| 实质型肝结核的CT表现 |
结核病是临床常见病和多发病,且易传染、耐药,严重威胁着患者的健康。据统计[1]肺结核合并肝结核发病率约5.5/10万,血行播散性肺结核70%~100%继发肝结核[2]。肝结核无明显特异的临床表现,特别是实质型肝结核因其影像表现多样更易被漏诊。本文回顾性分析5例实质型肝结核的CT资料并结合文献复习,以探讨总结实质型肝结核CT诊断技巧,以提高对该病的认识,降低CT误诊、漏诊率。
1 资料与方法 1.1 一般资料收集2015年1月至2018年7月我院确诊的5例资料完整的肝结核患者,其中男2例,女3例;年龄18~64岁,平均45.4岁,中位年龄50岁。3例经肝脏穿刺证实;2例术前误诊为肝内占位性病变,术后病理证实。5例中4例因肝区不适就诊,其中伴肝外结核(肺结核)1例,发热、盗汗1例,食欲不振、消瘦2例;肝大2例,脾大1例,肝功能损害、血沉增快2例,结核菌素纯蛋白衍化物(PPD)试验(+)2例,肝区隐痛1例,无任何不适症状1例。病程1~7个月。
1.2 仪器与方法5例均行CT平扫及增强扫描,采用Philips Ingenuity Core 128 CT机,扫描范围从肝顶至肝最低层面。扫描参数:120 kV,280 mA,层厚5 mm,探测器准值宽度64×0.625 mm,螺距1.014,0.75 s/r,矩阵512×512。增强扫描对比剂选用欧乃派克(350 mgI/mL),剂量1.0~1.5 mL/kg体质量,流率3.5 mL/s,分别于注射对比剂后18~24、50~65、200 s行动脉期、门静脉期和延迟期3期扫描。
2 结果5例中,粟粒型肝结核2例,结节型肝结核3例。①粟粒型肝结核:CT图像上均可见肝脏增大,1例可见脾脏增大;2例均可见肝内散在多发小囊样低密度灶(1例伴小钙化灶),直径0.6~2.0 cm,动脉期、静脉期及延迟期均无强化(图 1)。②结节型肝结核:病灶直径均>2.0 cm,表现为肝内单发或多发略低密度灶,CT值41~50 HU,增强扫描延迟期轻度强化,1例病灶内可见“簇征”或“蜂窝征”(图 2)。
![]() |
| 图 1 男,53岁,粟粒型肝结核 图 1a ~ 1d 分别为CT平扫、增强扫描动脉期、门静脉期和延迟期图像。平扫可见肝脏增大,肝实质内多发不规则形囊样低密度影,肝顶部可见2处高密度钙化影;注射对比剂后肝内病灶未见强化,增强扫描肝内病灶数量较平扫增多 |
![]() |
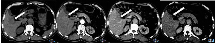
| 图 2 男,64岁,结节型肝结核 图 2a~2d 分别为CT平扫、增强扫描动脉期、门静脉期和延迟期图像。平扫肝内可见单发略低密度灶(白箭),CT值为43 HU,注射对比剂后动脉期轻度强化,门静脉期病灶持续强化、门静脉左支轻度受压,延迟期病灶内部可见“簇征”、“蜂窝征”(白箭) |
3 讨论
肝结核是一种临床发病率很低的肺外结核,常继发于肺、肠道等其他部位,结核杆菌可通过血液系统、淋巴系统播散至肝脏,也可由邻近器官直接播散至肝脏,在短期内结核杆菌侵入量较大、机体免疫功能低下、肝脏抵抗修复能力下降三者单独或共存时,肝结核即可发病。由于肝脏具有丰富的网状内皮系统和吞噬功能很强的Kupffer细胞,结合肝组织低氧张力、富含胆汁的内环境特点,仅涉及肝脏而无其他部位严重结核的原发性肝脏结核十分罕见[3]。
可能由于肝结核发病率低和临床确诊率低的原因,目前国内外均无有关该病分型的标准,其分型方法尚处于不断完善阶段[4-6]。从病理学角度来说,肝结核是肝内逐渐形成肉芽肿样病变的过程,按病理表现形式可分为4种[7]:①粟粒型,为全身血行播散性粟粒型结核的一部分,可在肝内见到广泛分布的粟粒大小、质硬、白色或灰白色的小结节,最大直径≤2 cm;②结节型,病灶呈较局限、质硬、灰白色的实质性结节(直径>2 cm,单发或多发),间隔较近的病灶融合成团,又称结核瘤;③脓肿型,结节型病灶中心坏死形成白色或黄白色干酪样脓液,脓腔多为单房,少有多房;④胆管型,病灶累及胆管形成胆管结核性炎性病变,胆管壁增厚、溃疡或狭窄。查阅近15年来国内文献发现,大多数医学影像工作者倾向于按照肝结核发病部位及具体影像表现形式相结合的方法进行分类。笔者通过总结实际临床经验,认同余日胜等[5, 8]按发病部位将肝结核分为浆膜型、实质型、肝内胆管型的分类方法,其中实质型又分为粟粒型、结节型、混合型,该方法在临床工作中应用较方便,特别是将肝内胆管型结核单独分类的方法值得学习。
