| 真菌性上颌窦炎的MSCT诊断 |
真菌性鼻窦炎较少见,以上颌窦最易受累,其次为筛窦,蝶窦及额窦极少见。近年来,由于抗生素及糖皮质激素的广泛应用,鼻窦的真菌感染呈增加趋势,临床误诊率也有所增加[1-10]。随着MSCT的广泛应用,其发生率及诊断正确率明显提高。笔者收集2010年5月至2017年5月我院收治的32例经手术病理证实为真菌性上颌窦炎的临床及CT资料,以探讨其MSCT特征。
1 资料与方法 1.1 一般资料32例中,男19例,女13例;年龄15~85岁,平均(35±13)岁。有症状者27例,其中鼻塞、流脓涕12例,涕中带血10例,鼻腔内有褐色干痂或排白色豆渣样物5例。无症状者5例。有双肺隐球菌病史1例,糖尿病史5例,激素史4例。
1.2 仪器与方法使用Siemens Somatom Emotion 6层螺旋CT扫描机,扫描参数:130 kV,230 mA,层厚3.0 mm,螺距0.75。常规轴位以听眶线为基线,扫描范围自上牙槽突至额窦连续扫描。将原始数据输入工作站,重建矩阵512×512,重建层厚、层距均为1.0 mm,行冠状位、矢状位MPR,采用软组织窗(窗宽160 HU、窗位45 HU)、骨窗(窗宽1 500 HU、窗位550 HU)观察。
1.3 图像分析由2位高年资放射科医师采用盲法阅片,观察病灶的范围、内部密度、窦壁的增厚程度、骨质破坏、骨膜反应、软组织肿块及其他鼻窦的受累情况等。若存在不同意见,由2人共同讨论决定。
2 结果 2.1 病变部位32例中,单侧21例,其中右侧12例,左侧9例;双侧11例。
2.2 CT表现 2.2.1 窦腔改变32例病变窦腔密度不均,内见单发或多发斑片状、结节状及团块状略高密度影,CT值48~80 HU,软组织密度影完全充填窦腔25例,部分充填窦腔7例,病灶周围有紧贴窦腔内壁的低密度影环绕;病变内见钙化13例(图 1),其中8例呈沙砾状钙化,5例呈条状钙化,CT值80~180 HU,钙化灶多位于上颌窦内上区窦口附近。
![]() |
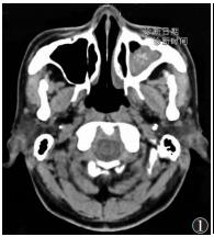
| 图 1 男,65岁,真菌性上颌窦炎。左侧上颌窦软组织影部分充填,内有多发斑点状钙化,窦壁增厚 |
2.2.2 窦壁骨质改变
骨质增生14例,其中内侧壁受累4例,外侧壁10例,表现为窦壁较均匀增厚,窦腔轻度缩小。骨质破坏7例(图 2,3),其中内侧壁受累5例,外侧壁受累2例,表现为骨质吸收、缺损,周围有软组织肿块。
![]() |
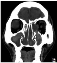
| 图 2 男,51岁,真菌性上颌窦炎。双侧上颌窦、筛窦及鼻腔内软组织影充填,其内有斑片状高密度影,鼻道闭塞,左侧眼眶内壁破坏、中断 |
![]() |
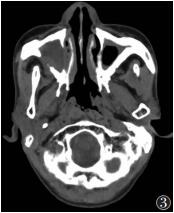
| 图 3 男,68岁,真菌性上颌窦炎。右侧上颌窦内软组织影充填,左侧上颌窦黏膜环形增厚,双侧上颌窦壁明显增厚,右外侧壁破坏,周围有软组织肿块 |
2.2.3 窦口改变
窦口扩大9例,表现为窦口增宽,周围骨质受压、变形。
2.2.4 病变周围情况单侧病变同时累及同侧筛窦10例,累及同侧鼻腔7例(图 2)。双侧病变均同时累及鼻腔,其中双侧9例,单侧2例;同时累及双侧筛窦6例,单侧筛窦3例。窦腔骨壁增厚25例,骨质破坏7例,其中累及内侧壁5例,外侧壁2例。筛窦骨质破坏2例。上颌窦窦口扩大9例。累及筛窦者为筛窦气房密度增高,窦腔闭塞,其内见斑片状高密度影。累及鼻腔者鼻腔内软组织影充填,密度不均,其内见多发斑片状、结节状及团块状略高密度影,鼻道闭塞。累及鼻后孔4例。
3 讨论 3.1 临床表现及病理引起鼻窦感染的真菌有多种,其中以曲霉菌最常见,少数为毛霉菌、念珠菌、隐球菌、放线菌等[1-2]。真菌为条件致病菌,当机体免疫力下降,由于鼻腔及鼻窦窦口复合体的解剖变异或各种病变导致窦口引流不畅或阻塞及低氧环境时,吸入带真菌孢子的灰尘或原已在体内寄生的真菌即可诱发真菌性上颌窦炎。鼻窦内真菌丝可互相缠绕,逐渐聚集成真菌球[3-4]。文献[5-6]报道真菌性鼻窦炎常见于中老年,女性多见,本组中以男性多见(19/32),主要为儿童及老年人,中青年人少见,与文献报道不同。真菌性鼻窦炎根据临床表现、组织病理学特征(黏膜是否受侵及黏膜反应状态)及预后可分为非侵袭性真菌性鼻窦炎和侵袭性真菌性鼻窦炎,前者又分为真菌球型和变应性真菌性鼻窦炎,其中真菌球型临床最常见[4]。临床上可表现为鼻塞、流脓涕、头痛等,其中以血涕或回抽性血涕并伴鼻腔内腐臭异味为特异性临床表现,部分患者涕中伴黑绿色或棕黑色痂块样物质。本病的基本病理改变是黏膜炎症形成的肉芽肿。少数患者可无症状,多因外伤或颅脑疾病行CT检查偶尔发现。
