肠淤张;伴腹盆腔积液10例,肠系膜淋巴结肿大4例。
![]() |
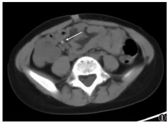
| 图 1 男,6岁,急性单纯性阑尾炎,阑尾外径6 mm,阑尾根部管腔内见一小结石(长箭),管壁略增厚 |
![]() |
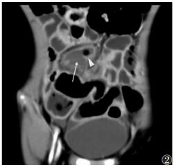
| 图 2 男,8岁,急性化脓性阑尾炎伴穿孔,阑尾外径明显增宽,达12.5 mm,管腔积气积液(三角),管壁下缘局部不连,周围积脓(长箭),盆腔少量积液 |
![]() |
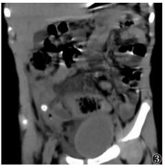
| 图 3 男,3岁,急性坏疽性阑尾炎,阑尾外径明显增宽,管壁明显肿胀,管腔内结石,盲肠壁增厚,盆腔积液 |
3 讨论 3.1 临床及病理表现
儿童阑尾炎发病率随年龄增长逐渐上升,6~12岁达到高峰,5岁以下少见[2]。本组平均9.9岁,与文献[2]符合。儿童阑尾炎缺乏典型临床表现,多表现为发热、恶心、呕吐、腹痛,常缺乏转移性右下腹痛征象,且患儿年龄越小,越无法准确表述其症状,周诗琼等[3]认为学龄前儿童急性阑尾炎易误诊、漏诊,而演变成慢性阑尾炎。同时儿童盲肠位置相对游离,阑尾位置及压痛部位变化较大,均可造成临床诊断困难。儿童阑尾壁薄,诊断不及时或误诊,病变进展迅速,易发生阑尾穿孔波及腹膜。研究[4]表明,小儿急性阑尾炎48 h如不及时就诊,其穿孔发生率>65%。因此,及时准确的诊断对临床治疗方案的选择及预后有重要意义。
3.2 MSCT表现阑尾外径的大小是目前诊断阑尾炎的方法之一。本组阑尾外径均>6 mm。张雪华等[5]研究显示,阑尾外径与年龄无相关性,以6 mm为标准鉴别正常与肿大阑尾,同时适用于儿童和成人。本研究中急性单纯性阑尾炎阑尾外径多小于急性化脓性阑尾炎、急性坏疽性阑尾炎管腔外径,可能因后2种阑尾炎管腔内脓液等渗出物较单纯性阑尾炎多,同时粪石多嵌顿于阑尾根部,远端管腔内渗出物常不能顺利排出,造成管腔阻塞性扩张。此征象与成人、老年急性阑尾炎的MSCT征象具有一致性[6-7]。急性单纯性阑尾炎管壁增厚,边缘略模糊,周围脂肪密度略增高,呈细网状、短线状高密度影。急性化脓性阑尾炎、急性坏疽性阑尾炎阑尾管壁明显增厚、水肿,伴穿孔时管壁局部不连,增强扫描可见强化黏膜连续性中断,管腔周围可见游离气体,邻近回肠、盲肠、腹膜易受炎症累及,表现为肠壁肿胀、腹膜增厚、腹盆腔积液,伴腹盆部小肠淤张,以及回盲部及肠系膜周围淋巴结增大。
3.3 鉴别诊断应与以下疾病鉴别:①最常见的急性胃肠炎、便秘、均可有胃肠道胀气、局部积液,结肠内粪团较多,阑尾受推挤,显示欠佳。此时应采用MPR图像多角度显示正常阑尾,排除阑尾病变以鉴别。②儿童急性肠系膜淋巴结炎MSCT冠状位图像可显示肠系膜周围增大淋巴结,增强扫描明显强化,阑尾正常。③肠套叠时MSCT示套叠肠管呈同心圆征,阑尾正常。④盲肠憩室炎MSCT示盲肠局部囊袋状突起,伴炎症时憩室及邻近盲肠管壁增厚,周围脂肪间隙密度增高,可伴憩室结石,需仔细鉴别憩室与阑尾形态,排除阑尾病变。
总之,儿童急性阑尾炎有一定的CT特征,对临床怀疑儿童急性阑尾炎而超声检查结果阴性的患儿,可选择CT检查[8]。可指导临床鉴别儿童急腹症,制订治疗方案。
| [1] |
王文妤, 邓朝晖. 儿童腹痛192例临床分析[J]. 中国小儿急救医学, 2017, 24(6): 474-477. DOI:10.3760/cma.j.issn.1673-4912.2017.06.018 |
| [2] |
施诚仁, 金先庆, 李仲智. 小儿外科学[M]. 北京: 人民卫生出版社, 2010: 297-303.
|
| [3] |
周诗琼, 梅红, 段栩飞, 等. 小儿慢性阑尾炎的临床特点分析[J]. 临床外科杂志, 2015, 23(8): 621-623. DOI:10.3969/j.issn.1005-6483.2015.08.022 |
| [4] |
夏慧敏, 符柳江, 魏青, 等. 腹部超声诊断在小儿急性阑尾炎的作用[J]. 中华小儿外科杂志, 2004, 25(2): 108-109. DOI:10.3760/cma.j.issn.0253-3006.2004.02.003 |
| [5] |
张雪华, 杨芳, 曾甜甜, 等. 0~14岁儿童正常阑尾超声下长度及外径分析[J]. 临床小儿外科杂志, 2016, 15(6): 579-586. |
| [6] |
刘洪, 高靳. 成人急性阑尾炎的MSCT评价[J]. 中国中西医结合影像学杂志, 2016, 14(4): 471-473. DOI:10.3969/j.issn.1672-0512.2016.04.034 |
| [7] |
郭轶, 曾平, 何成, 等. MSCT对老年急性阑尾炎患者的诊断价值[J]. 检验医学与临床, 2017, 14(10): 1421-1425. DOI:10.3969/j.issn.1672-9455.2017.10.022 |
| [8] |
林月洁, 戴淼磊. 超声与CT诊断小儿急慢性阑尾炎的临床分析[J]. 医学影像学杂志, 2017, 27(1): 178-180. |
2018, Vol. 16