结核杆菌播散至肝脏后,依据机体的免疫力及结核菌的毒性强弱,肝内结核病灶在病理上表现差异较大,因此,产生不同分型:①粟粒型肝结核,主要病理组织学改变为非特异反应性炎、局灶性Kupffer细胞增殖、小灶性干酪样坏死、上皮样结节4种,这些病变综合作用造成不同程度的肝大、肝内散在多发粟粒状结节。粟粒状结节因内部结构不同在CT上表现为不同密度的小灶低密度影,低密度结节影最大直径≤2.0 cm,视病灶周围反应性炎症程度的轻重,增强扫描时病灶可表现为无强化灶或不同程度的边缘强化灶。当机体免疫力增强或治疗后,小结节逐渐演变为钙化性小结节,CT表现为高密度钙化影。有时受CT分辨力的影响,肝大可以是粟粒型肝结核唯一的影像表现[9]。本组粟粒型肝结核表现为肝内多发不规则低密度灶,增强扫描无强化,其原因可能是病灶内部结构以干酪坏死灶为主,病灶周围反应性炎症不明显。②结节型肝结核,肝内病灶可单发、亦可多发,最大直径>2 cm,常由粟粒结节融合而成,结节型病灶内部干酪样变和坏死明显时则形成结核性肝脓肿[10]。结节型肝结核CT平扫多表现为稍低密度影,形态不规则;少数情况下中心可呈等或高密度,边缘或有一厚度均匀的低密度环,病灶内部可出现微小粉末状钙化灶。形成时间较短的结核结节因病灶内毛细血管网较丰富,增强扫描时表现为结节状强化,结核结节形成后期病灶内毛细血管网逐渐减少,因此病灶强化程度亦随之减弱。当多个小结节灶聚集融合成较大结节灶时,CT增强扫描病灶呈“簇征”或“蜂窝征”[5]。据文献[5, 11]报道,病灶中心“粉末状钙化”、增强扫描时的“簇征”或“蜂窝征”可为实质型肝结核提供更多诊断证据。当结节型肝结核结核性脓肿形成时,CT平扫表现为体积较大的低密度灶,其内部可见水样低密度区,病灶边缘常伴钙化灶。增强扫描脓肿壁强化不明显,中部及液化区无强化。脓肿周围伴炎症反应的肝组织常可见普遍强化,强化程度不均。胆汁可抑制结核杆菌分裂,因此,穿行于病灶内的胆管不易受累,表现为与胆管走行方向一致的条索状稍高密度影[12]。本组未见明显结核性肝脓肿灶,CT平扫所见的低密度灶于增强扫描动脉期强化不明显,静脉期及延迟期持续强化,这种强化方式可能与结节内部结核性肉芽组织内毛细血管分布较少有关。③混合型肝结核,CT表现较复杂,兼具有前述两型肝结核的全部影像特点。
CT检查是发现肝结核的重要影像学检查方法,在遇到缺乏典型CT征象的肝内病变时应考虑肝结核的可能(特别是在结核病流行地区),但确诊实质型肝结核时首先要考虑是否能排除与肝实质型结核相似的胆管细胞癌、转移瘤、炎性假瘤、肝脓肿等疾病:①胆管细胞癌平扫及增强扫描表现与某些结节型肝结核具有相似之处,如能发现肝内胆管内结石、病灶远端阻塞性胆管扩张、病灶局部肝萎缩及延迟期网格状强化则有利于胆管细胞癌的诊断[13]。②肝脏炎性假瘤是一种以炎性增生形成瘤样结节为主要病理特征的良性增生性病变,其确切病因未明,多解释为炎症后的再生性过程或原发的肿瘤性过程[14],出现“厚壁圆环中心点征”时应首先考虑炎性假瘤[15]。③转移瘤常多发,大小较一致,一般可询及原发肿瘤病史,可见“晕征”及“牛眼征”。④肝脓肿平扫中心呈水样低密度或略低于肝实质,病灶边界不清,增强扫描出现环形强化带,可见双环或三环改变;有时肝脓肿呈多房状改变,增强扫描脓肿壁不同程度强化,强化程度比结核脓肿明显。
综上所述,临床诊断过程中遇到无典型CT征象的肝内病变时应考虑实质型肝结核的可能。鉴于仅部分实质型肝结核的CT表现具有特殊性,因此诊断时应结合临床表现及实验室检查结果以提高肝结核诊断的准确率。
| [1] |
游绍丽, 朱冰, 臧红. 肝结核6例诊断分析[J]. 人民军医, 2012, 55(12): 1211. |