3.2 CT表现及诊断价值传统鼻窦X线平片由于解剖结构的重叠及密度分辨力欠佳,不能显示窦内真菌球及鼻腔受累情况,对鼻窦内的细小钙化显示也困难,诊断价值有限,临床已较少应用。CT为横断面扫描,无解剖结构重叠,且密度分辨力高,可清晰显示鼻窦的解剖、病变部位、形态及累及范围等,MPR可任意方向成像,多方位、立体、直观、清晰地显示病灶的形态、累及范围及与周围组织结构的关系,其诊断价值优于X线平片。真菌性上颌窦炎CT表现为窦腔内软组织影充填,多数完全充填窦腔,少数可部分充填。大多数软组织内可见斑片状、结节状或团块状略高密度影,边界尚清;部分病灶内可伴高密度钙化,呈斑点状、结节状、团块状,边界清楚。钙化灶多位于窦口附近,这是真菌团块内大量钙盐及某些重金属盐沉积、黏膜坏死和含铁血红素沉着所致,具有较高的诊断价值[2-4]。真菌性鼻窦炎钙化率较高,可达60%~90%[3, 7],本组钙化率40.6%(13/32),比文献报道低。极少数软组织影密度均匀。真菌性鼻窦炎以单侧多见,双侧少见[2]。本组双侧受累发生率34.4%(11/32),且常同时累及双侧鼻腔,与文献报道不符。多数患侧鼻窦壁可见骨质增生,通常呈弥漫性骨壁增厚。少数窦壁可伴骨质破坏、吸收,内外侧壁均可累及,周围可有软组织肿块。本研究[4]认为骨质受压吸收是由于黏蛋白积聚和局部炎症环境所致,并非真菌直接入侵。少数患者可累及同侧筛窦。本组累及鼻腔者较多,严重者可累及后鼻孔,单侧通常累及病变同侧,双侧可累及双侧鼻腔,亦可仅累及单侧鼻腔,CT表现为鼻腔内软组织肿块,其内见结节状或团块状略高密度影,少数可伴有钙化,通常邻近鼻道闭塞。
3.3 鉴别诊断CT诊断真菌性上颌窦炎时应注意与以下疾病鉴别:①慢性上颌窦炎多为双侧,表现为低密度黏膜增厚,密度均匀,部分可伴积液,窦壁骨质可轻度增厚,破坏少见,周围无软组织肿块。真菌性上颌窦炎多为单侧,表现为窦腔内软组织影充填,密度不均,其内可见斑片状高密度影或以伴钙化为特征,骨质破坏区周围多有软组织肿块。②出血坏死性息肉,CT上病变密度不均,低密度炎症与高密度出血灶混合存在,窦腔膨胀、扩大,窦壁骨质受压吸收变薄,甚至消失。③内翻性乳头状瘤,可呈典型乳头状软组织影伴小气泡样空气间隙,强化明显。④恶性肿瘤,骨质破坏较为明显,软组织肿块常较大,与周围组织分界不清,脂肪层模糊,病灶强化明显,钙化少见。真菌性上颌窦炎病灶内可见高密度区或钙化,窦壁破坏较为局限,周围软组织肿块较小,两者可以区别。
| [1] |
刘红生, 杨军乐, 邬小平, 等. 真菌性鼻窦炎患者CT与MRI诊断分析[J]. 中国CT和MRI杂志, 2016, 14(9): 9-11. |
| [2] |
王振常, 鲜军舫, 兰宝森. 中华影像医学(头颈部卷)[M]. 2版. 北京: 人民卫生出版社, 2011, 255-260.
|
| [3] |
李必强, 王凡, 黄显龙, 等. 78例真菌球型鼻窦炎患者多层螺旋CT影像特点分析[J]. 山东医药, 2015, 55(22): 77-79. |
| [4] |
韩江南, 黄定强. 各型真菌性鼻窦炎的CT影像学表现[J]. 西南军医, 2013, 15(1): 88-90. |
| [5] |
倪伟琼, 蔡昌枰, 王士礼, 等. 真菌性鼻-鼻窦炎研究进展[J]. 国际耳鼻咽喉头颈外科杂志, 2016, 40(4): 244-249. |
| [6] |
张晓阳. 真菌性鼻窦炎37例CT影像特点分析[J]. 影像技术, 2015, 15(2): 25-26, 32. |
| [7] |
宋明艳, 李娜, 姜彦, 等. 真菌性鼻窦炎CT影像学的非特征性表现[J]. 山东医药, 2014, 54(29): 93-94. DOI:10.3969/j.issn.1002-266X.2014.29.040 |
| [8] |
卢斌, 覃罗平. 真菌性鼻窦炎MSCT诊断与鉴别诊断[J]. 中国中西医结合影像学杂志, 2013, 11(4): 398-399. |
| [9] |
马亮, 孙中武, 刘鹤. 真菌性鼻窦炎的CT、MRI征象观察及其与病理结果的对照研究[J]. 中国CT和MRI杂志, 2016, 14(9): 12-14, 18. |
| [10] |
张春燕. 真菌性鼻窦炎的CT影像特征及临床诊断[J]. 医学影像学杂志, 2014, 24(9): 1663-1665. |
2018, Vol. 16