| [2] |
林兆原, 彭德虎, 吴碧彤. 20例肝结核诊断分析与文献复习[J]. 临床肺科杂志, 2009, 14(8): 1087-1088. DOI:10.3969/j.issn.1009-6663.2009.08.054 |
| [3] |
Chien RN, Lin PY, Liaw YF. Hepatic tuberculosis:comparison of miliary and local form[J]. Infection, 1995, 23: 5-8. DOI:10.1007/BF01710049 |
| [4] |
吴孟超. 腹部外科学[M]. 上海: 上海科学技术文献出版社, 1993: 328-329.
|
| [5] |
余日胜, 孙继红, 李蓉芬. 肝结核的CT与MRI表现[J]. 中华放射学杂志, 2001, 35(5): 367-369. DOI:10.3760/j.issn:1005-1201.2001.05.014 |
| [6] |
康素海, 谢伟, 张辉, 等. 肝结核的影像学诊断[J]. 中国医学计算机成像杂志, 2013, 19(3): 227-230. DOI:10.3969/j.issn.1006-5741.2013.03.009 |
| [7] |
王炳煌. 肝结核的诊断与治疗[J]. 中国医师进修杂志, 2002, 25(3): 7-8. DOI:10.3760/cma.j.issn.1673-4904.2002.03.004 |
| [8] |
Yu RS, Zhang SZ, Wu JJ, et al. Imaging diagnosis of 12 patients with hepatic tuberculosis[J]. World J gastroenterology, 2004, 10: 1639-1642. DOI:10.3748/wjg.v10.i11.1639 |
| [9] |
Mortelé KJ, Segatto E, Ros PR. The infected liver:radiologic-pathologic correlation[J]. Radiographics, 2004, 24: 937-955. DOI:10.1148/rg.244035719 |
| [10] |
Garcia-Eulate R, Hussain N, Heller T, et al. CT and MRI of Hepatic abscess in patients with chronic granulomatous disea se[J]. AJR, 2006, 187: 482-490. DOI:10.2214/AJR.05.1386 |
| [11] |
王欣, 蒋诚诚, 李永刚. 5例肝结核的影像学分析并文献复习[J]. 新发传染病电子杂志, 2017, 2(2): 100-103. DOI:10.3877/j.issn.2096-2738.2017.02.010 |
| [12] |
曾德更. 24例肝结核的CT表现[J]. 海南医学, 2012, 23(6): 86-88. DOI:10.3969/j.issn.1003-6350.2012.06.040 |
| [13] |
周慧珍, 陈明东, 谢咏丹. 70例胆管细胞癌的多期CT增强扫描特征分析[J]. 中国CT和MRI杂志, 2017, 15(10): 99-101. DOI:10.3969/j.issn.1672-5131.2017.10.031 |
| [14] |
Schneider G, Grazioli L, Saindi S.肝脏磁共振成像[M].李宏军译.北京: 人民卫生出版社, 2010: 27-28.
|
| [15] |
张见增, 胡海东, 王巍巍, 等. 肝脏炎性假瘤"厚壁圆环中心点"征CT与MR表现[J]. 临床放射学杂志, 2017, 36(9): 1368-1372. |
2019, Vol. 17




